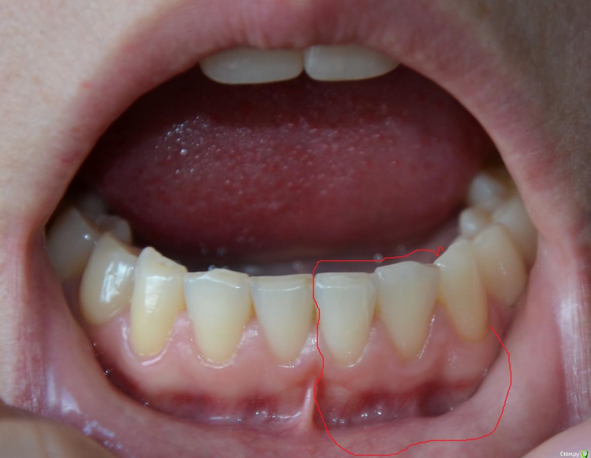
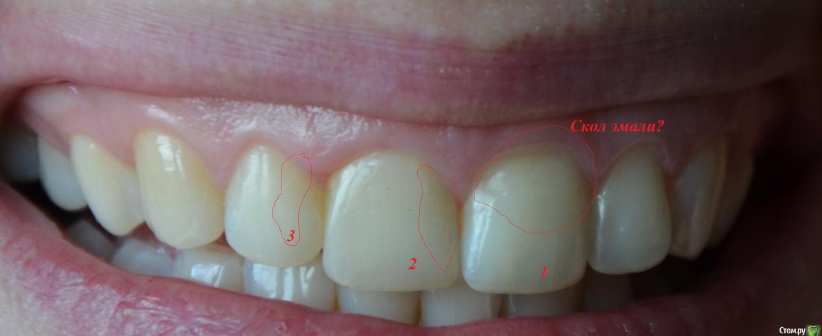
Olga82 Опубликовано 24 апреля, 2015 Поделиться Опубликовано 24 апреля, 2015 Прошу совета в нижеследующих проблемах:Зубы начала лечить с января 2105 года(Рентген-снимок именно до лечения прилагается), вылечила уже все зубы кроме одного(26-й или 16-й, не знаю, с какой стороны правильно вести отсчет).Проблема №1:Сделали верхние передние(замена пломбы+выравнивание режующей поверхности посредством пломб на обоих зубах+полировка(шлифовка).После шлифовки появились сначала белый точки, потом на зубе 1(фото прилагается) при чистке зубов прямо отошел тонкий кусочек как пленка полупрозначная зуба(зуб вообще был здоровый, только неровный рез), теперь там выемка как бы вглубь), на зубе 2 сейчас неровная как неотшлифованная поверхность (на фото, к сожалению, плохо видно, невозможно снять), на зубе 3 идет полоса на эмали-опять-таки как дефект шлифовки.Как это понимать? Топорная шлифовка или мои проблемы с зубами? дело в том, что я кормлю грудью уже 2 года, мой стоматолог сказал, что в зубах судя по всему мало кальция, поскольку после несильной заморозки один из них быстро побелел.Что мне предпринять? Дошлифовать недошлифованное?Или не трогать, а провести реминерализацию/глубокое фторирование/пропить курс витаминов и только потом их трогать? Какова судьба моих любимых передних зубов-печальная или смотреть оптимистично? Проблема №2:Дней пять как стали ныть нижние зубы(по фото обвела), их не лечили, они вроде как здоровые, небольшой коричневый налет присутствует с внутреннего края на одном, стоматолог его немного поскреб ....и смолчал...ничего не сказал...это камень, я правильно понимаю?Боль постоянная, тупообразная.Я полна мыслей об отстутствии кальция в моих зубах и слабости эмали купила пасту Лакалют сенситив, чищу ей второй день-пока нет результата, как болело, так и болит, полощу ротовую полость содой.Что это может быть?К стоматологу записана на 3 мая, не знаю, доживу ли до этого срока.Надо срочно бежать ?Спасибо всем за уделенное время моим проблемам. Ссылка на комментарий
Гарриевич Опубликовано 24 апреля, 2015 Поделиться Опубликовано 24 апреля, 2015 Зубы начала лечить с января 2105 года Вас сюда на задание Шон Коннер отправил? полощу ротовую полость содой отставить полоскания все что не дополировано, дополировать Ссылка на комментарий
faity Опубликовано 25 апреля, 2015 Поделиться Опубликовано 25 апреля, 2015 все что недоудолено- доудалить(1.8, 2.8, 3.8), все что недобрекетированно-добрекетировать, после ортодонтии еще и допротезировать(2.6, 4.6, 4.7) вопрос не по теме: почему кормите 2 года?О_о Ссылка на комментарий
Olga82 Опубликовано 25 апреля, 2015 Автор Поделиться Опубликовано 25 апреля, 2015 Вас сюда на задание Шон Коннер отправил? Да все что не дополировано, дополировать А у меня зубы не начнут сыпаться-откалываться? Меня пугает, что на каждом полированном белые точки появились(возможно это воздух?), и что произошел скол эмали с №1.До полировок с зубами подобного не происходило.так можно дополироваться до постановки виниров(Нет? В чем может быть причина ноющей боли в нижних передних? Как мне можно её снять до визита к врачу?(несколько дней).Это болезнь десен или чувствительность зубов по большей вероятности? Ссылка на комментарий
Olga82 Опубликовано 25 апреля, 2015 Автор Поделиться Опубликовано 25 апреля, 2015 все что недоудолено- доудалить(1.8, 2.8, 3.8) Это чёй-то? У меня показания к удалению только одного зуба(я с номерами уже запуталась, он наверху). все что недобрекетированно-добрекетировать Это зачем это? Всё так плохо что ли? Ну не идеально ровно, согласна....но мне как-то всё-равно, особо не заметно ни мне, ни окружающим нестоматологам.Мой врач сказал, что прикус нормальный, без претензий на идеальность, но жить можно без ущерба здоровью зубов.Вы считаете, что в этом есть обязательная необходимость?В мои то года? еще и допротезировать(2.6, 4.6, 4.7) Остальное все уже сделано, запломбировано и запротезировано.Снимок январский....после чего раз в неделю как на работу уже ухожу..... вопрос не по теме: почему кормите 2 года?О_о Я не сумасшедший фанат долгого кормления, так сложилось в силу объективных причин согласованных с педиатором.Планирую завернуть через пару месяцев. Скажите мне, пожалуйста, отчего могут быть сколы эмали на зубах после полировки и белые точки? Ссылка на комментарий
faity Опубликовано 25 апреля, 2015 Поделиться Опубликовано 25 апреля, 2015 я написал офигительно длинный пост и случайно все удалил(((поэтому вкратце: отчего могут быть сколы эмали на зубах после полировки и белые точки? сколы из-за неправильного распределения нагрузки во время жевания, неправильное распределения нагрузки- из-за неправильного прикуса, пятна либо недополировали, либо после полировки покрыли адгезивом, чтобы "блястело сразу в кресле" Это чёй-то? У меня показания к удалению только одного зуба(я с номерами уже запуталась, он наверху). показания ортодонтические .Мой врач сказал, что прикус нормальный, без претензий на идеальность, но жить можно без ущерба здоровью зубов.Вы считаете, что в этом есть обязательная необходимость? Прикус патологический и если эстетика вас не напрягает, то артрит височно-нижнечелюстного сустава начнет рано или поздно давать о себе знать. Плюс читайте выше про ударные нагрузки и к чему это приводит. Ссылка на комментарий
Scrabble Опубликовано 25 апреля, 2015 Поделиться Опубликовано 25 апреля, 2015 (изменено) Вас сюда на задание Шон Коннер отправил? Предводитель людей в борьбе с машинами-Джон Коннор из фильма "Терминатор". А Шон Коннери-это старый актёр-шотландец, бывший Джеймс Бонд. Изменено 25 апреля, 2015 пользователем Scrabble Ссылка на комментарий
Гарриевич Опубликовано 26 апреля, 2015 Поделиться Опубликовано 26 апреля, 2015 Предводитель людей в борьбе с машинами-Джон Коннор из фильма "Терминатор". А Шон Коннери-это старый актёр-шотландец, бывший Джеймс Бонд.))) точно, чувствую что то напутал... старый уже Ссылка на комментарий
Рекомендуемые сообщения
Для публикации сообщений создайте учётную запись или авторизуйтесь
Вы должны быть пользователем, чтобы оставить комментарий
Создать аккаунт
Зарегистрируйте новый аккаунт в нашем сообществе. Это очень просто!
Регистрация нового пользователяВойти
Уже есть аккаунт? Войти в систему.
Войти