sgeorge Опубликовано 24 апреля, 2015 Поделиться Опубликовано 24 апреля, 2015 Добрый день, коллеги! Девочка 15 лет. Как быть ?Мягкова.bmp Ссылка на комментарий
sgeorge Опубликовано 24 апреля, 2015 Автор Поделиться Опубликовано 24 апреля, 2015 А это синимок 2012 года. Извините за качество, снимок на пленке Ссылка на комментарий
kamranchick Опубликовано 24 апреля, 2015 Поделиться Опубликовано 24 апреля, 2015 Распил с вестибулярной стороны в области проекции верхушки 4 зуба, делаете окно, а потом разделяете зуб на 2 половины, вытаскиваете коронку,потом корень, вся работа с охлаждением, и работа прямым элеватором Ссылка на комментарий
red_butler Опубликовано 24 апреля, 2015 Поделиться Опубликовано 24 апреля, 2015 делайте Кт и консультируйтесь с ортодонтом 1 Ссылка на комментарий
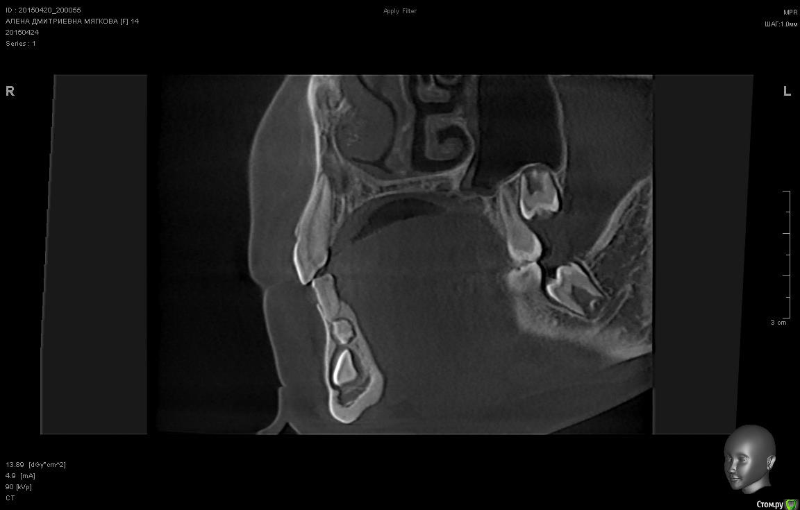
sgeorge Опубликовано 24 апреля, 2015 Автор Поделиться Опубликовано 24 апреля, 2015 КТ сделали, срезы выложу Ссылка на комментарий
voff Опубликовано 24 апреля, 2015 Поделиться Опубликовано 24 апреля, 2015 по кт смотреть где ближе к кортикалке, там и подбираться Ссылка на комментарий
sgeorge Опубликовано 24 апреля, 2015 Автор Поделиться Опубликовано 24 апреля, 2015 Вот некоторые срезы. Вопрос в том, стоит ли браться за ортодонтию. Ортодонта сегодня нет, спросить не могу. Ссылка на комментарий
sgeorge Опубликовано 24 апреля, 2015 Автор Поделиться Опубликовано 24 апреля, 2015 Как-то криво прикрепились, сорри.Думаю, что с таким крючком на апексе ортодонтия отпадет? Тогда стоит ли удалять в настоящий момент или дождаться завершения роста челюсти? Ссылка на комментарий
krokomot Опубликовано 24 апреля, 2015 Поделиться Опубликовано 24 апреля, 2015 Клык то молочный во рту, без ортодонтии все равно не обойтись так что можно попробовать зуб вертикально почти стоит, только кортикалку желательно бы удалить по ходу выдвижения (постепенно). На стрелке думаю одонтома при раскрытии убрать. Ссылка на комментарий
CToMaToJlor Опубликовано 24 апреля, 2015 Поделиться Опубликовано 24 апреля, 2015 А мне кажется, вытянуть не получится. Удаление , ортодонтия, имплантация. Там же крюк на корне. Ортодонт не возьмется. Имхо Ссылка на комментарий
faity Опубликовано 25 апреля, 2015 Поделиться Опубликовано 25 апреля, 2015 мы такие вытаскивали с ортодонтом, долго, но на выходе свой зуб 2 Ссылка на комментарий
sgeorge Опубликовано 25 апреля, 2015 Автор Поделиться Опубликовано 25 апреля, 2015 Там же крюк на корне. Меня это и смущает Ссылка на комментарий
sgeorge Опубликовано 25 апреля, 2015 Автор Поделиться Опубликовано 25 апреля, 2015 ортодонт "выводит" клык в строй... Звучит очень оптимистично). Во вторник буду разговаривать с ортодонтом Ссылка на комментарий
lonely_jack Опубликовано 25 апреля, 2015 Поделиться Опубликовано 25 апреля, 2015 а можно глупому картинку описать?жалобы, картина во рту и тп... Ссылка на комментарий
sgeorge Опубликовано 26 апреля, 2015 Автор Поделиться Опубликовано 26 апреля, 2015 Жалобы на самопроизвольные мигрирующие боли верхней и нижней челюсти справа в течение последней недели. Прикус ортогнатический, на месте 43 молочный 83, подвижность 1 степени. Множественный кариес, гигиена полости рта неудовлетворительная. Ссылка на комментарий
sgeorge Опубликовано 29 апреля, 2015 Автор Поделиться Опубликовано 29 апреля, 2015 Ортодонт берется попробовать вытащить, но положительный результат не гарантирует и сроки... Будем разговаривать с родителями девочки.Может все же удаление с последующей имплантацией? Что скажете? Ссылка на комментарий
krokomot Опубликовано 29 апреля, 2015 Поделиться Опубликовано 29 апреля, 2015 клык довольно нужный зуб, заметте, пятерки никто не вытягивает. Для будующей окклюзии клык важен, ориентируйте на это, и лишь неудача при вытяжении приведет к его удалению такая постановка вопроса важная. Но также зависит от рук ортодонта. У меня в практике был случай оголял 1.1, клеил брекет,1.5 года результат нулевой + открытый прикус, смена ортодонта сразу дала результат зуб пошел. Вот так)) 1 Ссылка на комментарий
sgeorge Опубликовано 29 апреля, 2015 Автор Поделиться Опубликовано 29 апреля, 2015 Значимость клыка вполне ясна. Сильно смущает загнутая верхушка корня, позволит ли это переместить зуб на столь немаленькое количество милиметров Ссылка на комментарий
krokomot Опубликовано 29 апреля, 2015 Поделиться Опубликовано 29 апреля, 2015 Значимость клыка вполне ясна. Сильно смущает загнутая верхушка корня, позволит ли это переместить зуб на столь немаленькое количество милиметровПочему это вас смущает? Когда ортодонт корпусно перремещает зуб, площадь костного сопротивления гораздо больше, чем какой-то крючок, крючок будет мешать удалению, но не как не перемещению. 2 Ссылка на комментарий
Alexey Doc Опубликовано 30 апреля, 2015 Поделиться Опубликовано 30 апреля, 2015 Поговорил с супругой-ортодонтом - ситуация вполне решаема. Ссылка на комментарий
sgeorge Опубликовано 30 апреля, 2015 Автор Поделиться Опубликовано 30 апреля, 2015 Всем спасибо. После беседы с пациентом отпишусь Ссылка на комментарий
Рекомендуемые сообщения
Для публикации сообщений создайте учётную запись или авторизуйтесь
Вы должны быть пользователем, чтобы оставить комментарий
Создать аккаунт
Зарегистрируйте новый аккаунт в нашем сообществе. Это очень просто!
Регистрация нового пользователяВойти
Уже есть аккаунт? Войти в систему.
Войти