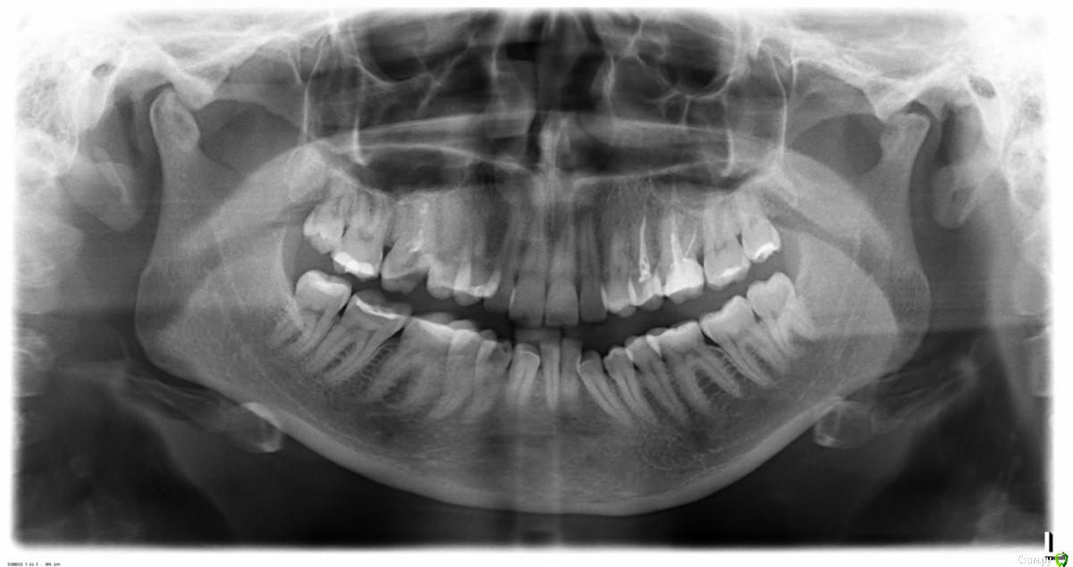
strator Опубликовано 23 апреля, 2015 Поделиться Опубликовано 23 апреля, 2015 Добрый день, откололась часть зуба - правый верхний, если считать с центра на снимке - 5 по счету (сейчас стоит временная пломба). сказали, что на нем киста.подскажите, пожалуйста, действительно ли это так и большая ли она. и действительно ли его надо обязательно удалять как можно быстрее. если да, то могут ли быть проблемы с имплантацией потому что есть киста.и можно просто запломбировать зуб и жить с кистой дальше? Ссылка на комментарий
Scrabble Опубликовано 23 апреля, 2015 Поделиться Опубликовано 23 апреля, 2015 Этот снимок совершенно не информативен-сделайте прицельный. Ссылка на комментарий
krokomot Опубликовано 23 апреля, 2015 Поделиться Опубликовано 23 апреля, 2015 А где ваши клыки? Ссылка на комментарий
Гарриевич Опубликовано 23 апреля, 2015 Поделиться Опубликовано 23 апреля, 2015 и можно просто запломбировать зуб и жить с кистой дальше? если зуб хорошо пролечить, то "киста" исчезнет в Вашем случае, нужен прицельный снимок интересующего зуба, на этом ОПТГ не видно 1 Ссылка на комментарий
red_butler Опубликовано 24 апреля, 2015 Поделиться Опубликовано 24 апреля, 2015 кисты не вижу, но проблем хватает. Делайте прицельные снимки или Кт 1 Ссылка на комментарий
strator Опубликовано 24 апреля, 2015 Автор Поделиться Опубликовано 24 апреля, 2015 А где ваши клыки?удалили в детстве, когда исправляли зубы, - все не влезли Ссылка на комментарий
Doc Опубликовано 26 апреля, 2015 Поделиться Опубликовано 26 апреля, 2015 удалили в детстве, когда исправляли зубы, - все не влезли Это было в Москве или в другом городе? Сколько лет назад? Ссылка на комментарий
strator Опубликовано 4 мая, 2015 Автор Поделиться Опубликовано 4 мая, 2015 Это было в Москве или в другом городе? Сколько лет назад?дело было в Липецке лет 20 назад... Выкладываю описание и снимки проблемного зуба Ссылка на комментарий
strator Опубликовано 4 мая, 2015 Автор Поделиться Опубликовано 4 мая, 2015 продолжение снимков проблемного зуба Ссылка на комментарий
Гарриевич Опубликовано 4 мая, 2015 Поделиться Опубликовано 4 мая, 2015 Зубу нужно провести качственное эндодонтическое лечение и покрыть коронкойИ в е будет хорошо 2 Ссылка на комментарий
strator Опубликовано 5 мая, 2015 Автор Поделиться Опубликовано 5 мая, 2015 прошу прощения может за дурацкий вопрос, но если вообще его не лечит, а просто запломбировать и покрыть коронкой, сколько он может существовать в таком состоянии? Ссылка на комментарий
shishok Опубликовано 5 мая, 2015 Поделиться Опубликовано 5 мая, 2015 прошу прощения может за дурацкий вопрос, но если вообще его не лечит, а просто запломбировать и покрыть коронкой, сколько он может существовать в таком состоянии?Значительно меньше,чем в сочетании с лечением каналов.Ни один нормальный доктор не будет ставить пломбу без необходимого лечения каналов,тем более протезист не будет ставить на такой зуб коронку. 1 Ссылка на комментарий
Гарриевич Опубликовано 6 мая, 2015 Поделиться Опубликовано 6 мая, 2015 но у нас много и ненормальных, так что можете поискать... шутка)) Ссылка на комментарий
strator Опубликовано 12 мая, 2015 Автор Поделиться Опубликовано 12 мая, 2015 решила полечить зуб. на первом посещении врач чистил каналы, полоскал их каким-то едким веществом, наложил лекарство на каналы и поставил временную пломбу, сказал придти через неделю. планирует каналы пломбирвать постоянно. ничего пить не назначил. подскажите, пжста, при заболевании такого рода это верное лечение? Ссылка на комментарий
shishok Опубликовано 12 мая, 2015 Поделиться Опубликовано 12 мая, 2015 Да,доктор всё правильно делает. Ссылка на комментарий
strator Опубликовано 13 мая, 2015 Автор Поделиться Опубликовано 13 мая, 2015 посмотрела описание своего КТ. указано, что у меня 4 канала, а судя по оплаченному мною счету лечили мне только 3 канала.подскажите, пожалуйста, сейчас хожу с лекарством получается в 3 каналах и временной пломбой. надо ли бежать к врачу и говорить еще об одном канале, либо до следующего посещения врача о забытом канале пока не думать? бывает ли такое, что врач не находит каналы? если все же у меня их 4, как в описании КТ, то по правильному врач заново должен все обработать и опять ходить с лекарством, либо он может уже начать полностью пломбировать все постоянно? спасибо. Ссылка на комментарий
St. Опубликовано 13 мая, 2015 Поделиться Опубликовано 13 мая, 2015 А Вы КТ доктору приносили? А вообще, в следующее посещение спросите своего врача об этом, потому что может не нашел, может нашел но не посчитал в счет, может не искал, и ещё много-много таких может... Так что проще спокойно переспросить. Раньше бежать, думаю, смысла нет. Ссылка на комментарий
strator Опубликовано 13 мая, 2015 Автор Поделиться Опубликовано 13 мая, 2015 (изменено) А Вы КТ доктору приносили? А вообще, в следующее посещение спросите своего врача об этом, потому что может не нашел, может нашел но не посчитал в счет, может не искал, и ещё много-много таких может... Так что проще спокойно переспросить. Раньше бежать, думаю, смысла нет. приносила. а если все же канал был забыт, то доктор должен пролечть оставшийся канал либо все остальные заново тоже? Изменено 13 мая, 2015 пользователем strator Ссылка на комментарий
St. Опубликовано 14 мая, 2015 Поделиться Опубликовано 14 мая, 2015 По ситуации. Поскольку у вас в каналах ещё временное лекарство, скорее всего только один. Ссылка на комментарий
Рекомендуемые сообщения
Для публикации сообщений создайте учётную запись или авторизуйтесь
Вы должны быть пользователем, чтобы оставить комментарий
Создать аккаунт
Зарегистрируйте новый аккаунт в нашем сообществе. Это очень просто!
Регистрация нового пользователяВойти
Уже есть аккаунт? Войти в систему.
Войти