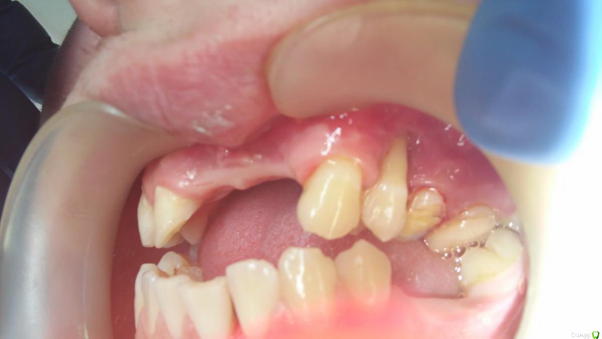
ANCHOUSE Опубликовано 21 апреля, 2015 Поделиться Опубликовано 21 апреля, 2015 (изменено) Пациент,19 лет,реабилитация после дтпНаправлен из стационара на ортодонтиюРецессии 31,32(подвижен 1ст.),2424,32 на удаление 100%? Изменено 21 апреля, 2015 пользователем ANCHOUSE Ссылка на комментарий
L'azur Опубликовано 21 апреля, 2015 Поделиться Опубликовано 21 апреля, 2015 100 Ссылка на комментарий
krokomot Опубликовано 21 апреля, 2015 Поделиться Опубликовано 21 апреля, 2015 24,32 на удаление 100%? Нужен снимок, чего уж так сразу раскидываться зубами, если значительная рецессия произошла в результате травмы, то можно, думаю, немного все поправить. Ссылка на комментарий
ANCHOUSE Опубликовано 21 апреля, 2015 Автор Поделиться Опубликовано 21 апреля, 2015 Парня сбил грузовик,последствия тяжелые,рецессии это уже лирика...... Насчет 32 сомнений нет,там потеря кости значительная,подвижность большая,а вот 24-пат.подв. нет,м\з перегородки сохранены.Еще очень плохая гигена,что усугубляет картину...Должет подойти на к/осм. после проф.гигиены со снимком... Ссылка на комментарий
Рекомендуемые сообщения
Для публикации сообщений создайте учётную запись или авторизуйтесь
Вы должны быть пользователем, чтобы оставить комментарий
Создать аккаунт
Зарегистрируйте новый аккаунт в нашем сообществе. Это очень просто!
Регистрация нового пользователяВойти
Уже есть аккаунт? Войти в систему.
Войти