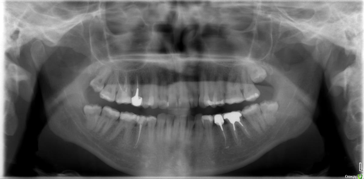
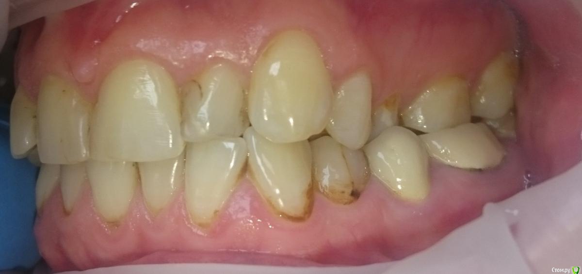
Metanira Опубликовано 17 апреля, 2015 Поделиться Опубликовано 17 апреля, 2015 Добрый день, дорогие стоматологи!Прилагаю снимок, сделанный в апреле этого года и фотографии. После него вылечена 4.4, так как вывалилась пломба. Очень хочу узнать ваше мнение по следующим вопросам и буду очень благодарна за любые ответы, не обязательно на все вопросы)Какие зубы стоит начать лечить в первую очередь? У меня очень много пломб, но менять их все не хочется, так как скоро от зубов ничего не останется( Пока планирую вылечить 2.1. В клинике к лечению посоветовали зубы: 14, 16, 17, 25, 26, 27, 34 (оверлей), 46 (оверлей), 47 (оверлей). С чего начать? Стоит ли пломбировать пришеечный кариес на нижних зубах? Врач рекомедовал лечить все зубы с 33 по 43. Они никак не беспокоят, боюсь лечить, так как боюсь, что появится чувствительность. Стоит ли пользоваться в моем случае монопучковой щеткой? Она у меня есть, но мне кажется, она все-таки жестковата. Что-то странное у меня с пломбой на 44-45 зубах сверху, она одна на 2 зуба, это как-то оправдано?) Какая щетка Cura Prox по вашему мнению лучше 5460 (один стоматолог сказал, что лучше ее использовать, так как чем мягче, тем лучше) или же 3960 (другой стоматолог посоветовал мне именно ее из-за сильного налета, после нее зубы кажутся белее, но боюсь, что для эмали она менее безопасна, чем 5460). Я курю и пью чай, зубы чищу регулярно, но вот такой вот налет. У меня щелкает правый сустав челюсти, стоит ли использовать Аква Сплинт или что-нибудь подобное ночью?Брекеты носить не планирую, так как мои зубы и эмаль этого точно не переживут.Заранее всех благодарю! Ссылка на комментарий
krokomot Опубликовано 17 апреля, 2015 Поделиться Опубликовано 17 апреля, 2015 Уважаемая, вы все описали что вам нужно сделать, а с какой проблемой вы пришли к стоматологу?, Что беспокоит вас? С проблемой с суставом понятно, без исправления прикуса на брекетах проблемы с суставом будут усугубляться со временем. Если вы не хотите бороться с пришеечным поражением зубов, то я так понимаю эстетически вас это не беспокоит, как и пломба на 2.2. Поведайте нам что конкретно вы хотели бы исправить? Ссылка на комментарий
Metanira Опубликовано 17 апреля, 2015 Автор Поделиться Опубликовано 17 апреля, 2015 (изменено) Спасибо за ответ. Ошиблась, 2.2 как раз и хочу сделать в первую очередь. Эстетически меня вообще не беспокоит пришеечный кариес, поэтому если не стоит его трогать, то и не буду. Просто, как вы поняли, мне чуть ли не каждый зуб пломбировать или перепломбировывать, поэтому и хочу узнать, действительно ли все это необходимо или что-то можно не трогать. Ну и вопросы вроде довольно конкретные....Уважаемая, вы все описали что вам нужно сделать, а с какой проблемой вы пришли к стоматологу?, Что беспокоит вас? С проблемой с суставом понятно, без исправления прикуса на брекетах проблемы с суставом будут усугубляться со временем. Если вы не хотите бороться с пришеечным поражением зубов, то я так понимаю эстетически вас это не беспокоит, как и пломба на 2.2. Поведайте нам что конкретно вы хотели бы исправить? Изменено 17 апреля, 2015 пользователем Metanira Ссылка на комментарий
krokomot Опубликовано 17 апреля, 2015 Поделиться Опубликовано 17 апреля, 2015 Спасибо за ответ. Ошиблась, 2.2 как раз и хочу сделать в первую очередь. Эстетически меня вообще не беспокоит пришеечный кариес, поэтому если не стоит его трогать, то и не буду. Просто, как вы поняли, мне чуть ли не каждый зуб пломбировать или перепломбировывать, поэтому и хочу узнать, действительно ли все это необходимо или что-то можно не трогать. Ну и вопросы вроде довольно конкретные.... 1 решить сложно, что первее, не видя ситуации во рту, по ОПТГ ничего критичного не видно, там где в зубах пломбированы каналы стоит зделать прицельные снимки на придмет отсутствия околокорневой патологии. Так что думаю очередность на ваш выбор2. надо смотреть по ситуации если поврхностное поражение можно обойтись сошлифовыванием и полировкой затем минерализующая терапия и чувствительность, если она появиться - пройдет. А если процесс не поверхностный нужно реставрировать. Смысла в монопучковой щетке не вижу. Должна быть щетка средней жесткости, паста со фтором, правильная техника чистки зубов, зубная нить и ирригатор тогда с гигиеной проблем не будет, но надо делать профессиональную гигиену 2 раза в год.3. Пломб на 2 зуба быть не должно. И ответьте почему вы решили, что она на 2 зуба?4.Ответил в пункт 25. Шина возможно несколько улучшит ваше состояние, но проблемы с прикусом не решит, так что потихоньку готовтесь к иправлению прикуса. Ссылка на комментарий
Metanira Опубликовано 20 апреля, 2015 Автор Поделиться Опубликовано 20 апреля, 2015 Спасибо большое за подробные ответы и советы! Про пломбу на 2 зуба я и сама не замечала, пока недавно врач не сказала мне, что у меня на этих зубах пломба почему-то общая, то есть ниткой я не могу между ними почистить) Ссылка на комментарий
Рекомендуемые сообщения
Для публикации сообщений создайте учётную запись или авторизуйтесь
Вы должны быть пользователем, чтобы оставить комментарий
Создать аккаунт
Зарегистрируйте новый аккаунт в нашем сообществе. Это очень просто!
Регистрация нового пользователяВойти
Уже есть аккаунт? Войти в систему.
Войти