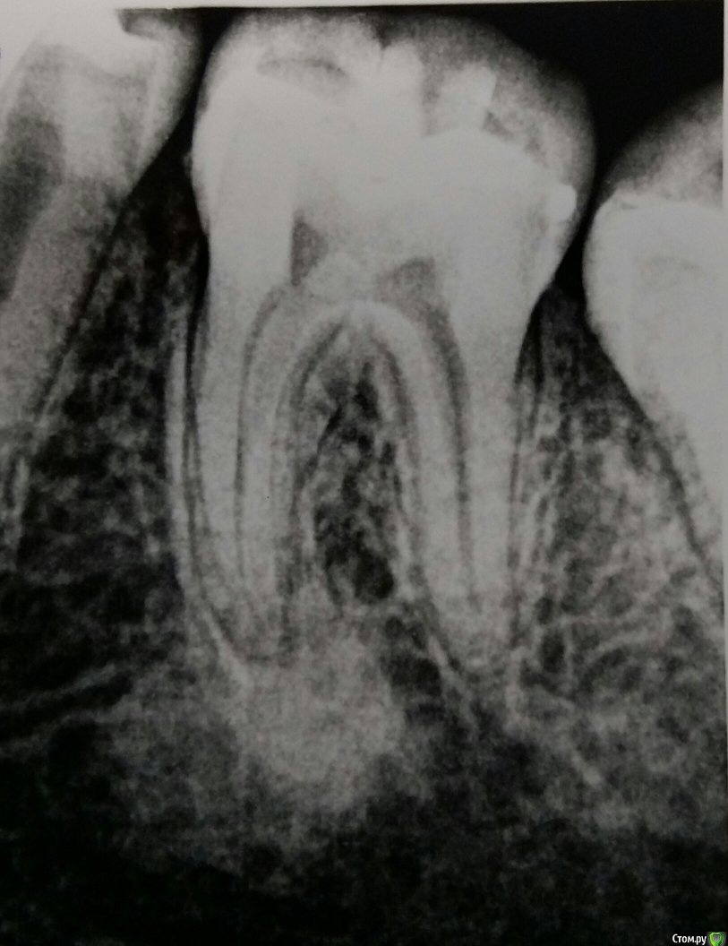
elen_rein Опубликовано 15 апреля, 2015 Поделиться Опубликовано 15 апреля, 2015 Здравствуйте!очень нужен совет.На рентгене стоматолог-ортопед обнаружил воспаление под корнем зуба,похожее на кисту,посоветовал обратиться к хирургу.Ранее зуб не лечили,он никогда не беспокоил.Но сейчас появилась ноющая боль. Подскажите пожалуйста какие есть варианты лечения данного зуба? Ссылка на комментарий
DmitrySH Опубликовано 15 апреля, 2015 Поделиться Опубликовано 15 апреля, 2015 Боль появилась после обнаружения? Нужен тест на витальность зуба. Ссылка на комментарий
elen_rein Опубликовано 15 апреля, 2015 Автор Поделиться Опубликовано 15 апреля, 2015 (изменено) Боль появилась после обнаружения? Нужен тест на витальность зуба. спасибо большое за быстрый ответ!!!боль появилась примерно через неделю после обнаружения. Изменено 15 апреля, 2015 пользователем elen_rein Ссылка на комментарий
Гарриевич Опубликовано 15 апреля, 2015 Поделиться Опубликовано 15 апреля, 2015 это как бы и не киста, а наоборот =)надо выявить причину боли, а с этой "некистой" к хирургу идти не надоуберите контраст на снимке и выложите еще раз 1 Ссылка на комментарий
elen_rein Опубликовано 15 апреля, 2015 Автор Поделиться Опубликовано 15 апреля, 2015 это как бы и не киста, а наоборот =)надо выявить причину боли, а с этой "некистой" к хирургу идти не надоуберите контраст на снимке и выложите еще разСпасибо за ответ!!уменьшила немного контрастность.С зубом обращаться к терапевту,правильно? Ссылка на комментарий
elen_rein Опубликовано 15 апреля, 2015 Автор Поделиться Опубликовано 15 апреля, 2015 это как бы и не киста, а наоборот =)надо выявить причину боли, а с этой "некистой" к хирургу идти не надоуберите контраст на снимке и выложите еще разСпасибо за ответ!!уменьшила немного контрастность.С зубом обращаться к терапевту,правильно? Ссылка на комментарий
DmitrySH Опубликовано 15 апреля, 2015 Поделиться Опубликовано 15 апреля, 2015 Путь терапевт посмотрит на предмет наличия кариеса на контактах Ссылка на комментарий
Гарриевич Опубликовано 15 апреля, 2015 Поделиться Опубликовано 15 апреля, 2015 Спасибо за ответ!!уменьшила немного контрастность.С зубом обращаться к терапевту,правильно?Обратитесь к грамотному терапевту и все решится =) Ссылка на комментарий
Рекомендуемые сообщения
Для публикации сообщений создайте учётную запись или авторизуйтесь
Вы должны быть пользователем, чтобы оставить комментарий
Создать аккаунт
Зарегистрируйте новый аккаунт в нашем сообществе. Это очень просто!
Регистрация нового пользователяВойти
Уже есть аккаунт? Войти в систему.
Войти