Перейти к содержанию
Стоматология для всех

образование в области 24


Рекомендуемые сообщения

Доброго времени суток!

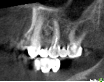
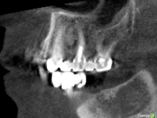
Мк стоят около 10 лет,в области 23 средней 1/3 определяется свищ,отделяемого нет,небольшое западение альвеолярного отростка с рубцовыми изменениями слизистой в области 24 ,перкуссия 23,25 безболезненна,болезненность в области переходной складки и небной поверхности на уровне апекса 23

Со слов пациента периодически возникающий отек,тянущие боли

Какие предположения доктора?

post-14217-0-79141200-1429051899_thumb.jpg

post-14217-0-75693300-1429051908_thumb.jpg

post-14217-0-64462200-1429051916_thumb.jpg

post-14217-0-51220800-1429053284_thumb.jpg

Изменено пользователем BORA
Ссылка на комментарий

Около недели назад был похожий случай: пациент мост 1.6-1.4. В промежутке неясного генеза убыль кости по снимку. Делаем КТ - очаг просветления в области отсутсвующего зуба, по снимку  вроде кость 4 типа. Объясняю пациенту, что будем ставить имплантат, раскроемся и увидим что там. День Х, после отслоения в области удаленного зуба 1.5 грануляционная ткань! 30 минут кюретажа всех этих спаек и получена практически первоначальная лунка удаленного зуба 1.5. Закинул кость и вкрутил имплантат. Ушил, а на момент когда пациент вышел из кресла - сказал, что сало прям легче. мол было даже желание вам доктор помочь все это из лунки убрать))) 2 недели все гуд - ничего не беспокоит. Так вот к чему так много букав: скорее всего удалили зуб и не сделали кюретаж, там грануляционная ткань которая дает всю эту картину. Побольше бы срезов с КТ. И сделайте сагитальные срезы. Если полость из неоткуда то режьте и смотрите.

Ссылка на комментарий

поставьте в свищ гутту и посмотрите откуда ноги растут

скорее всего 23 и 25 перебрать

можно через коронки, если состоятельные

насчет 27 ниче не хочу говорить по этим снимкам

Ссылка на комментарий

Для публикации сообщений создайте учётную запись или авторизуйтесь

Вы должны быть пользователем, чтобы оставить комментарий

Создать аккаунт

Зарегистрируйте новый аккаунт в нашем сообществе. Это очень просто!

Регистрация нового пользователя

Войти

Уже есть аккаунт? Войти в систему.

Войти
×
×
  • Создать...
Вверх