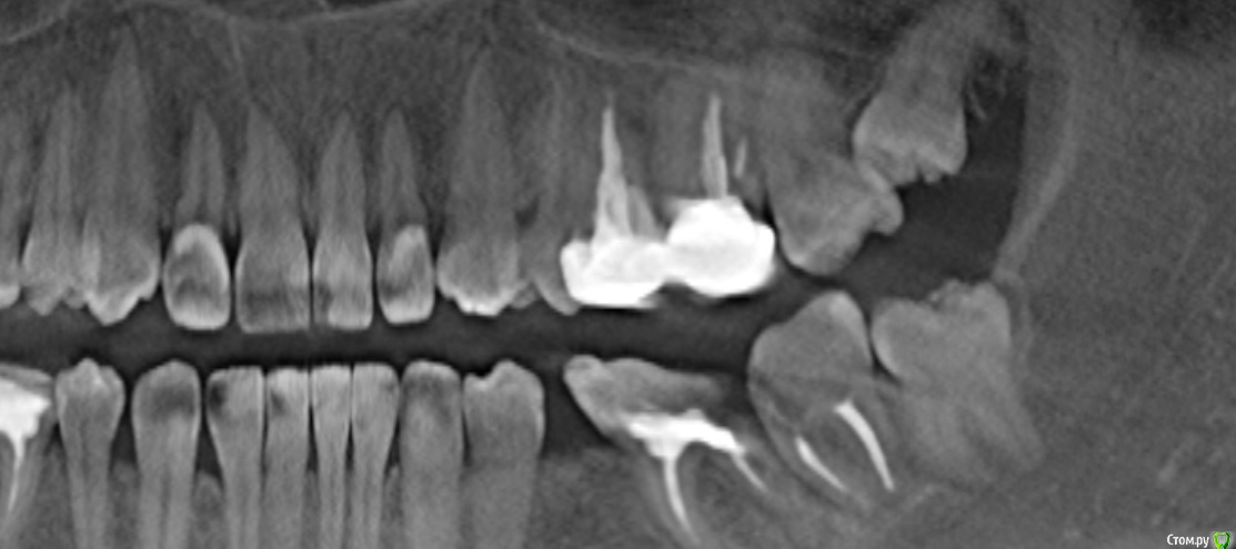
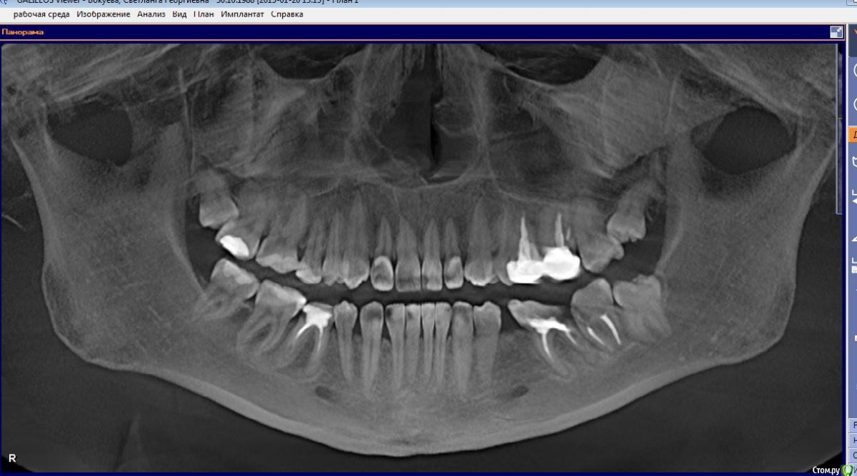
Margo03 Опубликовано 13 апреля, 2015 Поделиться Опубликовано 13 апреля, 2015 Добрый вечер! Интерисует вопрос , можно ли поставить коронку на 7 нижний зуб с левой стороны, если стенка зуба откололась в ровень с десной? Есть ли какие-то методы востановления зуба для дальнейшего протезирования? Или зуб только под удаление и имплант? На 6 -ку рядом точно не поставить , хотелось бы всё-таки один зуб сохранить на этой стороне. Заранее спасибо за ответ! Ссылка на комментарий
Гарриевич Опубликовано 13 апреля, 2015 Поделиться Опубликовано 13 апреля, 2015 (изменено) прицельный снимок нуженпредварительно по 7ке: можно нарежте пару срезов в области 7 зуба Изменено 13 апреля, 2015 пользователем Гарриевич Ссылка на комментарий
Vadim09 Опубликовано 13 апреля, 2015 Поделиться Опубликовано 13 апреля, 2015 К сожалению, по снимку нельзя увидеть язычную и щечную стороны, оценить, надо смотреть в кресле. Ссылка на комментарий
Margo03 Опубликовано 14 апреля, 2015 Автор Поделиться Опубликовано 14 апреля, 2015 Спасибо за ответы! Сходила к стоматологу на личную консультацию. Думаю тема может быть закрыта. Ссылка на комментарий
red_butler Опубликовано 14 апреля, 2015 Поделиться Опубликовано 14 апреля, 2015 Спасибо за ответы! Сходила к стоматологу на личную консультацию. Думаю тема может быть закрыта. без проблем, захотите продолжить - пишите в личку Ссылка на комментарий
Рекомендуемые сообщения