L_Z Опубликовано 12 апреля, 2015 Поделиться Опубликовано 12 апреля, 2015 Добрый день!Ситуация следующая:После удаления 6-ки справа сверху я заметила, что 6-ка слева доставляет дискомфорт (сразу оговорюсь - до удаления 1-го в жизни зуба не парилась вообще на эту тему), пошла к доктору - сказал, в зубе трещина, если не ушла в корни, то восстанавливать коронкой, но на снимке ничего не видно, и покажет только вскрытие. Решила сходить еще к специалистам - в одной клинике обещали отрестврировать шикарно, второй доктор предложил коронку без перелечивания каналов.В общем, в тот момент я растерялась от обилия информации и оставила этот момент на 4,5 месяца.Спустя это время один из врачей, у которого я была и вернулась к нему, потому что он залечил прекрасно 5-ку, сказал, что откололся кусочек (я этого не заметила) и покажет только вскрытие. У него же я хотела делать имплант, но он их не делает.Пришло время, когда можно делать имплант, мне посоветовали врача, я пришла и он уже мне все описал,в том числе и про 6-ку снизу. смотря на ортопанораму, что будем делать культевую вкладку, мы договорились о времени, и в назначенный день, на осмотре, он сказал тоже, что судя по моим ощущениям, мог треснуть корень, и лучше тогда не трогать, если я не готова удалять. (Я не готова). Делать имплант послал к другому доктору, но это отдельная история, в итоге я отказалась, перепугалась, потому что мне было предложено удалить зубы мудрости одновременно на стороне 6-ки, куда ставить имплант. Зубы мудрости ретинированные., все это под седацией.Честно говоря, голова уже пухнет, все врачи по рекомендациям, но ничего конкретного по 6-ке снизу этой не говорят.Я понимаю, что все можно сказать только очно, но хотелось бы ваших мнений.Я очень надеюсь, что ее можно восстановить коронкой на вкладке, сама виновата, но имплантов пока боюсь, мост не вариант, а лишиться двух жевательных в 26 лет очень печаль. Если этот снимок что-то даст, помогие советом, пожалуйста. Ссылка на комментарий
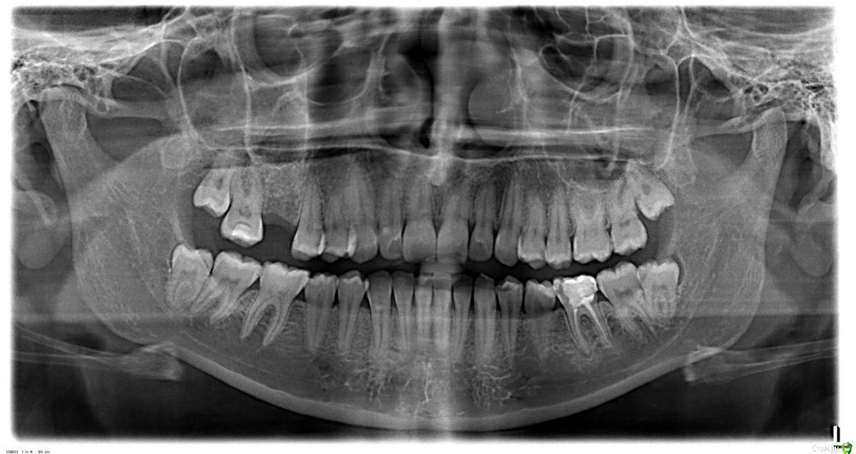
DmitrySH Опубликовано 12 апреля, 2015 Поделиться Опубликовано 12 апреля, 2015 36 - требуется ревизия каналов ( на снимке признаки хронического воспаления) желательно чтоб под контролем микроскопа, для исключения трещин.И после этого ортопедическое восстановление, Вкладка +коронка 1 Ссылка на комментарий
L_Z Опубликовано 12 апреля, 2015 Автор Поделиться Опубликовано 12 апреля, 2015 36 - требуется ревизия каналов ( на снимке признаки хронического воспаления) желательно чтоб под контролем микроскопа, для исключения трещин.И после этого ортопедическое восстановление, Вкладка +коронкаПосле перелечивания воспаление может уйти?Если трещины - то тогда удаление?На КТ реально увидеть трещину? КТ есть.Вопрос - это может подождать пару месяцев?Свадьба в июле-если вдруг что, накануне такого события не хочется дикого стресса Ссылка на комментарий
krokomot Опубликовано 12 апреля, 2015 Поделиться Опубликовано 12 апреля, 2015 Скажите, как давно в этом зубе лечились каналы? Ссылка на комментарий
L_Z Опубликовано 12 апреля, 2015 Автор Поделиться Опубликовано 12 апреля, 2015 Скажите, как давно в этом зубе лечились каналы?Честно говоря, я не помню, думаю, примерно 3-5 лет назад Ссылка на комментарий
L_Z Опубликовано 12 апреля, 2015 Автор Поделиться Опубликовано 12 апреля, 2015 Честно говоря, я не помню, думаю, примерно 3-5 лет назадК сожалению, тот зуб, которого я лишилась прошлым летом и этот лечил один и тот же врач-ни там ни там не было анатомии зуба вообще... Мне бы сохранить его всеми силами Ссылка на комментарий
krokomot Опубликовано 12 апреля, 2015 Поделиться Опубликовано 12 апреля, 2015 Тогда не заморачивайтесь перелечивайте каналы и протезируйтесь, наличие трещины корня не всегда я вляется показанием к удалению а вот без перелечивания и перекрытия коронкой зуб может развалиться итог,1. лечить каналы под микроскопом2. корневая штивтовая конструкция 3. коронка,4. в область удаленного зуба имплант Ссылка на комментарий
L_Z Опубликовано 12 апреля, 2015 Автор Поделиться Опубликовано 12 апреля, 2015 Тогда не заморачивайтесь перелечивайте каналы и протезируйтесь, наличие трещины корня не всегда я вляется показанием к удалению а вот без перелечивания и перекрытия коронкой зуб может развалиться итог,1. лечить каналы под микроскопом2. корневая штивтовая конструкция 3. коронка,4. в область удаленного зуба имплантСпасибо. Когда смотрели врачи - не хотели браться чтоли? Сказали, что если трещина - то удаление. Я поэтому и здесь, завтра собираюсь к очередному специалисту по рекомендации. Скажите, перед имплантацией обязательно удалять зубы мудрости в моей ситуации?36 зуб на вид имеет две трещины, я их сама вижу. Ссылка на комментарий
Гарриевич Опубликовано 12 апреля, 2015 Поделиться Опубликовано 12 апреля, 2015 Зубы мудрости сейчас удалять не обязательно, но рано или поздно придется все равно36 зуб перелечивать + вкладка+ коронкаТрещины в пределах эмали (Вы скорее всего видите их) не опасны Ссылка на комментарий
L_Z Опубликовано 12 апреля, 2015 Автор Поделиться Опубликовано 12 апреля, 2015 Зубы мудрости сейчас удалять не обязательно, но рано или поздно придется все равно36 зуб перелечивать + вкладка+ коронкаТрещины в пределах эмали (Вы скорее всего видите их) не опасныСкажите, как мне понять, в пределах они эмали или нет?Врачи говорят так: вроятнее всего трещина ушла в корень, и конкретно эти врачи не берутся лечить такие зубы, намекая на удаление. Как мне перестрахолваться? На КТ можно увидеть эти трещины? Если нужно, я залью куда-нибудь свою КТ, я не хочу рисковать, оставлю пока так есть, если есть риск: что после вскрытия зуба вообще его убирать придется.Я правильно поняла, что я могу думать об имплантации на место верхнй 6-ки без срочного удаления 8-к?Извините за обилие вопросов, я же не врач) Ссылка на комментарий
DmitrySH Опубликовано 12 апреля, 2015 Поделиться Опубликовано 12 апреля, 2015 Убрать пломбу и посмотреть внутри.На КТ трещины не видно.8-е не мешают имплантации . Ссылка на комментарий
L_Z Опубликовано 12 апреля, 2015 Автор Поделиться Опубликовано 12 апреля, 2015 Убрать пломбу и посмотреть внутри.На КТ трещины не видно.8-е не мешают имплантации .Хорошо, допустим, если они есть, можно будет хотя бы оставить как было, или тут уже только удаление? Это основной страх Ссылка на комментарий
Гарриевич Опубликовано 12 апреля, 2015 Поделиться Опубликовано 12 апреля, 2015 зависит от локализациино оставить как естьв любом случае можно, но лучше полечить) Ссылка на комментарий
L_Z Опубликовано 12 апреля, 2015 Автор Поделиться Опубликовано 12 апреля, 2015 зависит от локализациино оставить как естьв любом случае можно, но лучше полечить)То есть вскрыв, может и не получится сохранить?Так как полечить чтобы хоть как-то сохранить, а не 50 на 50? Как? Ссылка на комментарий
L_Z Опубликовано 12 апреля, 2015 Автор Поделиться Опубликовано 12 апреля, 2015 То есть вскрыв, может и не получится сохранить?Так как полечить чтобы хоть как-то сохранить, а не 50 на 50? Как?Я опасаюсь, что убрав пломбу, он рассыпается Ссылка на комментарий
Гарриевич Опубликовано 12 апреля, 2015 Поделиться Опубликовано 12 апреля, 2015 Так как полечить чтобы хоть как-то сохранить, а не 50 на 50? Как?вовремя Я опасаюсь, что убрав пломбу, он рассыпается не бойтесь, хуже точно не будет Ссылка на комментарий
L_Z Опубликовано 12 апреля, 2015 Автор Поделиться Опубликовано 12 апреля, 2015 вовремя не бойтесь, хуже точно не будетЕще раз извините за дотошность-удаления в любом случае избежим? Хуже только удаление Ссылка на комментарий
Гарриевич Опубликовано 12 апреля, 2015 Поделиться Опубликовано 12 апреля, 2015 не за что извиняться)по моему мнению да- избежите Ссылка на комментарий
Рекомендуемые сообщения
Для публикации сообщений создайте учётную запись или авторизуйтесь
Вы должны быть пользователем, чтобы оставить комментарий
Создать аккаунт
Зарегистрируйте новый аккаунт в нашем сообществе. Это очень просто!
Регистрация нового пользователяВойти
Уже есть аккаунт? Войти в систему.
Войти