azerty Опубликовано 9 апреля, 2015 Поделиться Опубликовано 9 апреля, 2015 Доброго времени суток.Подскажите ординатору кто устанавливает ортодонтические импланты(ортодонт или имплантолог)?Как часто бывают осложнения? Ссылка на комментарий
k.t.m. Опубликовано 9 апреля, 2015 Поделиться Опубликовано 9 апреля, 2015 врач стоматолог-хирургосложнения -это вкрутить в зуб или нижнечелюстной канал,и обломать винт самые серьезные,остальные не так серьезно Ссылка на комментарий
Фарид Расулыч Опубликовано 9 апреля, 2015 Поделиться Опубликовано 9 апреля, 2015 Ломал разок. Помню как "очканул"Трусы тяжелые стали сразу. 1 Ссылка на комментарий
Yana guapa Опубликовано 10 апреля, 2015 Поделиться Опубликовано 10 апреля, 2015 есть и ортодонты, которые сами ставят винты. Но для этого они первичку по хирургии получили. Ссылка на комментарий
Ayrat_zub Опубликовано 10 апреля, 2015 Поделиться Опубликовано 10 апреля, 2015 есть и ортодонты, которые сами ставят винты. Но для этого они первичку по хирургии получили. Не все проходили первичку Ссылка на комментарий
Фарид Расулыч Опубликовано 11 апреля, 2015 Поделиться Опубликовано 11 апреля, 2015 Пройти первичку чтоб крутить мини винты: вот это сила духа))) 1 1 Ссылка на комментарий
red_butler Опубликовано 11 апреля, 2015 Поделиться Опубликовано 11 апреля, 2015 Пройти первичку чтоб крутить мини винты: вот это сила духа)))Сила духа понадобиться, если ортодонт без хирургического сертификата сломает фрезу/ортоимплант или повредит корень зуба 2 Ссылка на комментарий
Фарид Расулыч Опубликовано 11 апреля, 2015 Поделиться Опубликовано 11 апреля, 2015 я к тому, что зачем тратить столько денег и времени, чтоб крутить орто винты. Есть же хирург 2 Ссылка на комментарий
red_butler Опубликовано 11 апреля, 2015 Поделиться Опубликовано 11 апреля, 2015 я к тому, что зачем тратить столько денег и времени, чтоб крутить орто винты. Есть же хирургкак говориться - "муж мужем, а хирург всегда нужен" 6 Ссылка на комментарий
Yana guapa Опубликовано 11 апреля, 2015 Поделиться Опубликовано 11 апреля, 2015 Не все проходили первичку чтобы официально крутить - нужна первичка по хирургии (на сколько мне известно), так как это хирургическая процедура. а то, что у нас многие ее не имеют.... так и докуменов по ортодонтии у многих нет)))) а брекеты ставят !! сплошь и рядом))) 1 Ссылка на комментарий
an_ver Опубликовано 11 апреля, 2015 Поделиться Опубликовано 11 апреля, 2015 Орт.винты имеет право крутить хирург с сертификатом (это по закону), но многие ортодонты сами ставят,если не имеют возможности стоять рядом или передать информацию хирургу. 2 Ссылка на комментарий
Yana guapa Опубликовано 11 апреля, 2015 Поделиться Опубликовано 11 апреля, 2015 как говориться - "муж мужем, а хирург всегда нужен" ага! особоенно когда твой муж - хирург!)) и с ним ругаться нельзя!!!))) 4 Ссылка на комментарий
Monkey Опубликовано 3 ноября, 2015 Поделиться Опубликовано 3 ноября, 2015 Коллеги, необходим совет.Ортопед направил пациента -подготовка к протезированию на имплантатах, необходима интрузия 25,26 (снимки будут чуть позже).Чисто теоретически, какая из систем будет работать лучше:- четыре винта ( по два на каждый зуб) и отдельная тяга на каждый- либо балочная система ( балки с вестибулярной и небной стороны) и два винта (между 25-26)? Ссылка на комментарий
Yana guapa Опубликовано 3 ноября, 2015 Поделиться Опубликовано 3 ноября, 2015 Коллеги, необходим совет.Ортопед направил пациента -подготовка к протезированию на имплантатах, необходима интрузия 25,26 (снимки будут чуть позже).Чисто теоретически, какая из систем будет работать лучше:- четыре винта ( по два на каждый зуб) и отдельная тяга на каждый- либо балочная система ( балки с вестибулярной и небной стороны) и два винта (между 25-26)? думаю ответ Вы итак знаете. конечно, чем больше опоры, тем быстрее и надежнее. Но это "чисто теоретически". Вполне неплохо работают 2 винта с балками. Иногда 4 винта даже поставить нельзя (например, из-за расположения корней или еще каких-то анатомических особенностей), но чаще экономим финансы и поэтому ставим 2 винта. (имхо) 1 Ссылка на комментарий
Фазлиев Азат Ильдусович Опубликовано 3 ноября, 2015 Поделиться Опубликовано 3 ноября, 2015 Коллеги, необходим совет.Ортопед направил пациента -подготовка к протезированию на имплантатах, необходима интрузия 25,26 (снимки будут чуть позже).Чисто теоретически, какая из систем будет работать лучше:- четыре винта ( по два на каждый зуб) и отдельная тяга на каждый- либо балочная система ( балки с вестибулярной и небной стороны) и два винта (между 25-26)? Миниимпланты устанавливаю сам.Сертификат хирурга имею.Силу духа тоже). 10 Ссылка на комментарий
Monkey Опубликовано 4 ноября, 2015 Поделиться Опубликовано 4 ноября, 2015 Миниимпланты устанавливаю сам.Сертификат хирурга имею.Силу духа тоже). Браво, доктор! Ссылка на комментарий
Monkey Опубликовано 5 ноября, 2015 Поделиться Опубликовано 5 ноября, 2015 Миниимпланты устанавливаю сам.Сертификат хирурга имею.Силу духа тоже). Азат, возникло пару вопросовЗа какой период времени достигли такого результата?как часто проводили активации?какова степень активации? использовали только эластические цепочки?и почему именно три балки? я планировала поставить одну на окклюзионную поверхность, есть какие-то нюансы? Вроде все спросила Ссылка на комментарий
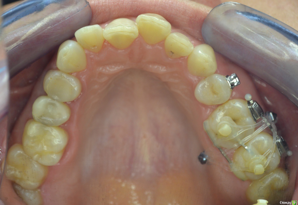
Фазлиев Азат Ильдусович Опубликовано 6 ноября, 2015 Поделиться Опубликовано 6 ноября, 2015 (изменено) Азат, возникло пару вопросов За какой период времени достигли такого результата?как часто проводили активации?какова степень активации? использовали только эластические цепочки?и почему именно три балки? я планировала поставить одну на окклюзионную поверхность, есть какие-то нюансы? Вроде все спросила Интрузия заняло 6 мес.Активации 1 раз в 3 недели.Степень акивации??Использую по возможности только эластические модули-очень пргонозируемо поведение парадонта с ними,за счет непостоянных воздействий на него.Сначала были только две балки -щечная и небная ,за которые тянулись чейны к МИ типа "лоссо".Далее расстояние от МИ к балкам сократилось и натяжение ,соответсвено,уменьшилось для эффективности.Поэтому поставил окклюзионую балку для равномерного рапсределения веткора,а те балки не стал уберать для создания абсолютной трехмерной связки двух зубов в один блок). Изменено 6 ноября, 2015 пользователем Фазлиев Азат Ильдусович 3 Ссылка на комментарий
Monkey Опубликовано 6 ноября, 2015 Поделиться Опубликовано 6 ноября, 2015 Интрузия заняло 6 мес.Активации 1 раз в 3 недели.Степень акивации??Использую по возможности только эластические модули-очень пргонозируемо поведение парадонта с ними,за счет непостоянных воздействий на него.Сначала были только две балки -щечная и небная ,за которые тянулись чейны к МИ типа "лоссо".Далее расстояние от МИ к балкам сократилось и натяжение ,соответсвено,уменьшилось для эффективности.Поэтому поставил окклюзионую балку для равномерного рапсределения веткора,а те балки не стал уберать для создания абсолютной трехмерной связки двух зубов в один блок).4.jpg За шесть месяцев - потрясающий результат!Степень - в том смысле на сколько сильно натягивали цепочки, просто на глаз ориентировались или на определенное количество звеньев растягивали? Ссылка на комментарий
Фазлиев Азат Ильдусович Опубликовано 6 ноября, 2015 Поделиться Опубликовано 6 ноября, 2015 (изменено) За шесть месяцев - потрясающий результат!Степень - в том смысле на сколько сильно натягивали цепочки, просто на глаз ориентировались или на определенное количество звеньев растягивали?Сначала натягиваю чейн ( более-менее ...) без особенностей,далее тот же чейн ,если он позволяет, активировую на 1 звено .Если не позволяет - меняю на тоже количество звеньев-только уже "новый" чейн.И так постепенно. P.S. Из нюансов- с щечной стороны переустанавливал МИ выше,на этапе ,когда частично интрузия прошла -не хватило) Изменено 6 ноября, 2015 пользователем Фазлиев Азат Ильдусович Ссылка на комментарий
an_ver Опубликовано 6 ноября, 2015 Поделиться Опубликовано 6 ноября, 2015 Интрузия заняло 6 мес.Активации 1 раз в 3 недели.Степень акивации??Использую по возможности только эластические модули-очень пргонозируемо поведение парадонта с ними,за счет непостоянных воздействий на него.Сначала были только две балки -щечная и небная ,за которые тянулись чейны к МИ типа "лоссо".Далее расстояние от МИ к балкам сократилось и натяжение ,соответсвено,уменьшилось для эффективности.Поэтому поставил окклюзионую балку для равномерного рапсределения веткора,а те балки не стал уберать для создания абсолютной трехмерной связки двух зубов в один блок).4.jpg Чьи винты? Ссылка на комментарий
Monkey Опубликовано 6 ноября, 2015 Поделиться Опубликовано 6 ноября, 2015 Чьи винты?Очень похожи на VectorTas Ссылка на комментарий
Фазлиев Азат Ильдусович Опубликовано 6 ноября, 2015 Поделиться Опубликовано 6 ноября, 2015 Чьи винты?VT Ссылка на комментарий
Kazankov.Egor Опубликовано 15 марта, 2016 Поделиться Опубликовано 15 марта, 2016 Кто-то осуществлял дистализацию всего зубного ряда на миниимплантатах? Каким образом выбрать правильно дизайн головки? Ссылка на комментарий
Yana guapa Опубликовано 15 марта, 2016 Поделиться Опубликовано 15 марта, 2016 Кто-то осуществлял дистализацию всего зубного ряда на миниимплантатах? Каким образом выбрать правильно дизайн головки?закрадывается вопрос - а для чего? неужели действительно надо все перемещать?? Ссылка на комментарий
Рекомендуемые сообщения
Для публикации сообщений создайте учётную запись или авторизуйтесь
Вы должны быть пользователем, чтобы оставить комментарий
Создать аккаунт
Зарегистрируйте новый аккаунт в нашем сообществе. Это очень просто!
Регистрация нового пользователяВойти
Уже есть аккаунт? Войти в систему.
Войти