bartons187 Опубликовано 9 апреля, 2015 Поделиться Опубликовано 9 апреля, 2015 Начитавшись форум решила спросить. У меня есть 5 коронок, три коронки собраны в мост так, что средний зуб в промежутке без зуба и две коронки соседние слитные на два зуба. Делала их лет 7 назад, ничего не беспокоит, но есть сомнения. И второй момент, есть пара зубов под пломбами, снаружи на стыке десны и зуба есть уступки, которые при прикосновении ногтя дают реакцию, как-будто оголено что-то у зуба. Что с этим делать и может нужно сделать снимок или кт дабы понять, что происходит во рту? Ссылка на комментарий
red_butler Опубликовано 9 апреля, 2015 Поделиться Опубликовано 9 апреля, 2015 Что с этим делать и может нужно сделать снимок или кт дабы понять, что происходит во рту? Да, нужны снимки http://forum.stom.ru/topic/2813-obiazatelno-k-prochteniiu/ Ссылка на комментарий
bartons187 Опубликовано 9 апреля, 2015 Автор Поделиться Опубликовано 9 апреля, 2015 Спасибо. Попробую сделать панорамный снимок сегодня. Будет ли на нем все видно? Я правильно понимаю ,что на КТ можно увидеть то, чего не видно на обычном снимке? Ссылка на комментарий
red_butler Опубликовано 9 апреля, 2015 Поделиться Опубликовано 9 апреля, 2015 Спасибо. Попробую сделать панорамный снимок сегодня. Будет ли на нем все видно? Я правильно понимаю ,что на КТ можно увидеть то, чего не видно на обычном снимке?Начните с панорамного снимка Ссылка на комментарий
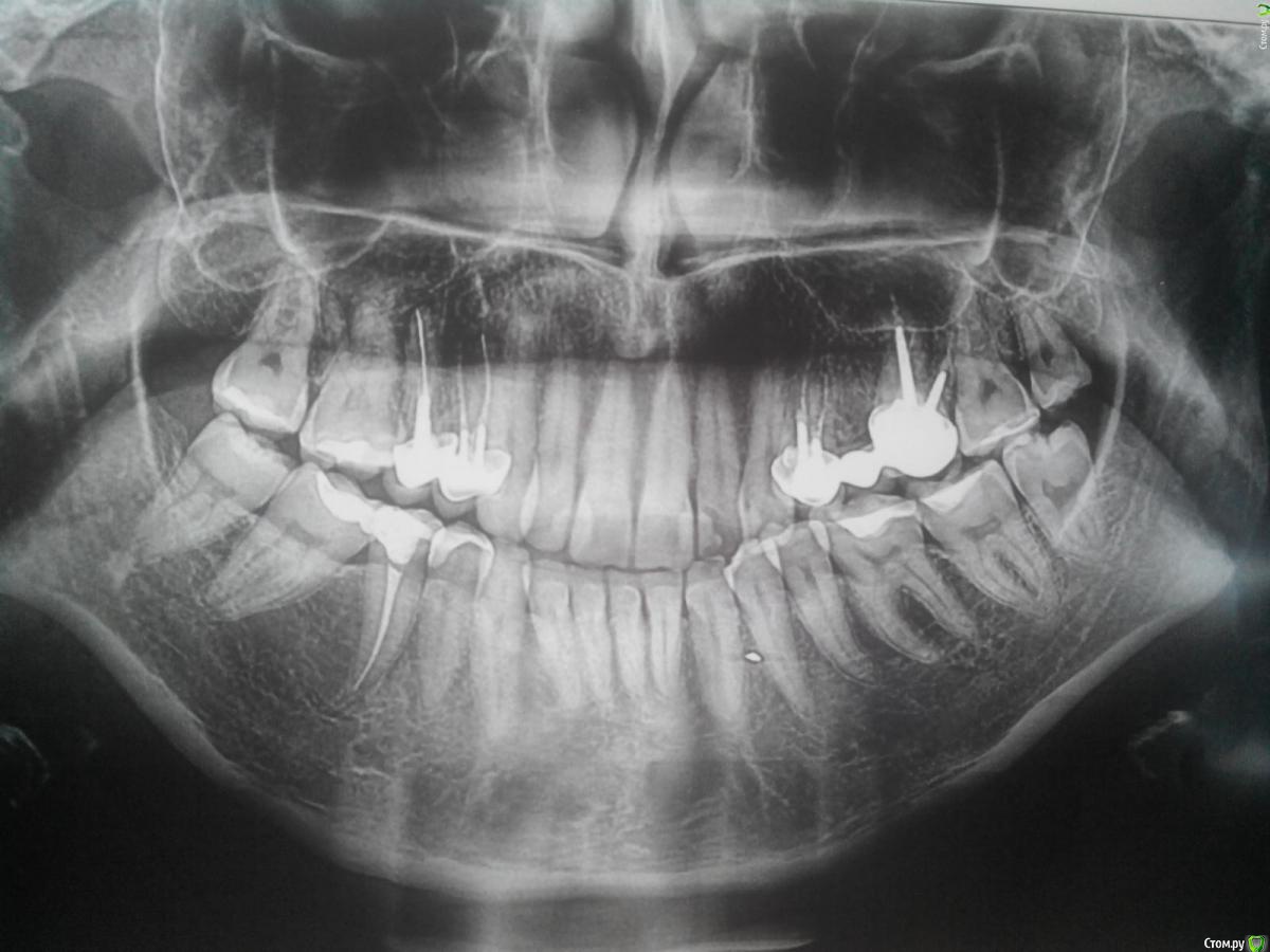
bartons187 Опубликовано 15 апреля, 2015 Автор Поделиться Опубликовано 15 апреля, 2015 Начните с панорамного снимкаСделала снимок Ссылка на комментарий
bartons187 Опубликовано 17 апреля, 2015 Автор Поделиться Опубликовано 17 апреля, 2015 Жду комментариев по снимку. Ссылка на комментарий
Гарриевич Опубликовано 21 апреля, 2015 Поделиться Опубликовано 21 апреля, 2015 Сделайте прицельные снимки в области 15, 14,24,26 зубовНасчет уступов около десны: по снимку они не могут быть видны. Лечение зависит от объема дефектаОдно могу точно посоветовать, ногтем туда не лазайте Ссылка на комментарий
bartons187 Опубликовано 21 апреля, 2015 Автор Поделиться Опубликовано 21 апреля, 2015 Это как раз те зубы что с коронками? Сделаю. Стоит ли идти на приём при такой проблеме как уступы эти? Ссылка на комментарий
St. Опубликовано 21 апреля, 2015 Поделиться Опубликовано 21 апреля, 2015 Это как раз те зубы что с коронками? Сделаю. Стоит ли идти на приём при такой проблеме как уступы эти?Стоит. На приеме доктор увидит всё воочию. И будет проще и точнее рекомендовать Вам подходящее лечение. Ссылка на комментарий
Гарриевич Опубликовано 21 апреля, 2015 Поделиться Опубликовано 21 апреля, 2015 Стоит. На приеме доктор увидит всё воочию. И будет проще и точнее рекомендовать Вам подходящее лечение.С этим не поспоришь) Ссылка на комментарий
bartons187 Опубликовано 28 апреля, 2015 Автор Поделиться Опубликовано 28 апреля, 2015 Уважаемые врачи. Пока никак не могу сделать прецельный снимок.. Скажите а по остальным зубам в целом какова картина? Нет ли каких- то ещё подозрений? И ещё такой вопрос - есть зуб с пломбой нижний справа 5 как раз под двойной коронкой верхней. Так вот в этом зубе доктору не удавалось сделать примыкание, переделывали один раз и был кусочек пломбы заходивший на зуб снаружи. Спустя время этот кусочек отвалился( пломба на месте, но есть некий уступчик. Что делать? И так же начинает крошиться примыкание ((( зуб лечили года два назад Ссылка на комментарий
Гарриевич Опубликовано 29 апреля, 2015 Поделиться Опубликовано 29 апреля, 2015 Что делать? И так же начинает крошиться примыкание ((( зуб лечили года два назадЗаново реставрировать Ссылка на комментарий
Рекомендуемые сообщения
Для публикации сообщений создайте учётную запись или авторизуйтесь
Вы должны быть пользователем, чтобы оставить комментарий
Создать аккаунт
Зарегистрируйте новый аккаунт в нашем сообществе. Это очень просто!
Регистрация нового пользователяВойти
Уже есть аккаунт? Войти в систему.
Войти