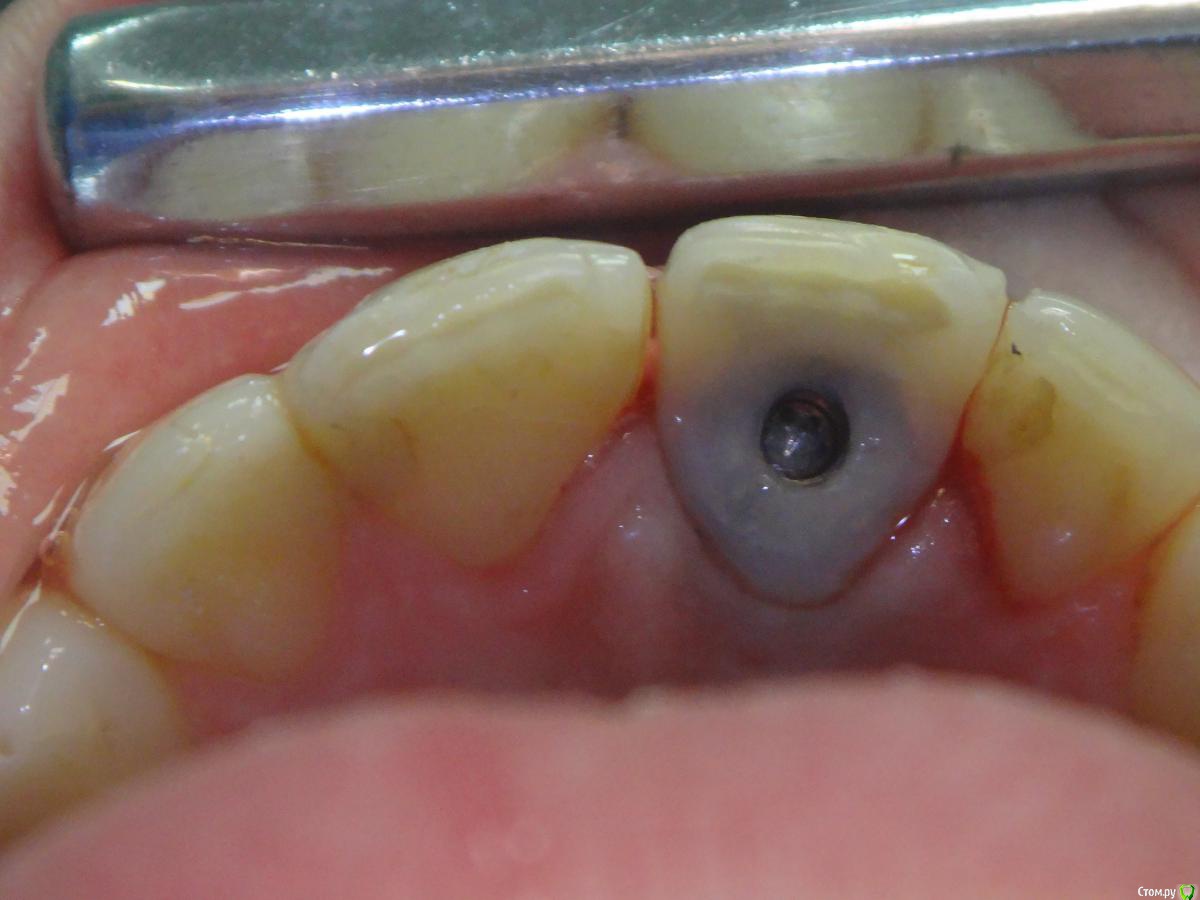
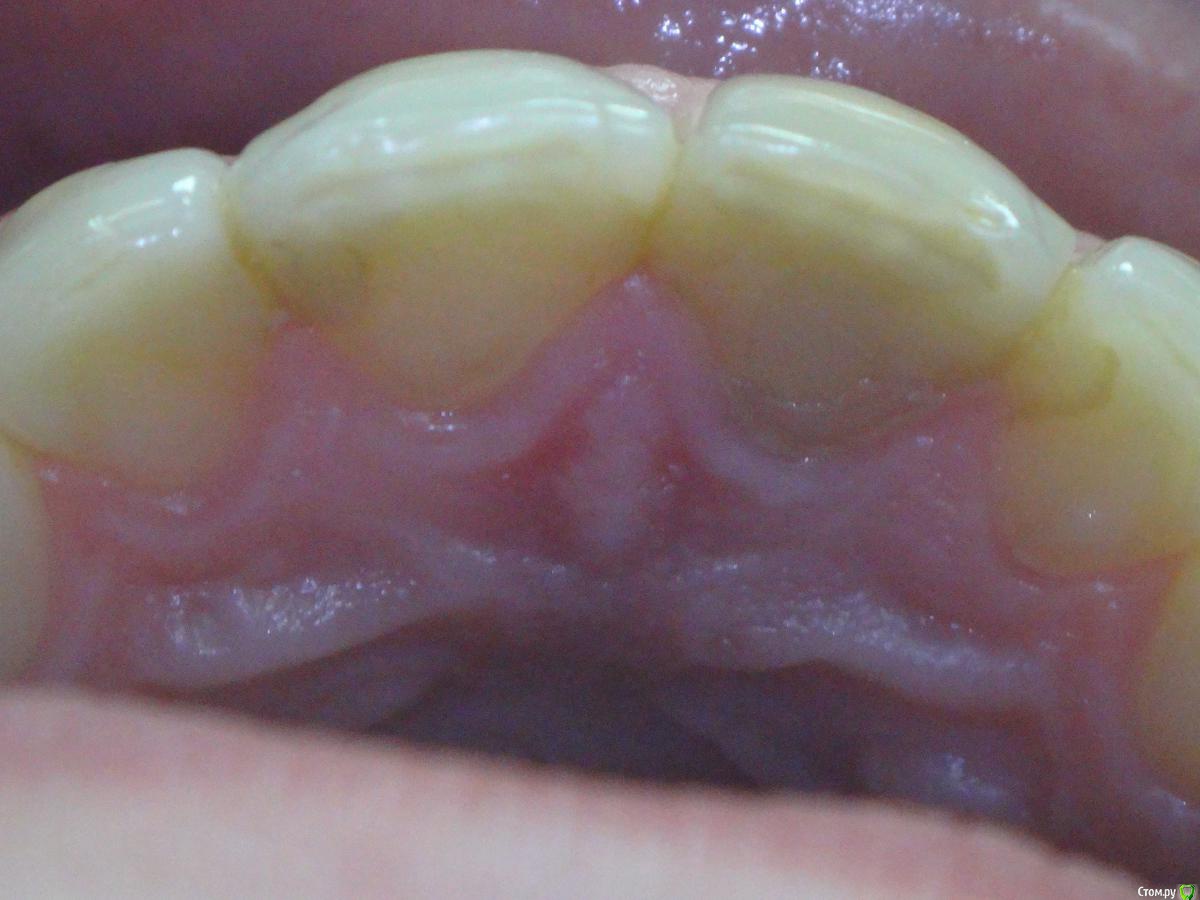
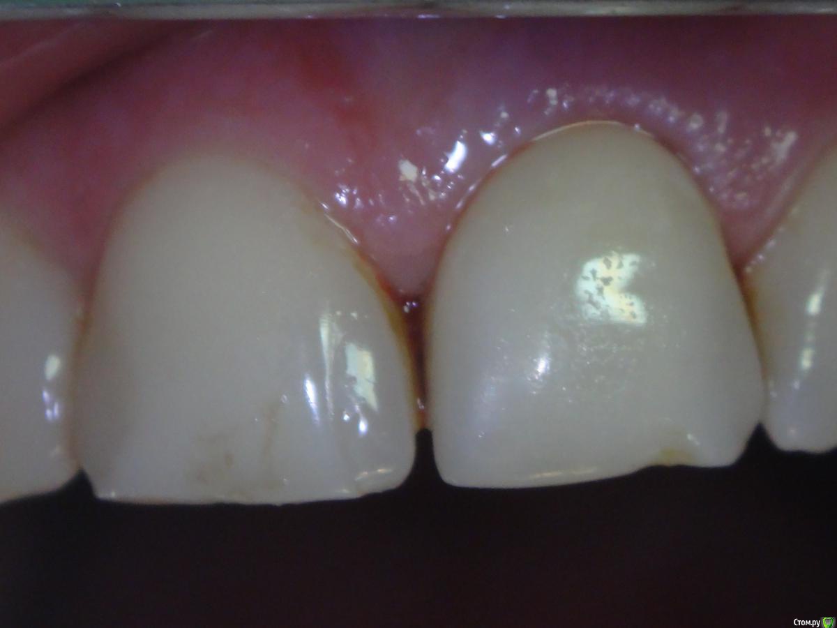
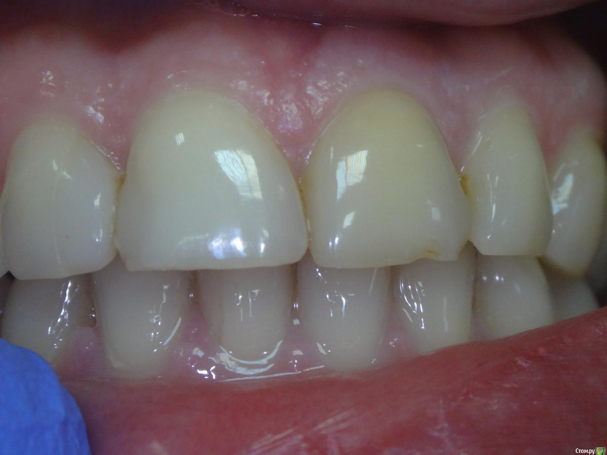
Популярный пост Rafael_Gogyan Опубликовано 9 апреля, 2015 Популярный пост Поделиться Опубликовано 9 апреля, 2015 Произошел перелом корня 21. Зуб был под золотокерамической коронкой. Культя зуба была восстановлена на стекловолоконном штифте. После атравматического удаления зуба установлен имплантат NobelReplace CC 4.3х16 с усилием 45Н/см. Небольшой ССТ с бугра. Проведено немедленное протезирование временной коронкой с выведением из прикуса. http://s47.radikal.ru/i115/1504/99/bf05796d2972.jpg 29 Ссылка на комментарий
kladoffka Опубликовано 9 апреля, 2015 Поделиться Опубликовано 9 апреля, 2015 Здорово получилось! Вестибулярка осталась? Ссылка на комментарий
Rafael_Gogyan Опубликовано 9 апреля, 2015 Автор Поделиться Опубликовано 9 апреля, 2015 да. спасибо. операция была через 3 дня после перелома Ссылка на комментарий
meznik Опубликовано 9 апреля, 2015 Поделиться Опубликовано 9 апреля, 2015 Красивый кейс!! Ссылка на комментарий
an_ver Опубликовано 11 апреля, 2015 Поделиться Опубликовано 11 апреля, 2015 Оличная такая времянка. Может обратно не вернуться,решев что на этом все)) 1 Ссылка на комментарий
JDS Опубликовано 11 апреля, 2015 Поделиться Опубликовано 11 апреля, 2015 А разрез внутрибороздковый на 2 или 1 зуб? Ссылка на комментарий
Nixon Опубликовано 11 апреля, 2015 Поделиться Опубликовано 11 апреля, 2015 Если не сложно,поделитесь протоколом как делали временную одномоментно с установкой.Спасибо Ссылка на комментарий
Rafael_Gogyan Опубликовано 12 апреля, 2015 Автор Поделиться Опубликовано 12 апреля, 2015 А разрез внутрибороздковый на 2 или 1 зуб? в данном случае только на один, который удалялхотя обычно делаю в области соседних тоже для укладки большего ССТ Ссылка на комментарий
Rafael_Gogyan Опубликовано 12 апреля, 2015 Автор Поделиться Опубликовано 12 апреля, 2015 Если не сложно,поделитесь протоколом как делали временную одномоментно с установкой.Спасибо протокол стандартныйдо удаления сняли с зуба силиконовый ключ (или индекс, кто как называет), после имплантации установили временный абатмент, потом на него ключ с залитой в область зуба пластмассой, потом композитом довели это дело до ума, ну и все 2 Ссылка на комментарий
uzstom Опубликовано 14 апреля, 2015 Поделиться Опубликовано 14 апреля, 2015 NobelReplace CC 4.3х16 с усилием 45Н/см Чтобы получить такой торк при подготовке ложе для имплантата не использовали финишную фрезу 4.3? Или работали конденсаторами? Ссылка на комментарий
Rafael_Gogyan Опубликовано 14 апреля, 2015 Автор Поделиться Опубликовано 14 апреля, 2015 Чтобы получить такой торк при подготовке ложе для имплантата не использовали финишную фрезу 4.3? Или работали конденсаторами? использовал все фрезы. без метчика. просто имплантат длинный. это помоглос Нобелем торк 45 легко достижим Ссылка на комментарий
Dr.Politov Опубликовано 18 апреля, 2015 Поделиться Опубликовано 18 апреля, 2015 Спасибо за случай Rafael. Отличная работа. Вопрос: Графт использовался? Если да, то какой? Спасибо. Ссылка на комментарий
Игорычь Опубликовано 19 апреля, 2015 Поделиться Опубликовано 19 апреля, 2015 Работа хирурга-имплатолога отличная! Ендодонтист либо калека, либо сцыкун... 1 Ссылка на комментарий
Евгений Ходыкин Опубликовано 19 апреля, 2015 Поделиться Опубликовано 19 апреля, 2015 Кстати, у меня вопрос. Везде выведен силер за апекс. Не было мыслей на тему того, что он может препятствовать интеграции?? Ссылка на комментарий
Rafael_Gogyan Опубликовано 20 апреля, 2015 Автор Поделиться Опубликовано 20 апреля, 2015 Спасибо за случай Rafael. Отличная работа. Вопрос: Графт использовался? Если да, то какой? Спасибо.да. Bio-Oss Ссылка на комментарий
Rafael_Gogyan Опубликовано 20 апреля, 2015 Автор Поделиться Опубликовано 20 апреля, 2015 Работа хирурга-имплатолога отличная! Ендодонтист либо калека, либо сцыкун...спасибо. на счет эндодонтии согласен, не фонтан Кстати, у меня вопрос. Везде выведен силер за апекс. Не было мыслей на тему того, что он может препятствовать интеграции??силер не соприкасается с имплантатом, имплантат стоит небнеедаже при контакте не причин думать. что были бы проблемы 1 Ссылка на комментарий
Slaggy Опубликовано 20 июня, 2015 Поделиться Опубликовано 20 июня, 2015 Одномоментно в 21 с немедленным временным протезированием Ссылка на комментарий
Maxfac Опубликовано 12 июля, 2015 Поделиться Опубликовано 12 июля, 2015 (изменено) Спасибо за клинический случай. Насколько заглубили относительно стенок альвеолы, зенита 1.1? Изменено 12 июля, 2015 пользователем Maxfac Ссылка на комментарий
chervoncevdaniil Опубликовано 12 июля, 2015 Поделиться Опубликовано 12 июля, 2015 протокол стандартныйдо удаления сняли с зуба силиконовый ключ (или индекс, кто как называет), после имплантации установили временный абатмент, потом на него ключ с залитой в область зуба пластмассой, потом композитом довели это дело до ума, ну и все Скажите,при каком торке вы принимаете решение о немедленной нагрузке временной коронкой?и как бы поступили,если бы нужный торк не получили?Спасибо Ссылка на комментарий
Rafael_Gogyan Опубликовано 11 августа, 2015 Автор Поделиться Опубликовано 11 августа, 2015 Спасибо за клинический случай. Насколько заглубили относительно стенок альвеолы, зенита 1.1?примерно 4 мм Ссылка на комментарий
Rafael_Gogyan Опубликовано 11 августа, 2015 Автор Поделиться Опубликовано 11 августа, 2015 Скажите,при каком торке вы принимаете решение о немедленной нагрузке временной коронкой?и как бы поступили,если бы нужный торк не получили?Спасибо торк не меньше 40Н/см, лучше не меньше 45. иногда можно и 35в данном случае, возможно, была бы косметическая пластинка. так как керамика на соседних зубах и ничего не приклеишь Ссылка на комментарий
Рекомендуемые сообщения
Для публикации сообщений создайте учётную запись или авторизуйтесь
Вы должны быть пользователем, чтобы оставить комментарий
Создать аккаунт
Зарегистрируйте новый аккаунт в нашем сообществе. Это очень просто!
Регистрация нового пользователяВойти
Уже есть аккаунт? Войти в систему.
Войти