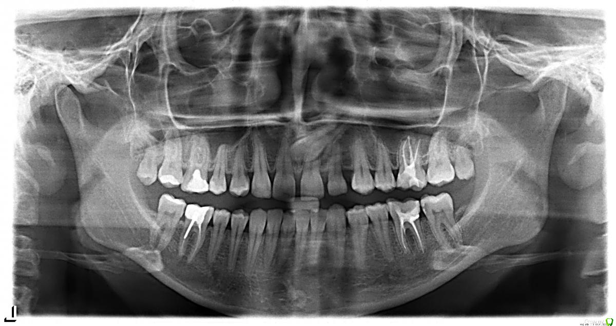
Jason Fa Опубликовано 7 апреля, 2015 Поделиться Опубликовано 7 апреля, 2015 Здравствуйте! В марте я решила ставить брекеты и сделала панорамный снимок. Выяснилось много нехорошего. Никогда не считала свои зубы проблемными, но я ошибалась. Мне 23 года. И на сегодня у меня четыре 6ки депульпированы. И у 3х из них необходимо перелечивать каналы. Плюс у меня был ретенированый клык, после удаления которого два зуба до сих пор чувствительны (1.1 и 1.2) и скорее всего их тоже нужно депульпировать и пломбировать каналы. Плюс на одной из 7ок я обнаружила кариес между стенкой 6ки и 7ки. Я прикреплю снимок и хотела бы получить комментарии врачей, так как сама не профессионал и многое на этом снимке читать не умею. Какие зубы еще с кариесом? Возможно даже под пломбами и какие еще надо перелечивать? Ссылка на комментарий
anvladd Опубликовано 7 апреля, 2015 Поделиться Опубликовано 7 апреля, 2015 (изменено) здравствуйте,все 6ки я бы перебрал. Изменено 7 апреля, 2015 пользователем anvladd Ссылка на комментарий
Jason Fa Опубликовано 7 апреля, 2015 Автор Поделиться Опубликовано 7 апреля, 2015 Извините, а что значит перебрал? Ссылка на комментарий
shishok Опубликовано 7 апреля, 2015 Поделиться Опубликовано 7 апреля, 2015 Ну и восьмёрки удалить. Ссылка на комментарий
shishok Опубликовано 7 апреля, 2015 Поделиться Опубликовано 7 апреля, 2015 Извините, а что значит перебрал?Перелечить каналы. 1 Ссылка на комментарий
Jason Fa Опубликовано 7 апреля, 2015 Автор Поделиться Опубликовано 7 апреля, 2015 Да, я планирую перелечивать каналы. Еще вопрос:1) Есть ли кариес на 4ках и 5ках?2) можно ли ставить коронки через год после лечения каналов? Так как хочу убедиться, что лечение каналов дало выздоровление. Ссылка на комментарий
shishok Опубликовано 7 апреля, 2015 Поделиться Опубликовано 7 апреля, 2015 1)по снимку кариеса нет,но нужно смотреть в полости рта;2)контрольные снимки через 3 и 6 месяцев после лечения.Если есть положительная динамика,можно "короноваться". Ссылка на комментарий
Jason Fa Опубликовано 7 апреля, 2015 Автор Поделиться Опубликовано 7 апреля, 2015 1)по снимку кариеса нет,но нужно смотреть в полости рта;2)контрольные снимки через 3 и 6 месяцев после лечения.Если есть положительная динамика,можно "короноваться".А кариес на 7ке на снимке справа? Между двумя зубами. Видите? Ссылка на комментарий
shishok Опубликовано 7 апреля, 2015 Поделиться Опубликовано 7 апреля, 2015 Да,на 37 есть кариес на контактной поверхности. Ссылка на комментарий
Гарриевич Опубликовано 9 апреля, 2015 Поделиться Опубликовано 9 апреля, 2015 16 и 26 зубы нужно перелечивать (это верхние 6ки)46 нужен прицельный снимок (это правая нижняя 6ка)а вот в 36 зубе возможно перфорация корняна 37 зубе со стороны 36 кариеспо поводу верхних резцов нужны как минимум внутриротовые фото 1 Ссылка на комментарий
Dmitriy84 Опубликовано 9 апреля, 2015 Поделиться Опубликовано 9 апреля, 2015 Вас ортодонт на КТ направлял? Ссылка на комментарий
Jason Fa Опубликовано 10 апреля, 2015 Автор Поделиться Опубликовано 10 апреля, 2015 16 и 26 зубы нужно перелечивать (это верхние 6ки)46 нужен прицельный снимок (это правая нижняя 6ка)а вот в 36 зубе возможно перфорация корняна 37 зубе со стороны 36 кариеспо поводу верхних резцов нужны как минимум внутриротовые фотоСпасибо! На 36 перфорация да Ссылка на комментарий
Jason Fa Опубликовано 10 апреля, 2015 Автор Поделиться Опубликовано 10 апреля, 2015 Вас ортодонт на КТ направлял?Да. И хирург чтобы понять как лежит клык. Ссылка на комментарий
Рекомендуемые сообщения
Для публикации сообщений создайте учётную запись или авторизуйтесь
Вы должны быть пользователем, чтобы оставить комментарий
Создать аккаунт
Зарегистрируйте новый аккаунт в нашем сообществе. Это очень просто!
Регистрация нового пользователяВойти
Уже есть аккаунт? Войти в систему.
Войти