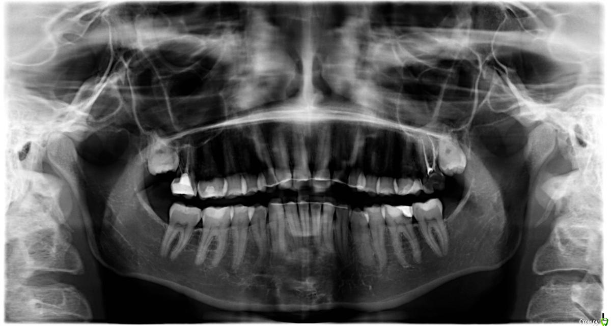
neuromancer Опубликовано 2 апреля, 2015 Поделиться Опубликовано 2 апреля, 2015 Здравствуйте!Болит верхний крайний правый зуб с задней стороны при чистке зубов. Каналы в нем пролечены очень давно (больше 6 лет назад). Один стоматолог говорила, что проблема может быть в самой пломбе и десне (зуб трогать не надо), второй сделала снимок и советует только удаление и протезирование. Я больше доверяю второму, но хочу уточнить, нельзя ли сохранить зуб? И если нельзя, как срочно нужно удалять? Хотелось бы хотя бы полгода проходить без протезирования, так как долечивать, возможно, придется уже в другом городе. Ссылка на комментарий
Гарриевич Опубликовано 2 апреля, 2015 Поделиться Опубликовано 2 апреля, 2015 (изменено) Сделайте прицельный снимок интересующего зуба Изменено 2 апреля, 2015 пользователем Гарриевич Ссылка на комментарий
Рекомендуемые сообщения
Для публикации сообщений создайте учётную запись или авторизуйтесь
Вы должны быть пользователем, чтобы оставить комментарий
Создать аккаунт
Зарегистрируйте новый аккаунт в нашем сообществе. Это очень просто!
Регистрация нового пользователяВойти
Уже есть аккаунт? Войти в систему.
Войти