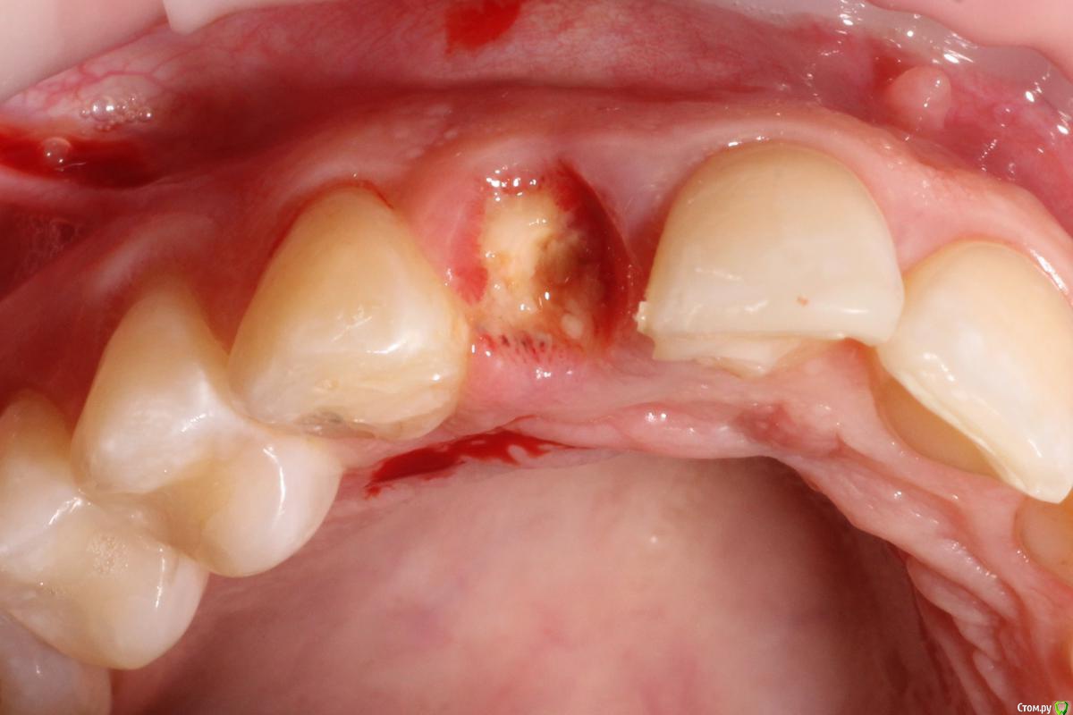
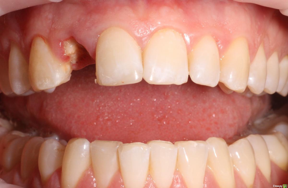
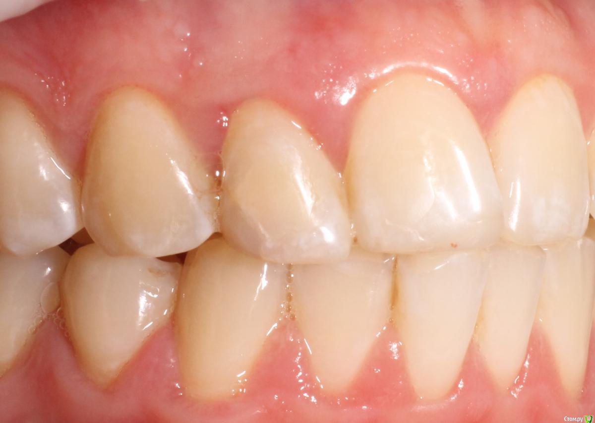
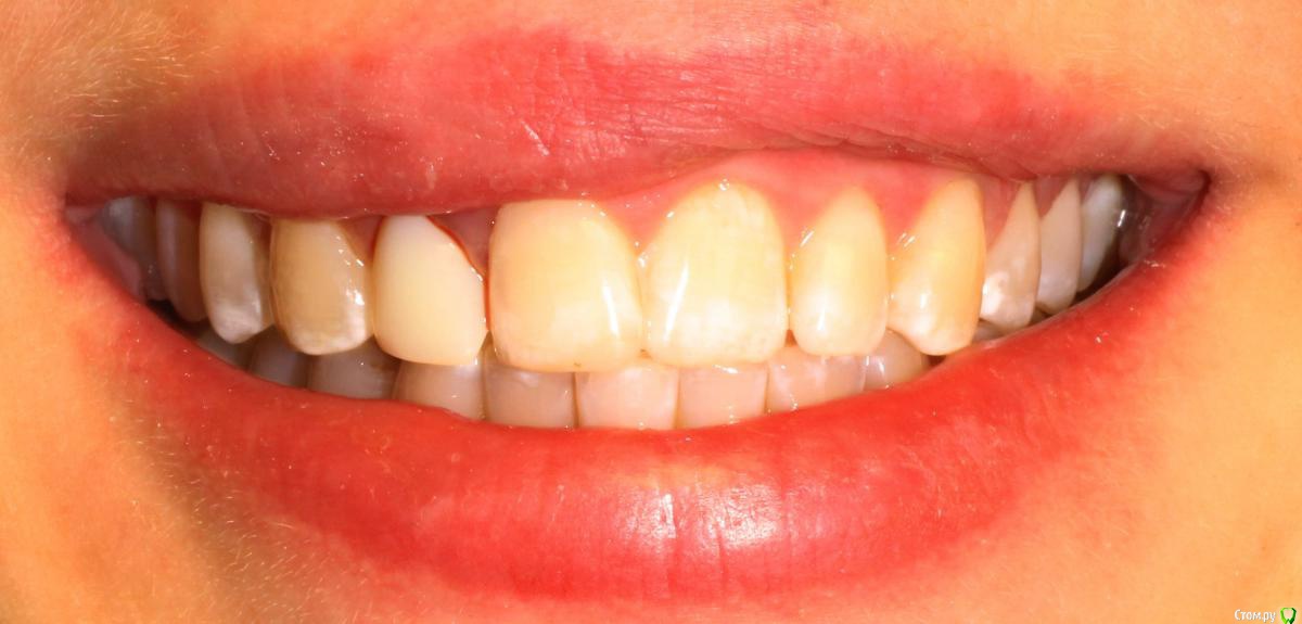
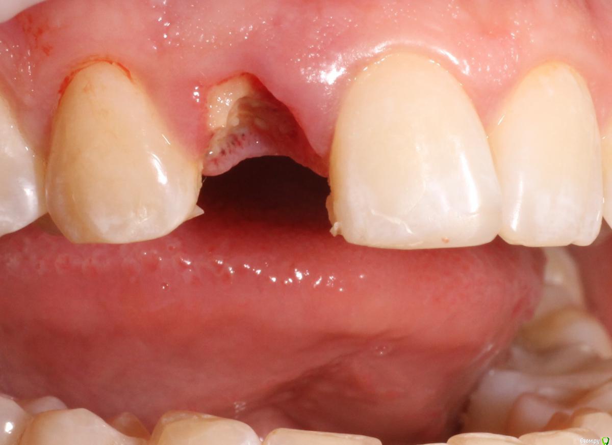
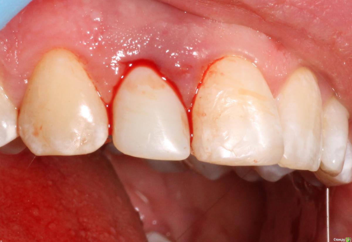
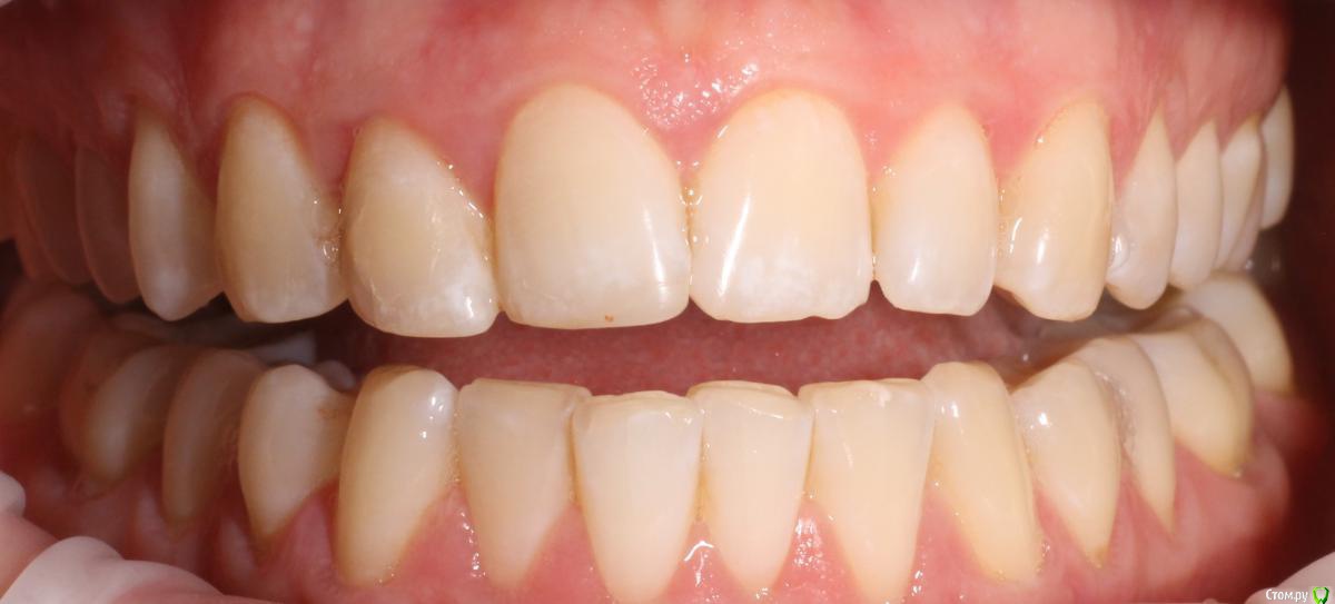
MenshikovDV Опубликовано 2 апреля, 2015 Поделиться Опубликовано 2 апреля, 2015 (изменено) Зуб 1.2 отлом коронковой части зуба, на период ожидания приема у хирурга и ортопеда (2 дня) приклеен к соседям. Вся процедура в одно посещение. Где-то часа два. Я ортопед, хирургия не моя, фото мои Изменено 2 апреля, 2015 пользователем MenshikovDV 19 Ссылка на комментарий
an_ver Опубликовано 2 апреля, 2015 Поделиться Опубликовано 2 апреля, 2015 SPI? В лунку что нибудь кидали во время установки? Ссылка на комментарий
MenshikovDV Опубликовано 2 апреля, 2015 Автор Поделиться Опубликовано 2 апреля, 2015 Нет, ничего не кидали. Ссылка на комментарий
Lolopop Опубликовано 3 апреля, 2015 Поделиться Опубликовано 3 апреля, 2015 альфабио?)))какой торк получили? Ссылка на комментарий
АнтонТЛТ Опубликовано 4 апреля, 2015 Поделиться Опубликовано 4 апреля, 2015 Судя по фото Alpha bio SPI, торк около 40 Ссылка на комментарий
MenshikovDV Опубликовано 5 апреля, 2015 Автор Поделиться Опубликовано 5 апреля, 2015 торк намного больше 40 Ссылка на комментарий
Aquarius Опубликовано 5 апреля, 2015 Поделиться Опубликовано 5 апреля, 2015 в такую дыру лучше что-нибудь кинуть, имхо. Ссылка на комментарий
Alexey Doc Опубликовано 5 апреля, 2015 Поделиться Опубликовано 5 апреля, 2015 Класс! Аккуратно сработали!Единственно, думаю что аугментации была бы желательна. Ссылка на комментарий
Brigita Опубликовано 5 апреля, 2015 Поделиться Опубликовано 5 апреля, 2015 на удаленном зубе какая то железячка хвостиком торчит))) Ссылка на комментарий
Saymon Опубликовано 6 апреля, 2015 Поделиться Опубликовано 6 апреля, 2015 на удаленном зубе какая то железячка хвостиком торчит)))Все нормально. Это WI-FI антенна. 4 Ссылка на комментарий
MenshikovDV Опубликовано 7 апреля, 2015 Автор Поделиться Опубликовано 7 апреля, 2015 ИНСТРУМЕНТ сломан в канале )) Ссылка на комментарий
MenshikovDV Опубликовано 7 апреля, 2015 Автор Поделиться Опубликовано 7 апреля, 2015 Класс! Аккуратно сработали!Единственно, думаю что аугментации была бы желательна.Спасибо.Время покажет. Ссылка на комментарий
Рекомендуемые сообщения
Для публикации сообщений создайте учётную запись или авторизуйтесь
Вы должны быть пользователем, чтобы оставить комментарий
Создать аккаунт
Зарегистрируйте новый аккаунт в нашем сообществе. Это очень просто!
Регистрация нового пользователяВойти
Уже есть аккаунт? Войти в систему.
Войти