Перейти к содержанию
Стоматология для всех

Красивая улыбка-мечта всей жизни.


Надежда123

Рекомендуемые сообщения

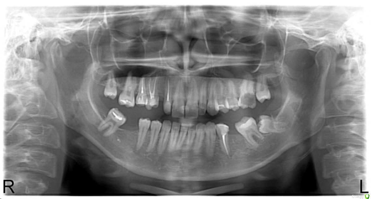
Добрый день! Посоветуйте пожалуйста, зубы необходимо лечить,перелечивать. Но так как стремлюсь к красивой улыбке,что лучше сделать? ставить импланты или коронки. Пока была только в одной клинике, они ужасались зубами, но сказали если я буду ходить каждый день они мне вылечат все быстро, недели за 2 максимум. И предлагали ставить почти на все зубы коронки. Почему-то меня это смущает, спиливать почти все зубы(в том числе и здоровые) боязно... Сейчас сделают красиво,а лет через 5-10 мне что делать... Возможно я и ошибаюсь, прошу квалифицированной помощи. Снимок прилагаю.

post-42690-0-22187200-1427980455_thumb.jpg

Ссылка на комментарий

Здравствуйте, ваше желание вполне осуществимо. Для этого Вам понадобиться команда врачей, которая разработает и осуществит комплексный план реабилитации. 

Если судить только по вашему снимку:

1. Удаление 3.8 (мудрый зуб снизу слева) и возможно 2.6

2.Ортодонтическое лечение

3. Имплантация

4. Протезирование 1.5 1.4 1.2 3.4 и имплантов

  • Поддерживаю 2
Ссылка на комментарий

Для публикации сообщений создайте учётную запись или авторизуйтесь

Вы должны быть пользователем, чтобы оставить комментарий

Создать аккаунт

Зарегистрируйте новый аккаунт в нашем сообществе. Это очень просто!

Регистрация нового пользователя

Войти

Уже есть аккаунт? Войти в систему.

Войти
×
×
  • Создать...
Вверх