натg Опубликовано 2 апреля, 2015 Поделиться Опубликовано 2 апреля, 2015 (изменено) Здравствуйте, веду спор с врачем. Уменя большая дырка в по-моему 6 зубе внизу, врач ставит на эту дырку 2 пломбы из 2 кусков, они , эти куски, находятся рядом. Получается так, что одна часть этой пломбы, которая прилепливается к другой части пломбы, поставленной отдельно в другое время, все время отпадает, тогда врач ее долепливает. Я требовала заменить пломбу из 2 кусков цельной, чтобы не было отпадения куска, но врач говорит- это хороший материал, дырка большая, показана коронка, скажите спасибо, что я соглашаюсь ставить пломбу. Вот уже второй год хожу с этим зубом, и эта часть, которую долепливают, отпадает раз в пол-года, ее прилепливают опять. Сейчас она опять отпала. Вопрос- целесообразны ли действия врача, который вместо того, чтобы поставить цельную, долепливает? Пломба большая на жевательной поверхности, отпадает точно по месту прилепливания. На пломбу большое давление, я не понимаю, почему не ставит цельную? Смысла в коронке не вижу, так как я так понимаю, это никогда не поздно сделать. Канал запломбирован в этом зубе, или их там два, точно не помню, это второй квадратноватый, если смотреть спереди, внизу. Объясните пожалуйста, в чем смысл коронки, ведь для этого надо обточить весь зуб, а это можно всегда успеть сделать? Помоему, 2 пломбы рядом прилепленые только снижают прочность конструкции. На фото старый снимок, около 1.5 лет. Почему не хочу делать коронку- на фото возле конца одного канала внизу странное пятно, советовали ждать, что там будет, говорили, что там что-то непонятное, подозрительное. Что касается ситуации с разрушением зуба сейчас- передняя его стенка, та, что ближе к передним зубам, сломалась. Почему не хочу коронку- дорого и непонятно, чем закончится то, что на конце канала, потом туда лезть снимать коронку и все переделывать будет сложно. В раздумиях хожу уже неделю с дыркой на ползуба, остальная половина зуба с пломбой, если ли вероятность распломбировки каналов, пока хожу ищу консультанта? Изменено 2 апреля, 2015 пользователем натg Ссылка на комментарий
red_butler Опубликовано 2 апреля, 2015 Поделиться Опубликовано 2 апреля, 2015 http://forum.stom.ru/topic/20613-sovety-patcientam-obiazatelno-k-prochteniiu/http://forum.stom.ru/topic/2813-obiazatelno-k-prochteniiu/ показана коронка возможно ответы кроются в этом Ссылка на комментарий
Гарриевич Опубликовано 2 апреля, 2015 Поделиться Опубликовано 2 апреля, 2015 по снимку зуб нужно покрывать коронкойв противном случае рискуете вообще его потерять 2 Ссылка на комментарий
red_butler Опубликовано 2 апреля, 2015 Поделиться Опубликовано 2 апреля, 2015 Прикрепили снимок, теперь все встало на свои места. Требуется повторное лечение корневых каналов с последующим протезированием корневой вкладкой и коронкой.Слушайте своего врача Ссылка на комментарий
натg Опубликовано 2 апреля, 2015 Автор Поделиться Опубликовано 2 апреля, 2015 (изменено) а за счет чего он потеряется без коронки, он в одинаковом состоянии уже год, только кусок пломбы выпадает? Перелечивать каналы никто не предлагал, наверное мне надо делать новый снимок. Еще на другом зубе мне делали депофорез, он здесь нужен? Изменено 2 апреля, 2015 пользователем натg Ссылка на комментарий
red_butler Опубликовано 2 апреля, 2015 Поделиться Опубликовано 2 апреля, 2015 а за счет чего он потеряется без коронки, он в одинаковом состоянии уже год, только кусок пломбы выпадает? перелом или кариес Еще на другом зубе мне делали депофорез, он здесь нужен? нет Ссылка на комментарий
натg Опубликовано 2 апреля, 2015 Автор Поделиться Опубликовано 2 апреля, 2015 каналы ровные на снимке, я так вижу, мне никто их перелечивать не предлагал, если они до сих пор ровные какой смысл перелечивать7 Ссылка на комментарий
red_butler Опубликовано 2 апреля, 2015 Поделиться Опубликовано 2 апреля, 2015 каналы ровные на снимке, я так вижу, мне никто их перелечивать не предлагал, если они до сих пор ровные какой смысл перелечивать7в области верхушки одного из корней воспалительный очаг, это может быть следствием инфекции в корневом канале, если хотите сохранить зуб - перелечивайте Ссылка на комментарий
натg Опубликовано 2 апреля, 2015 Автор Поделиться Опубликовано 2 апреля, 2015 так может сделать там депофорез, ведь я так читала это единственный метод стерилизации, чтобы лезть туда один раз? Я живу в Киеве, в другом зубе депофорез делала, самостоятельно убедив врачей, что он там нужен, тоесть я не верю в то, что в случае чего кто-то будет снимать коронку и лезть туда еще раз. Таких желающих не найдется, правда, если надо будет хирург, то можно будет легко то место сделать, тут хирургическое удаление гранулемы очень развито и успешно делается. Ссылка на комментарий
DmitrySH Опубликовано 2 апреля, 2015 Поделиться Опубликовано 2 апреля, 2015 Извините, ерундой занимаетесь 2 Ссылка на комментарий
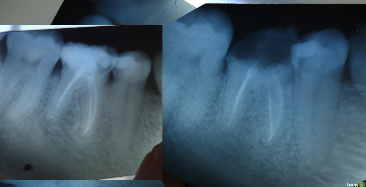
натg Опубликовано 21 апреля, 2015 Автор Поделиться Опубликовано 21 апреля, 2015 (изменено) Здравствуйте снова. Теперь возникла такая картинка- слева- зуб пол-года назад, справа - сейчас. Возник вопрос, что делать с корнем. Корень. под которым проблема, один. Предлагается его распломбировать методом Praf размягчитель , слелать в нем депофорез. Но говорят, это опасно, так как инструмент может сломаться, и еще есть вариант что корень не распломбируется. Еще говорят, что от распломбирования может быть обострение процесса и ухудшение. А если не распломбировать, простоит 10 лет максимум. Говорят, что если не удастся распломбировать, другого метода нет.Правда, говорят что через 10 лет может изобретут что-то. Для удешевления процесса предлагается распломбировывать и переделывать один канал, а не все три.. Что посоветуете? Какова, по Вашему мнению, вероятность, что распломбируется? Стоит ли туда лезть? Про шу не писать глубокомысленных замечаний, типа - глупостями занимаетесь и тд... Не тратьте свое время, на то, чтобы показать, что у меня нет диплома стоматолога, это и так очевидно.. Спасибо. фото возможно, некачественое, снимала фотиком.. Изменено 21 апреля, 2015 пользователем натg Ссылка на комментарий
St. Опубликовано 21 апреля, 2015 Поделиться Опубликовано 21 апреля, 2015 Если нет трещин по корню, то пытаться распломбировать ВСЕ каналы, и перепломбировать заново. Без депофореза. Вероятность успеха где-то 50/50. Потом коронка.Ничего не делая Вы гарантированно придете к удалению. Ссылка на комментарий
натg Опубликовано 21 апреля, 2015 Автор Поделиться Опубликовано 21 апреля, 2015 (изменено) а как узнать о трещинах? а почему все?все очень дорого будет. а как узнать, есть ли трещина?почитала симптоматику трещины- у меня нет никаких ощущений боли и тд.. Изменено 21 апреля, 2015 пользователем натg Ссылка на комментарий
St. Опубликовано 21 апреля, 2015 Поделиться Опубликовано 21 апреля, 2015 То что таких симптомов нет - это хорошо. Трещины ищет врач зрительно когда начинает лечить Ваш зуб. Перелечивая все каналы получается более прогнрзируемый положительный результат. Поскольку пломба на зубе была негерметична, а сейчас как я понимаю её совсем нет в другие каналы могли попасть микробы. И соответственно потом спровоцировать обострение. Ссылка на комментарий
Гарриевич Опубликовано 21 апреля, 2015 Поделиться Опубликовано 21 апреля, 2015 Куда пломбу деди? Стоматолог убирал? Ссылка на комментарий
Zlata-doctor Опубликовано 11 мая, 2015 Поделиться Опубликовано 11 мая, 2015 1. Повторное эндолечение шестого зуба ( там есть очаг воспаления-это очевидно). Ищите хорошего эндодонтиста, если хотите иметь этот зуб. 2. Протезирование шестого зуба3. На первом снимке довольно большая полость 5 зуба ( живого), пораженная поверхность контактирует с 6 зубом, на втором снимке этой полости не видно, возможно потому, что снимок сделан с другого ракурса--еще раз сделать качественный снимок и подтвердить или опровергнуть мое предположение.4. Что вас заставляет спорить, как вы пишите, с врачом и упорно ходить "долепливать" одну и ту-же проблему? Ссылка на комментарий
Рекомендуемые сообщения
Для публикации сообщений создайте учётную запись или авторизуйтесь
Вы должны быть пользователем, чтобы оставить комментарий
Создать аккаунт
Зарегистрируйте новый аккаунт в нашем сообществе. Это очень просто!
Регистрация нового пользователяВойти
Уже есть аккаунт? Войти в систему.
Войти