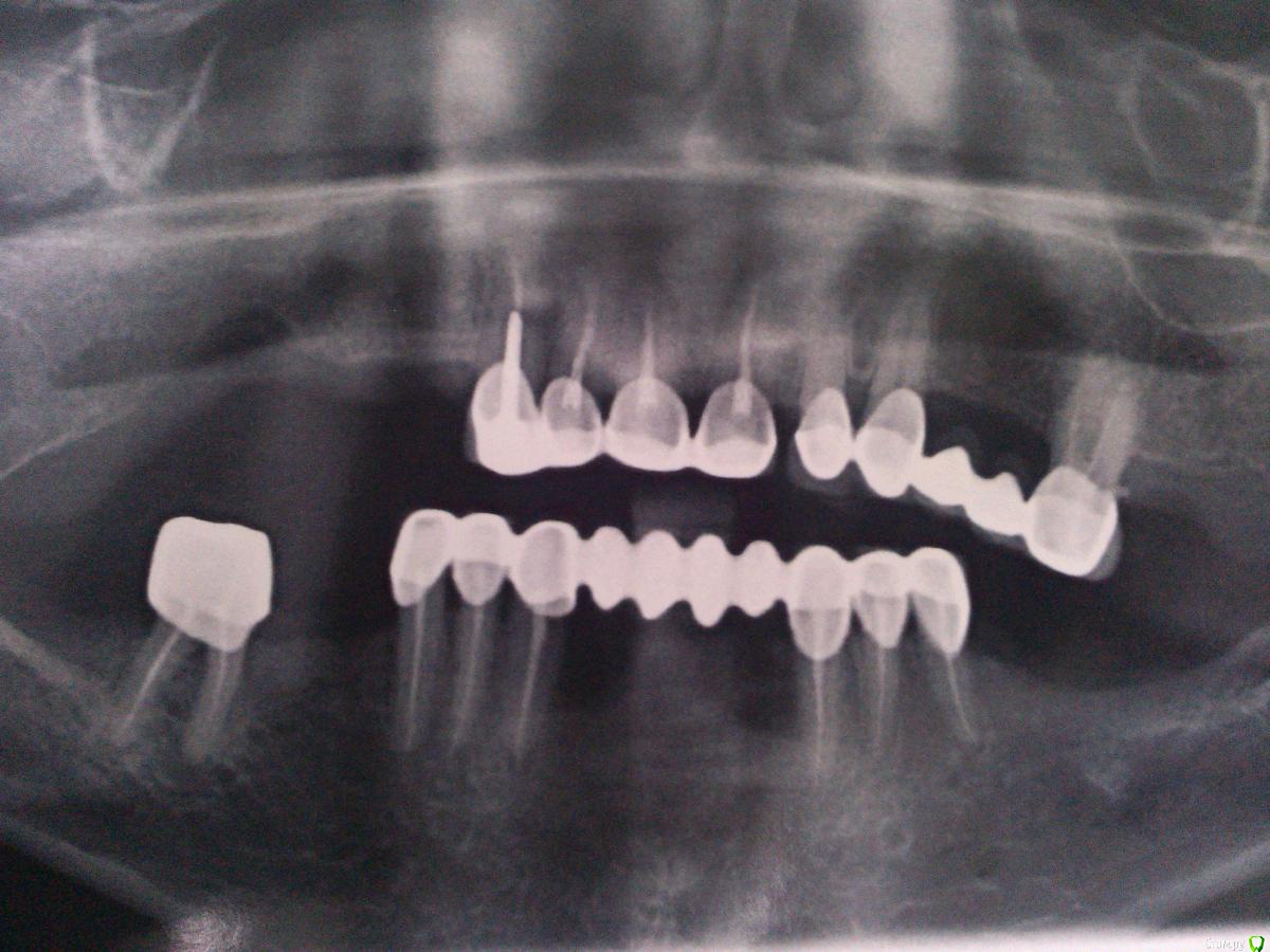
Невероятный Алк2 Опубликовано 31 марта, 2015 Поделиться Опубликовано 31 марта, 2015 Помогите спланировать план лечения. Пациентка протезировалась больше года назад в другом городе. Была у меня на консультации где то пол года назад, на тот момент были жалобы на то что зубы не смыкаются (фото тогда не делал). при осмотре была небольшая прогения и небольшая шель в области зубов 2.3 2.4 и 3.3 3.4. подкорректировал немного по прикусу по прикуссу и отпустил. вот она появилась снова утверждая что нижние зубы выдвигаются вперед. при осмотре то что на фото (за качество извините фоткал на телефон). пациентка хочет все переделать чтобы было красиво. у меня затруднения с выбором конструкции. если кто то что то посоветует, буду очень признателен. заранее спасибо. Ссылка на комментарий
-SAE-Dantist_32 Опубликовано 31 марта, 2015 Поделиться Опубликовано 31 марта, 2015 можно нейлон попробовать вместо пластмассовых,или имплантация Ссылка на комментарий
Doc Опубликовано 31 марта, 2015 Поделиться Опубликовано 31 марта, 2015 Помогите спланировать план лечения. Пациентка протезировалась больше года назад в другом городе. Была у меня на консультации где то пол года назад, на тот момент были жалобы на то что зубы не смыкаются (фото тогда не делал). при осмотре была небольшая прогения и небольшая шель в области зубов 2.3 2.4 и 3.3 3.4. подкорректировал немного по прикусу по прикуссу и отпустил. вот она появилась снова утверждая что нижние зубы выдвигаются вперед. при осмотре то что на фото (за качество извините фоткал на телефон). пациентка хочет все переделать чтобы было красиво. у меня затруднения с выбором конструкции. если кто то что то посоветует, буду очень признателен. заранее спасибо.Какого возраста девушка? Есть ли финансовые ограничения? Готова ли на полную переделку всего рта? Есть ли возможность имплантации или рассматривается только старое традиционное лечение? Есть хороший ортодонт рядом? Ссылка на комментарий
Doc Опубликовано 31 марта, 2015 Поделиться Опубликовано 31 марта, 2015 Посмотрев на Ваш никнейм возник еще один существенный вопрос: выдержит ли доктор длительное лечение и не уйдет ли в запой? 5 Ссылка на комментарий
Невероятный Алк2 Опубликовано 1 апреля, 2015 Автор Поделиться Опубликовано 1 апреля, 2015 Посмотрев на Ваш никнейм возник еще один существенный вопрос: выдержит ли доктор длительное лечение и не уйдет ли в запой? Ну если только с горя, от мысли что не смог помочь пациенту. Ник конечно не очень, фантазии на большее не хватило)) Ссылка на комментарий
Невероятный Алк2 Опубликовано 1 апреля, 2015 Автор Поделиться Опубликовано 1 апреля, 2015 Какого возраста девушка? Есть ли финансовые ограничения? Готова ли на полную переделку всего рта? Есть ли возможность имплантации или рассматривается только старое традиционное лечение? Есть хороший ортодонт рядом?1. Пациентка 54 года рождения.2. Вариант скорее больше бюджетный.3. По поводу переделки всего, от пациентки поступило предложение удалить весь низ и сделать полный съемный. Посоветовал ей не рубить с плеча.4. По поводу имплантации не разговаривали, но скорее нет чем да из финансовых соображений.5. Ортодонта не плохого найти можно если потребуется. Ссылка на комментарий
Doc Опубликовано 1 апреля, 2015 Поделиться Опубликовано 1 апреля, 2015 Понятно. Тогда для начала надо бы понять откуда такая прогения. По снимку не понять, то ли челюсть выдвинула, то ли запротезировали неправильно, то ли по жизни такая. Потому начать с определения правильного положения, сделать времянки или капу, перепрограммировать, потом протезировать. Внизу удалять все я бы не стал. Полный съемный это не подарок, тем более зубов хватает. Семерку да, пора вроде убрать, там бифуркации нет, а остальные под коронки и бюгель, либо просто съемный. Вверху та же история - смотреть что живет, что нет, потом коронки и съемный или бюгельный, в зависимости от финансовых возможностей пациентки. Из бюджетного без имплантации тут особо ничего не придумаешь. Ссылка на комментарий
Невероятный Алк2 Опубликовано 1 апреля, 2015 Автор Поделиться Опубликовано 1 апреля, 2015 Ну челюсть точно не выдвинула, это положение в центральной окклюзии. Doc, извинити если вдруг спрошу глупость, но что вы имеет в виду говоря перепрограммировать? Ссылка на комментарий
Невероятный Алк2 Опубликовано 1 апреля, 2015 Автор Поделиться Опубликовано 1 апреля, 2015 А если с помощью ортодонта вернуть нижние зубы на место? Просто визуально определяется сильный ноклон нижних зубов вестибулярно. Видимо доктор который протезировал пытался вывести параллели путем сильной обработки с вестибулярной поверхности. Ссылка на комментарий
Doc Опубликовано 1 апреля, 2015 Поделиться Опубликовано 1 апреля, 2015 Ну челюсть точно не выдвинула, это положение в центральной окклюзии. Doc, извинити если вдруг спрошу глупость, но что вы имеет в виду говоря перепрограммировать?Просто если челюсть была не в том положении (выдвинута, либо по высоте занижена, либо как-то еще скособочена), то лучше после любого изменения ее положения так сказать "перепрограммировать" мышечный рефлекс, дать походить с каппой, либо с времянками. Обычно наш ортодонт на это не меньше двух месяцев требует, иногда и дольше, до шести. Иначе если сразу поставить в новое положение, то неизвестно как она отреагирует, может поколоть с перепугу все зубы, да и мышечные боли могут начаться с непривычки. Если хотите подробностей, то про это лучше Скипа расспрашивать, он в этих делах специалист, а мне ортодонт уже готовых пациентов отдает. Ссылка на комментарий
Doc Опубликовано 1 апреля, 2015 Поделиться Опубликовано 1 апреля, 2015 А если с помощью ортодонта вернуть нижние зубы на место? Просто визуально определяется сильный ноклон нижних зубов вестибулярно. Видимо доктор который протезировал пытался вывести параллели путем сильной обработки с вестибулярной поверхности.Если "девушко" 1954 года рождения, с проблемами в финансовом плане, то вряд ли она на это пойдет. Кроме того, там зацепиться особо не за что, чтобы эти зубы тянуть, только если импланты поставить для анкоража. Ну а импланты это опять другой уровень цен. Ссылка на комментарий
Doc Опубликовано 1 апреля, 2015 Поделиться Опубликовано 1 апреля, 2015 Если только все зубы под вкладки и вкладками изменить направление. Это реально сделать, но зубы жалко. Правда они итак дохлые. Ссылка на комментарий
Невероятный Алк2 Опубликовано 1 апреля, 2015 Автор Поделиться Опубликовано 1 апреля, 2015 Просто если челюсть была не в том положении (выдвинута, либо по высоте занижена, либо как-то еще скособочена), то лучше после любого изменения ее положения так сказать "перепрограммировать" мышечный рефлекс, дать походить с каппой, либо с времянками. Обычно наш ортодонт на это не меньше двух месяцев требует, иногда и дольше, до шести. Иначе если сразу поставить в новое положение, то неизвестно как она отреагирует, может поколоть с перепугу все зубы, да и мышечные боли могут начаться с непривычки. Если хотите подробностей, то про это лучше Скипа расспрашивать, он в этих делах специалист, а мне ортодонт уже готовых пациентов отдает. Я правильно вас понимаю, каппа делается после снятия коронок и изготовления времянок и ее делает ортодонт? Ссылка на комментарий
Skip Опубликовано 1 апреля, 2015 Поделиться Опубликовано 1 апреля, 2015 Я правильно вас понимаю, каппа делается после снятия коронок и изготовления времянок и ее делает ортодонт? Я бы не стал сейчас ничего снимать, а сделал бы ортотик (капу) прям на существующем нижнем съёмном протезе. Одно дело смотреть вот на такое соотношение зубных рядов и планировать лечение: http://i11.pixs.ru/storage/0/4/0/DSC1213kop_5337334_16745040.jpg Или уже вот в таком соотношении: http://i11.pixs.ru/storage/0/5/0/DSC1190kop_5504928_16745050.jpg 1 Ссылка на комментарий
Невероятный Алк2 Опубликовано 1 апреля, 2015 Автор Поделиться Опубликовано 1 апреля, 2015 А если рассмотреть вариант имплантации? какие тут могут быть варианты? пациентка скорее всего не потянет это, но просто интересны все возможные варианты? заранее спасибо. Ссылка на комментарий
Doc Опубликовано 1 апреля, 2015 Поделиться Опубликовано 1 апреля, 2015 Ну, если денег не считать, то справа вверху 3-4 импланта и слева вверху 2-3. Потом кругом коронки-мосты.Внизу два варианта вижу:1. Поставить два по центру и по два справа-слева, потом протезировать все коронками.2. Все снести и тогда еще два варианта: а). Все на четырех (делится еще на два варианта: х) балка и съемный, у) классический все на четырех); б). несъемный на шести имплантах. Ну, это кратко Ссылка на комментарий
Невероятный Алк2 Опубликовано 2 апреля, 2015 Автор Поделиться Опубликовано 2 апреля, 2015 Ну, если денег не считать, то справа вверху 3-4 импланта и слева вверху 2-3. Потом кругом коронки-мосты.Внизу два варианта вижу:1. Поставить два по центру и по два справа-слева, потом протезировать все коронками.2. Все снести и тогда еще два варианта: а). Все на четырех (делится еще на два варианта: х) балка и съемный, у) классический все на четырех); б). несъемный на шести имплантах. Ну, это кратко Вас понял, приму к сведенью. Спасибо за ответы. Ссылка на комментарий
gum Опубликовано 11 апреля, 2015 Поделиться Опубликовано 11 апреля, 2015 Если не имплантаты и пациентка согласна на съемный протез рассмотрите вариант съемного протеза на телескопических коронках но нужно загипсованное модели и фото лица чтобы спланировать работу,. 1 Ссылка на комментарий
alekszander Опубликовано 13 апреля, 2015 Поделиться Опубликовано 13 апреля, 2015 +1 один за съемник на телескопах!1. времяшки - сняли старое - оценили количество тканей.2. здесь если все гуд, то ставил бы на свш, но нужно смотреть по направлению, DOC правильно сказал, что если менять направление, то только литьем. (боюсь, что центральные лкшв не выдержат и будет перелом). Как вариант их вообще под вынос, но тогда будет резорбция кости на соседних, тут снимите "шину" и увидите состояние пародонта, там решите сохранять или нет.3. 4.7 подвынос 100%4. делаете ПСП на телескопах объясняя ей, что в случае удаления зубов протез все равно будет тот же.5. После 3-4 месяцев проверяете прилегание и делаете перебазировку (как минимум в том месте где ушел 4.7. PS но сначала слепки+цо и скорее всего разговор с техником за кружечкой чая, на возможность сделать красиво (а там скорее всего воск+предварительная постановка - на которой вы и сможете показать пациентки будущий результат, дабы потом вы не оказались в похожей ситуации).Я бы делал так. Ссылка на комментарий
Рекомендуемые сообщения
Для публикации сообщений создайте учётную запись или авторизуйтесь
Вы должны быть пользователем, чтобы оставить комментарий
Создать аккаунт
Зарегистрируйте новый аккаунт в нашем сообществе. Это очень просто!
Регистрация нового пользователяВойти
Уже есть аккаунт? Войти в систему.
Войти