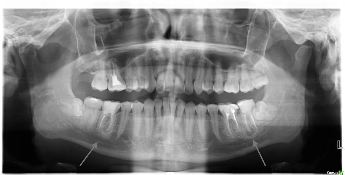
rdin Опубликовано 29 марта, 2015 Поделиться Опубликовано 29 марта, 2015 (изменено) Здравствуйте, уважаемые специалисты! Подобный проект - большое благо для людей. Буду безмерно счастлив, если получу вашу экспертную оценку о моей ситуации. Чтобы я не сделал фатальной ошибки. Года четыре назад пролечил в городской поликлинике несколько зубов. Через год один зуб начал беспокоить и я обратился в платную клинику, в которой мне сделали снимок, показав воспаление вокруг канала. Меня сразу напугали - зуб нужно обязательно удалять. Я вернулся к своему врачу, которая сказала, что увы, от этого воспаления никуда не деться, но это не так критично и если сильно не беспокоит, проще забыть - люди всю жизнь живут с этим воспалением и всё хорошо. Со временем зуб перестал болеть и я забыл про эту проблему, доверившись врачу. Спустя продолжительное время меня периодически стали беспокоить зубы (иногда есть реакция на холодное и горячее). Сегодня я сходил в коммерческую поликлинику, в которой мне сделали панорамный снимок. Воспаление как было, так и осталось - более того, мне кажется, что оно стало больше (прошлых снимков не сохранилось). К еще большему несчастью, у врача имеются подозрения на воспаления каналов у еще двух зубов. Её заключение - можно забить, но лучше все же постараться сохранить зуб, сделав лечение под микроскопом. При этом никто не гарантирует сохранность зуба, вероятность его потери велика, тем более он уже весь перелечен. Когда она узнала о моих планах на брекеты, предложила обратиться к ортодонту, который, возможно, сможет вывести зубы мудрости на место удаленных жевательных зубов, но такая вероятность так же мала из-за очень криво растущих зубов мудрости (которые я собираюсь удалять). За лечение зуба под микроскопом мне объявили 5000 рублей за 1 канал (на каждый зуб до 4 каналов) - это очень внушительная сумма для меня, поэтому важно принять правильное решение, что делать с зубами. Итоговый вопрос мне сложно сформулировать.Я прошу взглянуть на снимок и оценить состояние воспаления каналов. В итоге 2 или 3 восполенных зуба:Что делать с воспалениями? Забить? Лечить под микроскопом (какая цена адекватна?)? Сходить сначала к ортодонту и посоветоваться, возможно ли сдвинуть зубы мудрости? Или проще сразу удалить все зубы и копить денег на имплантанты?Заранее спасибо за вашу экспертную оценку. Я бы, конечно, хотел бы получить консультацию и о других проблемах, которые вы можете увидеть на снимке, но, пожалуй, это отдельная тема. P.S. Мне 25 лет. Изменено 29 марта, 2015 пользователем rdin Ссылка на комментарий
Гарриевич Опубликовано 29 марта, 2015 Поделиться Опубликовано 29 марта, 2015 (изменено) все Ваши проблемные зубы перелечиваемы без проблем простите за тавтологию микроскоп хорошо конечно, но достаточно и бинокуляров для этого случая) Изменено 29 марта, 2015 пользователем Гарриевич 2 Ссылка на комментарий
Гарриевич Опубликовано 29 марта, 2015 Поделиться Опубликовано 29 марта, 2015 забивать точно не нужно 1 Ссылка на комментарий
Saymon Опубликовано 30 марта, 2015 Поделиться Опубликовано 30 марта, 2015 (изменено) Зубы в любом случае можно попытаться сохранить.По поводу общих проблем:http://s018.radikal.ru/i525/1503/83/fd8d695032fe.jpg1. Оранжевый цвет - перелечивать каналы.2. Белый цвет - керамические реставрации.3. Красный цвет - удаление 8ых зубов.Для более четкого понимания плана лечения необходимо очная консультация + компьютерная томография. Изменено 30 марта, 2015 пользователем Saymon 4 Ссылка на комментарий
rdin Опубликовано 30 марта, 2015 Автор Поделиться Опубликовано 30 марта, 2015 (изменено) Большое спасибо! Успокоили А то все кричат, что нужно удалять...Буду думать, что делать дальше, и подумаю, где сделать. Зубы мудрости собирался удалять, всё верно. Изменено 30 марта, 2015 пользователем rdin Ссылка на комментарий
Рекомендуемые сообщения
Для публикации сообщений создайте учётную запись или авторизуйтесь
Вы должны быть пользователем, чтобы оставить комментарий
Создать аккаунт
Зарегистрируйте новый аккаунт в нашем сообществе. Это очень просто!
Регистрация нового пользователяВойти
Уже есть аккаунт? Войти в систему.
Войти