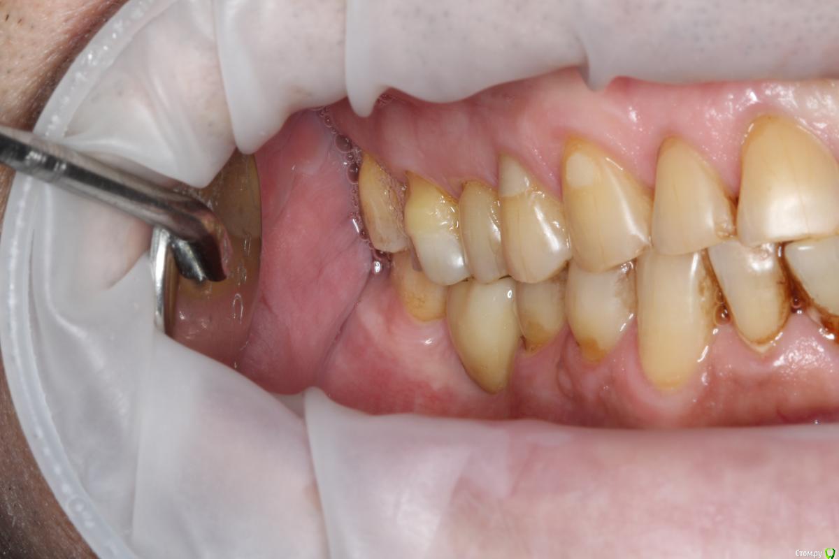
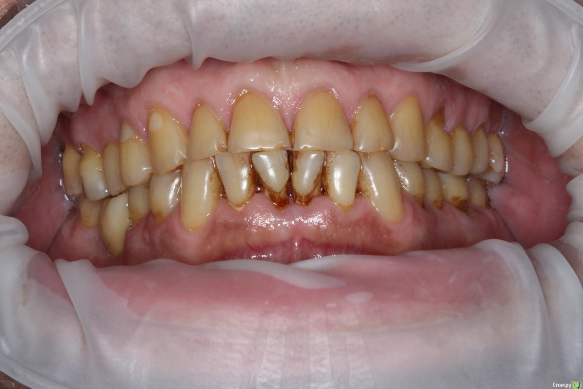
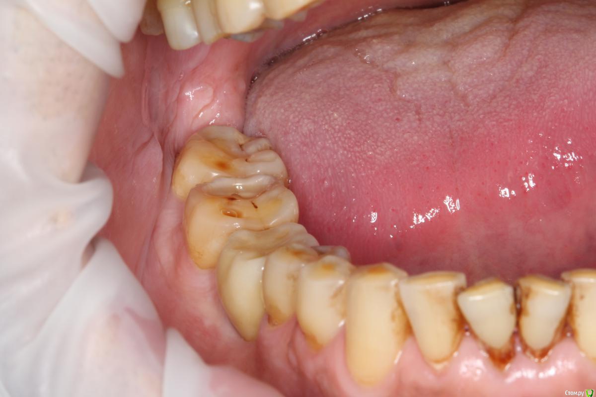
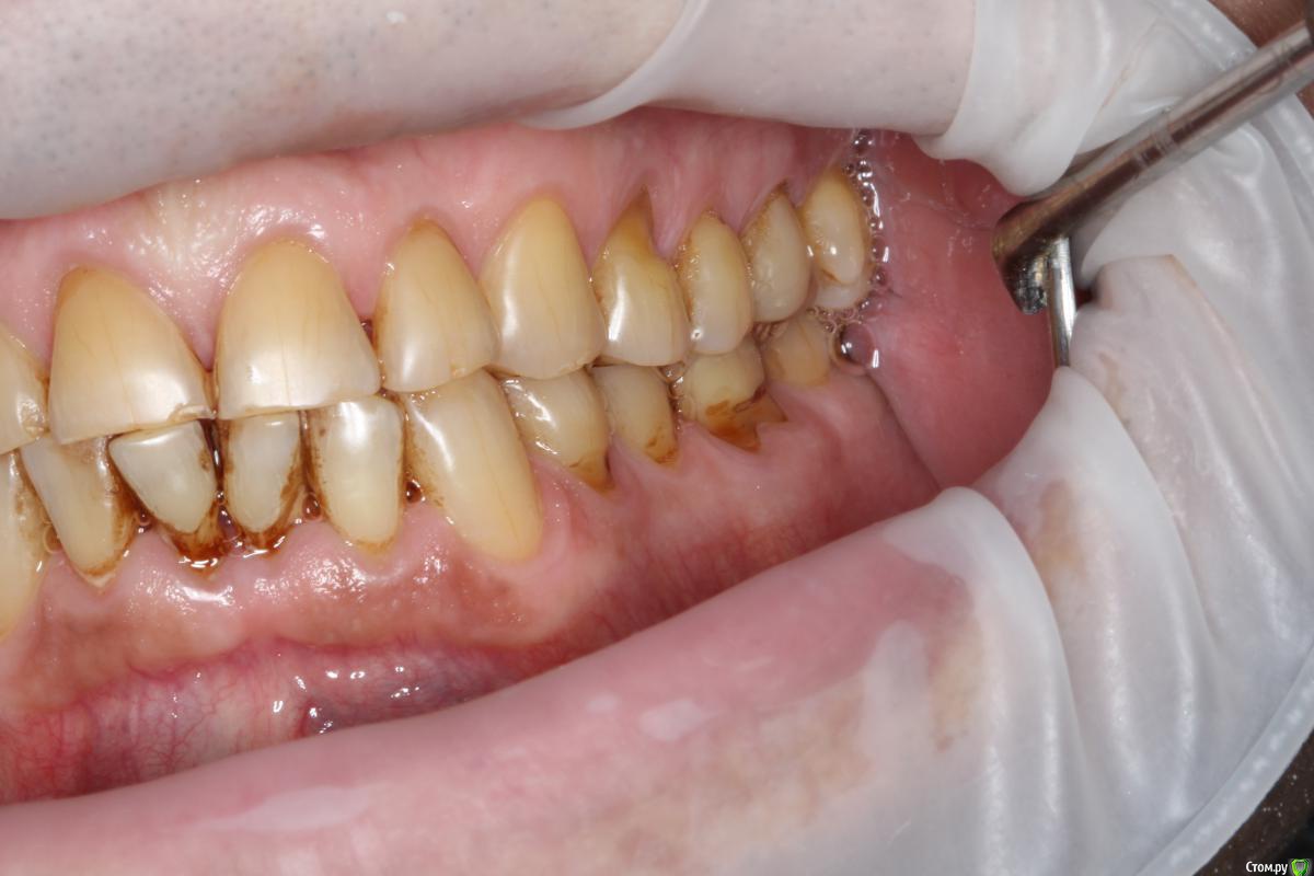
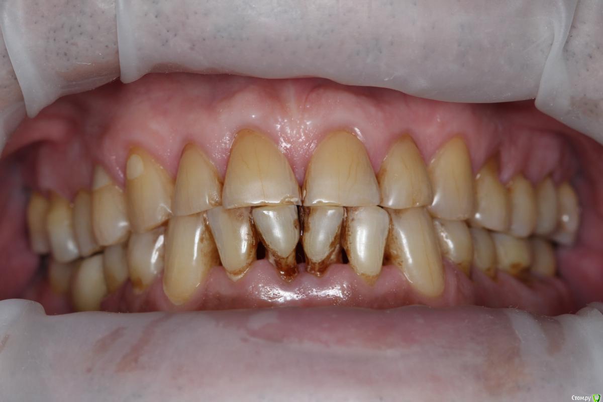
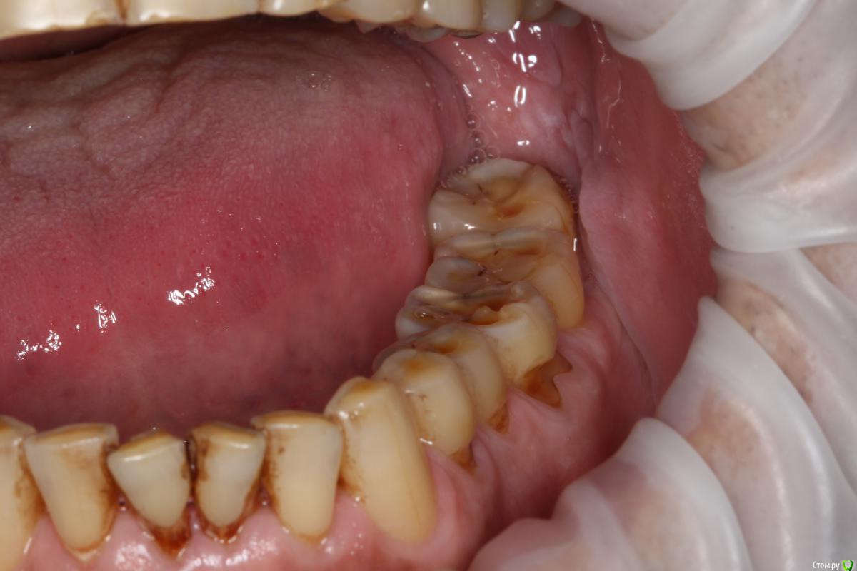
Robinbobin Опубликовано 27 марта, 2015 Поделиться Опубликовано 27 марта, 2015 (изменено) Пациент 57 лет с жалобами на стираемость зубов,чувствительность и бруксизм Хотелось бы услышать ваше мнение!!!! Изменено 27 марта, 2015 пользователем Robinbobin Ссылка на комментарий
4ebstom Опубликовано 27 марта, 2015 Поделиться Опубликовано 27 марта, 2015 Давайте уж лучше своим поделитесь сначала Ссылка на комментарий
Robinbobin Опубликовано 27 марта, 2015 Автор Поделиться Опубликовано 27 марта, 2015 Давайте уж лучше своим поделитесь сначала в планах сделать керамические жевательные и режущие края зубов Ссылка на комментарий
Евгений Ходыкин Опубликовано 27 марта, 2015 Поделиться Опубликовано 27 марта, 2015 1) Стабилизировать пародонт.2) Закрытие рецессий, где это возможно.3) Вакс + мокап.4) Временный тотал.5) Постоянный тотал. 1 Ссылка на комментарий
Robinbobin Опубликовано 27 марта, 2015 Автор Поделиться Опубликовано 27 марта, 2015 1) Стабилизировать пародонт.2) Закрытие рецессий, где это возможно.3) Вакс + мокап.4) Временный тотал.5) Постоянный тотал.Что говорится под словом тотал?Временный из какого материала ???постоянный тот же вопрос? Ссылка на комментарий
Евгений Ходыкин Опубликовано 27 марта, 2015 Поделиться Опубликовано 27 марта, 2015 Что говорится под словом тотал?Временный из какого материала ???постоянный тот же вопрос?Тотальное протезирование. Ссылка на комментарий
Robinbobin Опубликовано 27 марта, 2015 Автор Поделиться Опубликовано 27 марта, 2015 Тотальное протезирование. все под коронки? я правильно понимаю ? Ссылка на комментарий
Евгений Ходыкин Опубликовано 27 марта, 2015 Поделиться Опубликовано 27 марта, 2015 все под коронки? я правильно понимаю ?Под непрямые реставрации, скажем так) Ссылка на комментарий
molchanoff Опубликовано 27 марта, 2015 Поделиться Опубликовано 27 марта, 2015 Не ваш это пациент Ссылка на комментарий
Robinbobin Опубликовано 27 марта, 2015 Автор Поделиться Опубликовано 27 марта, 2015 Не ваш это пациентПочему? Ссылка на комментарий
molchanoff Опубликовано 27 марта, 2015 Поделиться Опубликовано 27 марта, 2015 Почему?потому что вы сомневаетесьвы вообще себе визуализировали план лечения? Ссылка на комментарий
krokomot Опубликовано 27 марта, 2015 Поделиться Опубликовано 27 марта, 2015 а с чем к вам этот пациент пришел с какой проблемой? Ссылка на комментарий
SDC Опубликовано 27 марта, 2015 Поделиться Опубликовано 27 марта, 2015 (изменено) в планах сделать керамические жевательные и режущие края зубовА я бы в 57-летнем возрасте настаивал на комбинированных, с золотой окклюзионной поверхностью коронках с кольцевой гирляндой на все моляры и безметалл на топ 20.удаление 8-х http://s020.radikal.ru/i712/1503/33/4e3a55681950.jpg http://s003.radikal.ru/i204/1503/2b/6265c6920c6f.jpg Изменено 27 марта, 2015 пользователем SDC Ссылка на комментарий
SDC Опубликовано 27 марта, 2015 Поделиться Опубликовано 27 марта, 2015 потому что вы сомневаетесьвы вообще себе визуализировали план лечения?Да ладно. Док, может быть, собирает мнения для улучшения плана. Ссылка на комментарий
4ebstom Опубликовано 27 марта, 2015 Поделиться Опубликовано 27 марта, 2015 В 57 лет я возможно ничего не сделал бы Ссылка на комментарий
Robinbobin Опубликовано 28 марта, 2015 Автор Поделиться Опубликовано 28 марта, 2015 Да ладно. Док, может быть, собирает мнения для улучшения плана.Все верно!!!))) я так и назвал тему))) Ссылка на комментарий
Robinbobin Опубликовано 28 марта, 2015 Автор Поделиться Опубликовано 28 марта, 2015 а с чем к вам этот пациент пришел с какой проблемой?С жалобами на стираемость,чувствительность зубов!!! Ссылка на комментарий
Robinbobin Опубликовано 28 марта, 2015 Автор Поделиться Опубликовано 28 марта, 2015 потому что вы сомневаетесьвы вообще себе визуализировали план лечения?На этот вопрос я кстати уже отвечал Ссылка на комментарий
DmitrySH Опубликовано 28 марта, 2015 Поделиться Опубликовано 28 марта, 2015 http://s003.radikal.ru/i204/1503/2b/6265c6920c6f.jpg Почему не цельнолитые? На молярах НЧ, в первую очередь, визуализируется жевательная поверхность. Эстетики от керамики вокруг, мы не получаем. В чем смысл? Ссылка на комментарий
carloss Опубликовано 28 марта, 2015 Поделиться Опубликовано 28 марта, 2015 А я бы в 57-летнем возрасте настаивал на комбинированных, с золотой окклюзионной поверхностью коронках с кольцевой гирляндой на все моляры и безметалл на топ 20.удаление 8-х http://s020.radikal.ru/i712/1503/33/4e3a55681950.jpg http://s003.radikal.ru/i204/1503/2b/6265c6920c6f.jpgсколы керамики тут обеспечены.. да и по эстетике, лучше уж цельнозолотые Ссылка на комментарий
SDC Опубликовано 28 марта, 2015 Поделиться Опубликовано 28 марта, 2015 (изменено) Почему не цельнолитые? На молярах НЧ, в первую очередь, визуализируется жевательная поверхность. Эстетики от керамики вокруг, мы не получаем. В чем смысл?дешевой керамикой и уменьшить вес дорогого золота. Изменено 28 марта, 2015 пользователем SDC Ссылка на комментарий
SDC Опубликовано 28 марта, 2015 Поделиться Опубликовано 28 марта, 2015 сколы керамики тут обеспечены.. да и по эстетике, лучше уж цельнозолотые От чего сколы? Ссылка на комментарий
molchanoff Опубликовано 28 марта, 2015 Поделиться Опубликовано 28 марта, 2015 блин а я подумал эти фото как прикола тут все серьезно Ссылка на комментарий
carloss Опубликовано 28 марта, 2015 Поделиться Опубликовано 28 марта, 2015 От чего сколы?от того, что керамика будет испытывать нагрузку на растяжение, а не сжатие.. на переходе керамики в золото.. на буграх.. да и если всё это затевается с целью пожизненного ношения, то золото в любом случае будет стираться больше.... Ссылка на комментарий
Robinbobin Опубликовано 28 марта, 2015 Автор Поделиться Опубликовано 28 марта, 2015 сколы керамики тут обеспечены.. да и по эстетике, лучше уж цельнозолотые Дело в том что пациент отказывается точить зубы и мы решили сделать оклюзионные накладки из прессовонной керамики Ссылка на комментарий
Рекомендуемые сообщения
Для публикации сообщений создайте учётную запись или авторизуйтесь
Вы должны быть пользователем, чтобы оставить комментарий
Создать аккаунт
Зарегистрируйте новый аккаунт в нашем сообществе. Это очень просто!
Регистрация нового пользователяВойти
Уже есть аккаунт? Войти в систему.
Войти