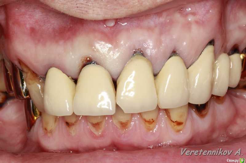
an_ver Опубликовано 26 марта, 2015 Поделиться Опубликовано 26 марта, 2015 (изменено) 11,12..11 трещина корня,вест.часть,12 рыхло все..сгнило.Убрал,кюретаж,11 вест. стенки нет на 2/3.Установил 11-4,2*13;12-3,75*13 мм..все Альфа.Мп3,мембрана эволюшн.11 заглушил,12-временный абатмент,коронка.Шил викрил 4,0. Фсе...пинайте Изменено 26 марта, 2015 пользователем an_ver 7 Ссылка на комментарий
Чертков Александр Опубликовано 26 марта, 2015 Поделиться Опубликовано 26 марта, 2015 Андрей, ну неужели у тебя нет более "гуманного" шовного ? Понравилось! Ссылка на комментарий
an_ver Опубликовано 26 марта, 2015 Автор Поделиться Опубликовано 26 марта, 2015 Андрей, ну неужели у тебя нет более "гуманного" шовного ? Понравилось! Да чет..не проконтролировал.А как в тему фотку добавить? зАбыл с винтами поставить Ссылка на комментарий
Чертков Александр Опубликовано 26 марта, 2015 Поделиться Опубликовано 26 марта, 2015 Попробуй "Изменить"...или отдельно выложи. Ссылка на комментарий
an_ver Опубликовано 26 марта, 2015 Автор Поделиться Опубликовано 26 марта, 2015 Нашел эту волшебную кнопку)) Ссылка на комментарий
Фарид Расулыч Опубликовано 26 марта, 2015 Поделиться Опубликовано 26 марта, 2015 Пациент с "шикарным" ртом))))) Все хочу так же попробовать времянки завремянить, но постоянно забываю снять слепок до удаления... лошпэ я.. Ссылка на комментарий
M@estro Опубликовано 26 марта, 2015 Поделиться Опубликовано 26 марта, 2015 Андрей, все вроде ок , смущает два вопроса навскидку. 1) непосредственная нагрузка консолью . Я бы так не рисковал .2) этап планирования. В таких кейсах я предпочитаю все демонтировать - и оценить состояние зубов, и уже после этого планировать удаления / имплантацию. Объясни, почему так поступил? 5 Ссылка на комментарий
колесников Опубликовано 26 марта, 2015 Поделиться Опубликовано 26 марта, 2015 Дело вкуса ,но я бы взял 11,5мм и 11ый поглубже поставил. Был неприятный опыт с длинными имплантами во фронте. Толи из-за анатомии ,то-ли из-за плеча, но получалась окончатая резорбция в области алекса импланта. Ссылка на комментарий
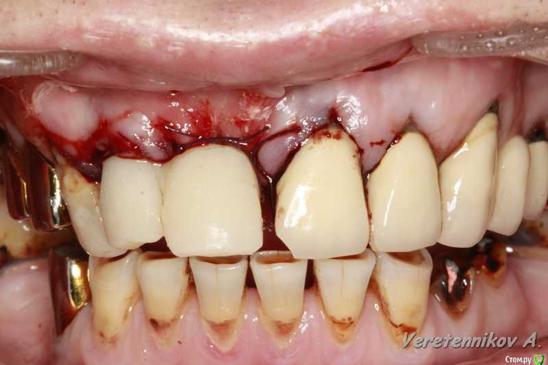
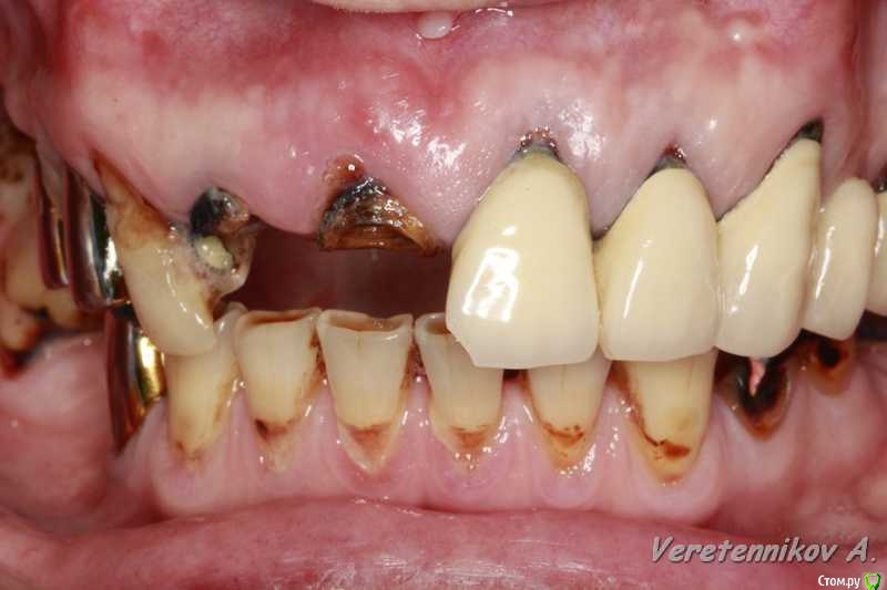
an_ver Опубликовано 27 марта, 2015 Автор Поделиться Опубликовано 27 марта, 2015 Андрей, все вроде ок , смущает два вопроса навскидку. 1) непосредственная нагрузка консолью . Я бы так не рисковал .2) этап планирования. В таких кейсах я предпочитаю все демонтировать - и оценить состояние зубов, и уже после этого планировать удаления / имплантацию. Объясни, почему так поступил? Андрей, все вроде ок , смущает два вопроса навскидку. 1) непосредственная нагрузка консолью . Я бы так не рисковал .2) этап планирования. В таких кейсах я предпочитаю все демонтировать - и оценить состояние зубов, и уже после этого планировать удаления / имплантацию. Объясни, почему так поступил? 1.На 11 вестибулярно нет на 2/3 высоты.Засыпал мр3+мембрана..чет очкуя я на такие грузить((. Предлагаем ему все снять,и если что времянки поставить..отказался на публике часто))) мало ли что))).но ничего швы сниму и это тоже сдерну Ссылка на комментарий
an_ver Опубликовано 27 марта, 2015 Автор Поделиться Опубликовано 27 марта, 2015 Дело вкуса ,но я бы взял 11,5мм и 11ый поглубже поставил. Был неприятный опыт с длинными имплантами во фронте. Толи из-за анатомии ,то-ли из-за плеча, но получалась окончатая резорбция в области алекса импланта.У меня такая мысль была...но стабилизация блин))...тут и так ниже ЦЭС на 3 мм Ссылка на комментарий
Magomed Опубликовано 27 марта, 2015 Поделиться Опубликовано 27 марта, 2015 Андрей, ну неужели у тебя нет более "гуманного" шовного ? Понравилось! Андрей, ну неужели у тебя нет более "гуманного" шовного ? Понравилось! а какой более гуманный шовник ,подскажите пожалуйста. пролен? Ссылка на комментарий
Евгений Ходыкин Опубликовано 27 марта, 2015 Поделиться Опубликовано 27 марта, 2015 а какой более гуманный шовник ,подскажите пожалуйста. пролен?Пролен и другие аналоги-мононити 2 Ссылка на комментарий
andr99 Опубликовано 27 марта, 2015 Поделиться Опубликовано 27 марта, 2015 Приветствую!Присоединяюсь к уважаемым коллегам.В области 11 мобилизовывались? Ссылка на комментарий
an_ver Опубликовано 27 марта, 2015 Автор Поделиться Опубликовано 27 марта, 2015 Приветствую!Присоединяюсь к уважаемым коллегам.В области 11 мобилизовывались?Да.трудновато без вертикальных,но сошлось без напряга. Ссылка на комментарий
andr99 Опубликовано 27 марта, 2015 Поделиться Опубликовано 27 марта, 2015 Да.трудновато без вертикальных,но сошлось без напряга.В данном случае, если нет Фдм или коронки и надо ушиться, VIP-CT был бы лучше. Имхо! Ссылка на комментарий
an_ver Опубликовано 28 марта, 2015 Автор Поделиться Опубликовано 28 марта, 2015 В данном случае, если нет Фдм или коронки и надо ушиться, VIP-CT был бы лучше. Имхо!Когда буду времянкой нагружать 11, сальца коллагенового добавлю)) Ссылка на комментарий
zubovnet Опубликовано 28 марта, 2015 Поделиться Опубликовано 28 марта, 2015 (изменено) Понравилось. Смело. Но меня тоже консоль смущает...... Я бы не рискнул ТАК нагружать.вообще консоль на имплантанте это разве норм? Каппу бы ему сделали прозрачную, а там где удалились зубы- пластмасски беленькой. И раскручивайте на снятие соседей- там, видать , тоже все печально Изменено 28 марта, 2015 пользователем zubovnet 1 Ссылка на комментарий
an_ver Опубликовано 29 марта, 2015 Автор Поделиться Опубликовано 29 марта, 2015 Понравилось. Смело. Но меня тоже консоль смущает...... Я бы не рискнул ТАК нагружать.вообще консоль на имплантанте это разве норм? Каппу бы ему сделали прозрачную, а там где удалились зубы- пластмасски беленькой. И раскручивайте на снятие соседей- там, видать , тоже все печальноДа тут раскручивать не надо,сам он все понимает.Каппу предлагал.Счас все устаканиться,швы сниму и дальше пойдем Ссылка на комментарий
Рекомендуемые сообщения
Для публикации сообщений создайте учётную запись или авторизуйтесь
Вы должны быть пользователем, чтобы оставить комментарий
Создать аккаунт
Зарегистрируйте новый аккаунт в нашем сообществе. Это очень просто!
Регистрация нового пользователяВойти
Уже есть аккаунт? Войти в систему.
Войти