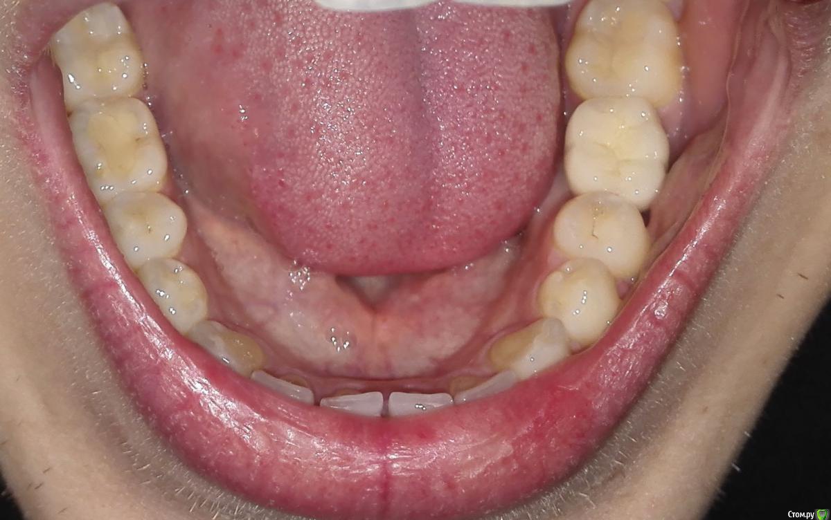
Friend Опубликовано 24 марта, 2015 Поделиться Опубликовано 24 марта, 2015 Добрый день, друзья! Оцените, пожалуйста, работу врача по установке коронки (на имплант).6 зуб, справа. И какие будут последствия, если остваить всё как есть? Ставят уже второй раз... Ссылка на комментарий
DmitrySH Опубликовано 24 марта, 2015 Поделиться Опубликовано 24 марта, 2015 В чем проблема? 2 Ссылка на комментарий
Friend Опубликовано 25 марта, 2015 Автор Поделиться Опубликовано 25 марта, 2015 Дмитрий, проблема в том, что коронка несколько криво установлена. Ссылка на комментарий
johniola Опубликовано 25 марта, 2015 Поделиться Опубликовано 25 марта, 2015 (изменено) коронка установлена с учётом вашего прикуса.всё нормально,не надо искать проблемму там,где её нет Изменено 25 марта, 2015 пользователем johniola 3 Ссылка на комментарий
Friend Опубликовано 25 марта, 2015 Автор Поделиться Опубликовано 25 марта, 2015 Ещё одни нюанс. Изначально она стояла ровно, однако, через какое-то время сместилась. Установлена на постоянный цемент. Из-за чего это произошло?Оставить всё как есть или переделывать? Ссылка на комментарий
red_butler Опубликовано 25 марта, 2015 Поделиться Опубликовано 25 марта, 2015 у Вас все отлично 2 Ссылка на комментарий
Friend Опубликовано 25 марта, 2015 Автор Поделиться Опубликовано 25 марта, 2015 Спасибо за уделённое внимание к теме, уважаемые врачи! Ссылка на комментарий
Рекомендуемые сообщения
Для публикации сообщений создайте учётную запись или авторизуйтесь
Вы должны быть пользователем, чтобы оставить комментарий
Создать аккаунт
Зарегистрируйте новый аккаунт в нашем сообществе. Это очень просто!
Регистрация нового пользователяВойти
Уже есть аккаунт? Войти в систему.
Войти