Metis2 Опубликовано 24 марта, 2015 Поделиться Опубликовано 24 марта, 2015 Здравствуйте уважаемые специалисты! Хочу обратится к вам с такой проблемой: год назад пошел на прием к стоматологу на профилактику, до этого не был у него 10 лет. В 6 сверху была большая дырка, поставили обычную пломбу, но зуб после лечения долго не проходил и я так проходил месяц пока боль стала нестерпимой. Как оказалось, воспалился нерв из-за того что стенка отделяющея нерв от пломба была очень тонкой. Когда мне чистили каналы та кашица, которую оттуда доставали была довольно зловонная, что насторожила стоматолога. После этого зуб начал проходить, но по неясной причине стала держаться температура 37,2-4 и держалась она у меня в течении двух недель. Спасался я только таблетками Нимид, после их приема температура спадала и на целый день мне хватало, мой врач на жалобы отвечала: мол это общее состояние организма, само пройдет, слава Богу прошло.Прошел ровно год после лечения и тут не с того не с сего начал болеть этот зуб, первые дни болел только при накусывании на него, а на третий день ныл и болел так, что я челюсть не мог закрыть. Я начал принимать Нимид - попустило. Но все равно боль была и при нажатии пальцем на десну сверху зуба, были болевые ощущения. Другой стоматолог предположил, что у меня переодонтит, сделали рентген, но он нечего не показал. На след.день зуб перестает болеть, даже если сжимаю челлюсть со всей силы. Но появилась эта странная температура, как и год назад и убирается она тем же способом, что и раньше, вот уже неделя температура, а зуб не болит, подскажите, что это может быть? Ссылка на комментарий
red_butler Опубликовано 24 марта, 2015 Поделиться Опубликовано 24 марта, 2015 зуб нужно перелечить, сделайте Кт для исключения гайморита Ссылка на комментарий
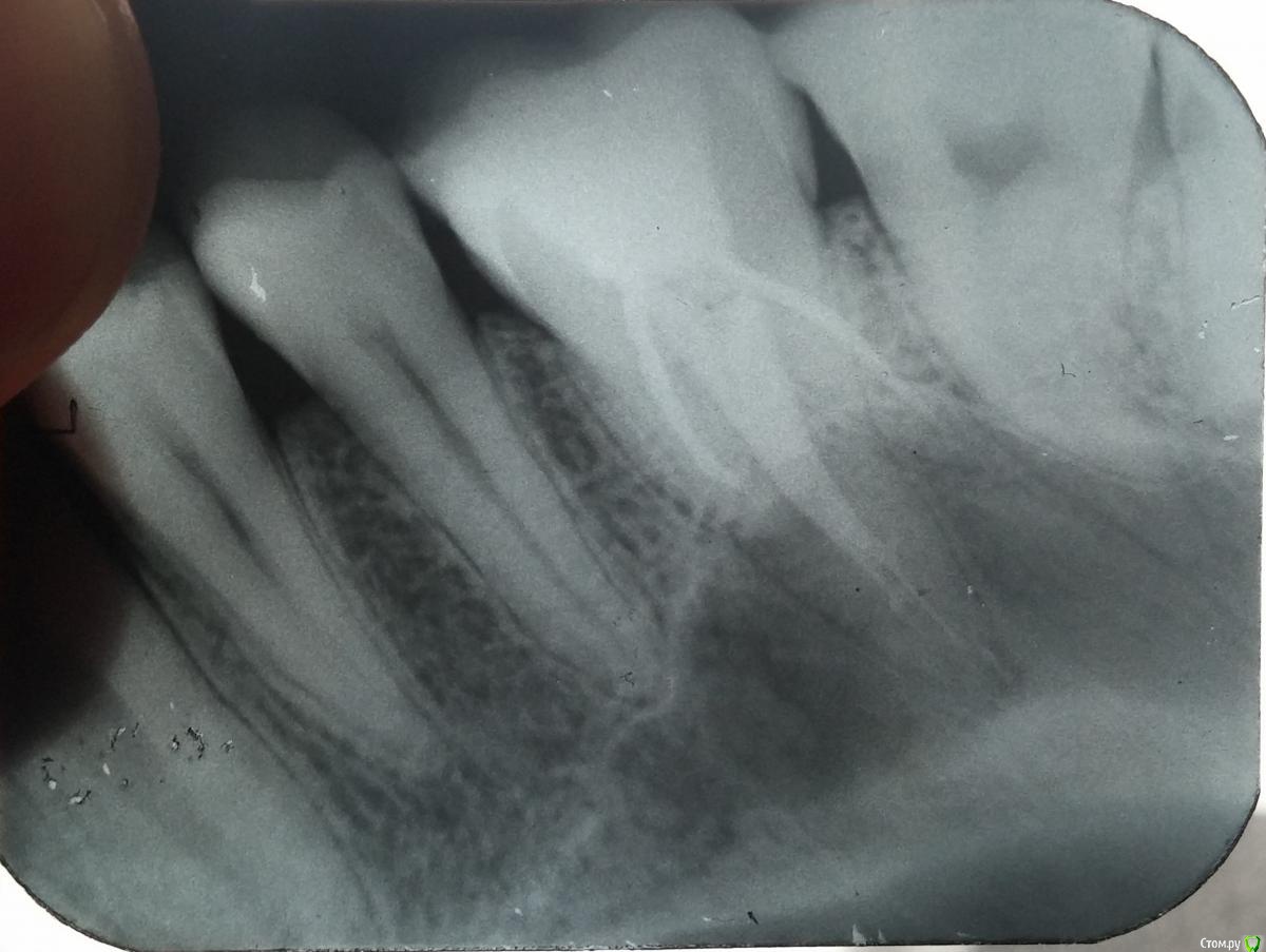
Гарриевич Опубликовано 24 марта, 2015 Поделиться Опубликовано 24 марта, 2015 1 вариант - пропустили 4 канала2 - недопломбировали (недомыли) небный каналаа может и то и другое Ссылка на комментарий
Goodman Опубликовано 24 марта, 2015 Поделиться Опубликовано 24 марта, 2015 8 слева сверху растет неровно, стоит ли удалять? он щеки не задевает, все норм, просто меня смущает его кривое расположение Ссылка на комментарий
Рекомендуемые сообщения
Для публикации сообщений создайте учётную запись или авторизуйтесь
Вы должны быть пользователем, чтобы оставить комментарий
Создать аккаунт
Зарегистрируйте новый аккаунт в нашем сообществе. Это очень просто!
Регистрация нового пользователяВойти
Уже есть аккаунт? Войти в систему.
Войти