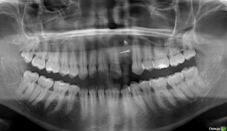
LuBoF Опубликовано 23 марта, 2015 Поделиться Опубликовано 23 марта, 2015 (изменено) Добрый день. 4 месяца назад была проведена операция по пересадки костного блока с нижней челюсти. На осмотре стоматолог сказал, что кости не достаточно и необходимо повторить процедуру.Так ли необходима эта оперция, нельзя расчитывать уже на имплант? Нельзя ли было сразу наростить необходимый объем костной ткани за одну операцию, а то это "удовольствие" болезненное и не из дешевых? И какой лучше выбрать способ подсадки: опять своей костью или можно искусственной?Ниже прикрепляю снимок.Спасибо. Изменено 23 марта, 2015 пользователем LuBoF Ссылка на комментарий
m.d.n Опубликовано 23 марта, 2015 Поделиться Опубликовано 23 марта, 2015 Сделайте кт. Если хотите хороший результат то может и понадобиться- может не блок но - сделайте кт . Ссылка на комментарий
LuBoF Опубликовано 24 марта, 2015 Автор Поделиться Опубликовано 24 марта, 2015 А по снимку нельзя сказать про повторную операцию?Про кт врач ничего не сказал, что надо делать Ссылка на комментарий
red_butler Опубликовано 24 марта, 2015 Поделиться Опубликовано 24 марта, 2015 А по снимку нельзя сказать про повторную операцию?Про кт врач ничего не сказал, что надо делатьситуация сложная, для ответов нужны фотоснимки и Кт Ссылка на комментарий
Bier Опубликовано 24 марта, 2015 Поделиться Опубликовано 24 марта, 2015 этот снимок не дает необходимого нам третьего измерения - толщины альвеолярного гребня.Только высоту и ширину. Надо трехмерный - КТ Ссылка на комментарий
diesel87 Опубликовано 24 марта, 2015 Поделиться Опубликовано 24 марта, 2015 Третье измерение это круто)) Ссылка на комментарий
LuBoF Опубликовано 25 марта, 2015 Автор Поделиться Опубликовано 25 марта, 2015 А по высоте и ширине подходит для проведения имплантации? Ссылка на комментарий
Bier Опубликовано 25 марта, 2015 Поделиться Опубликовано 25 марта, 2015 да ) но 2х измерений мало ) Ссылка на комментарий
Alejandro Опубликовано 27 марта, 2015 Поделиться Опубликовано 27 марта, 2015 А костную пластику доктор без КТ делал? Можно же сделать КТ только в области дефекта и двух соседних зубов: так дешевле (если вопрос в цене) Ссылка на комментарий
LuBoF Опубликовано 27 марта, 2015 Автор Поделиться Опубликовано 27 марта, 2015 Первую пластику с КТ, сейчас сделал снимок и сказал, что повторную надо делать.Не развод ли наденьги это... Ссылка на комментарий
Bier Опубликовано 27 марта, 2015 Поделиться Опубликовано 27 марта, 2015 доктор же видел Вас в живую, а мы нет. по этому нам необходимо КТ, а ему может и так все видно. Ссылка на комментарий
LuBoF Опубликовано 5 апреля, 2015 Автор Поделиться Опубликовано 5 апреля, 2015 Спасибо за ответы, сделали уже повторную пластику. Ждем результатов. Ссылка на комментарий
Рекомендуемые сообщения
Для публикации сообщений создайте учётную запись или авторизуйтесь
Вы должны быть пользователем, чтобы оставить комментарий
Создать аккаунт
Зарегистрируйте новый аккаунт в нашем сообществе. Это очень просто!
Регистрация нового пользователяВойти
Уже есть аккаунт? Войти в систему.
Войти