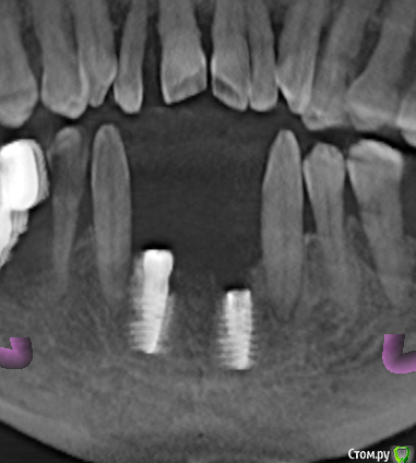
samanta66 Опубликовано 22 марта, 2015 Поделиться Опубликовано 22 марта, 2015 Добрый день.Срочно нужна консультация специалистов. Импланты (передние) поставлены более 9 месяцев назад. Казалось, вросли основательно. На этапе протезирования, когда уже полностью был готов протез, ортопед сказал, что имплант расшатался, послал к хирургу. Сделали снимок, на котором увидели, что имплант стоит не вертикально (как было изначально). 1. Как-то можно исправлять ситуацию? Хирург предлагает убирать этот имплант и через время ставить новый. У меня сомнения: не повторится ли ситуация ?2. Почему имплант расшатался? Во время многочисленных примерок ортопед прилагал немалые усилия, так как что-то там не влезало по моим ощущениям. Можно свидетельствовать, что ортопед своими действиями "свернул" имплант ? Он отказывается переделывать бесплатно свою работу. Для сравнения предлагаю 2 КТ (за октябрь и март). октябрь март крупнее Ссылка на комментарий
diesel87 Опубликовано 22 марта, 2015 Поделиться Опубликовано 22 марта, 2015 стоит судя кт он так же как его и ставили. только видимо нет кости вестибулярно. скорее всего перестановка Ссылка на комментарий
Mane Опубликовано 22 марта, 2015 Поделиться Опубликовано 22 марта, 2015 Ортопед тут не причем. Правильно установленный имплантат в необходимоеиколичество кости особенно в вашей области челюсти не то что руками, инструментом практически не возможно открутить/свернуть. Смею предположить что установлен имплант с нареканиями. На месте ортопеда - правильная позиция. Почему он должен быть громоотводом и расплачиваться за недочеты других специалистов. 8 Ссылка на комментарий
samanta66 Опубликовано 23 марта, 2015 Автор Поделиться Опубликовано 23 марта, 2015 Спасибо за быстрый ответ!Еще вопрос: После удаления импланта кости останется еще меньше, есть ли смысл повторять процедуру? Ссылка на комментарий
Mane Опубликовано 27 марта, 2015 Поделиться Опубликовано 27 марта, 2015 Смотря как удалить. Есть 1 Ссылка на комментарий
Рекомендуемые сообщения
Для публикации сообщений создайте учётную запись или авторизуйтесь
Вы должны быть пользователем, чтобы оставить комментарий
Создать аккаунт
Зарегистрируйте новый аккаунт в нашем сообществе. Это очень просто!
Регистрация нового пользователяВойти
Уже есть аккаунт? Войти в систему.
Войти