Горюшко Опубликовано 20 марта, 2015 Поделиться Опубликовано 20 марта, 2015 (изменено) Доброго времени суток! Пришла пора ставить имплант, а то затянула до этого, сделала снимок (выложу), врач сказал, что все поставит, но меня стали терзать сомнения, хотелось бы услышать Ваши мнения, советы, подсказки) Изменено 20 марта, 2015 пользователем Горюшко Ссылка на комментарий
red_butler Опубликовано 20 марта, 2015 Поделиться Опубликовано 20 марта, 2015 Какие собственно вопросы? Ссылка на комментарий
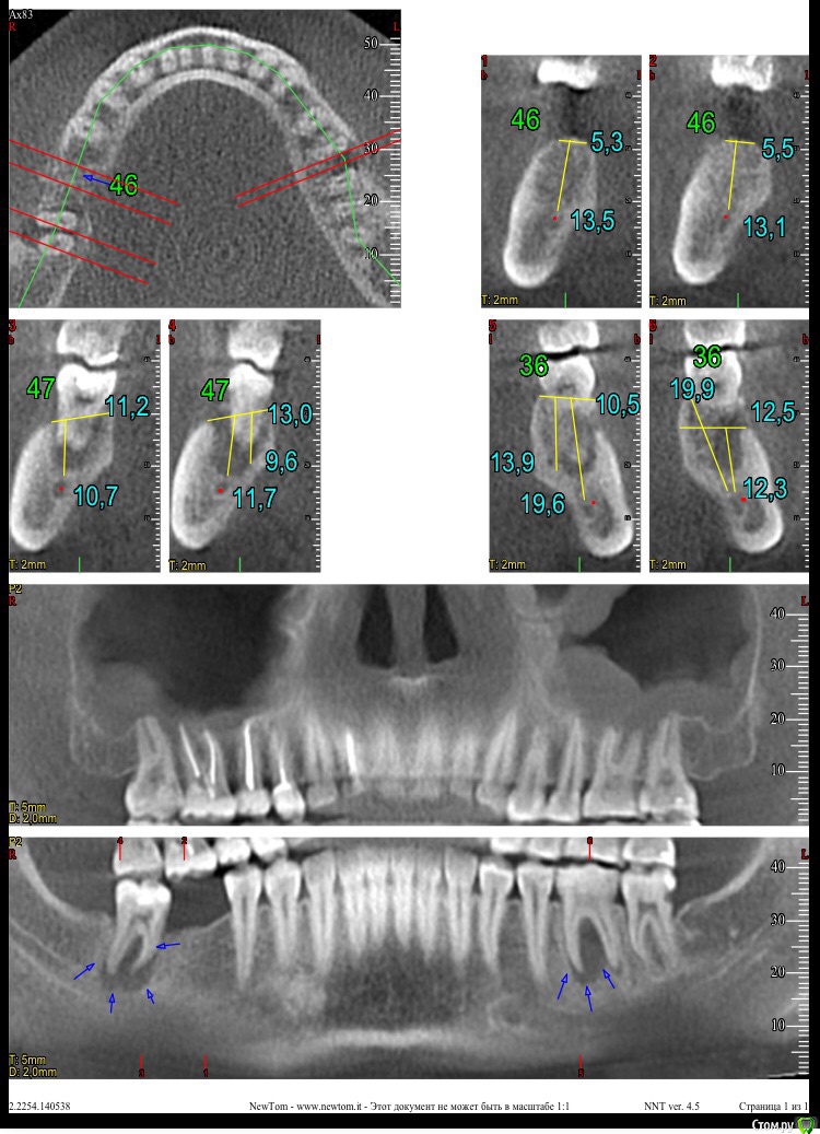
Горюшко Опубликовано 20 марта, 2015 Автор Поделиться Опубликовано 20 марта, 2015 Какие собственно вопросы? Как мне кажется, что есть киста на двух зубах, и одна рядом с будущим имплантом, можно ли ставить в такой ситуации или придется удалять зубы, как лечить кисту, сами зубы были вылечены в январе прошлого года и поставлены накладки, их бы не хотелось убирать, можно ли как-то пролечить кисту по-другому? Ну как-то так) может еще кто увидит взглядом специалиста) Ссылка на комментарий
red_butler Опубликовано 20 марта, 2015 Поделиться Опубликовано 20 марта, 2015 лечите зубы и имплантируйтесь Ссылка на комментарий
Горюшко Опубликовано 20 марта, 2015 Автор Поделиться Опубликовано 20 марта, 2015 лечите зубы и имплантируйтесьСпасибо, это логично, хотелось бы услышать не только очевидное) Ссылка на комментарий
red_butler Опубликовано 20 марта, 2015 Поделиться Опубликовано 20 марта, 2015 1. Эндодонтическое лечение 3.6 4.7 с последующим протезированием2. имплантация в позицию 4.63. консультация ЛОР врача4. протезирование 1.6 1.5 1.4 Ссылка на комментарий
Горюшко Опубликовано 20 марта, 2015 Автор Поделиться Опубликовано 20 марта, 2015 1. Эндодонтическое лечение 3.6 4.7 с последующим протезированием2. имплантация в позицию 4.63. консультация ЛОР врача4. протезирование 1.6 1.5 1.4Спасибо) по первым 2 поняла. А вот с 4 позицией не очень, а почему протезирование? К Лору периодически хожу, вроде никаких проблем, гайморита нету. Ссылка на комментарий
red_butler Опубликовано 21 марта, 2015 Поделиться Опубликовано 21 марта, 2015 А вот с 4 позицией не очень, а почему протезирование? зубы разрушены более 1/2 Ссылка на комментарий
red_butler Опубликовано 21 марта, 2015 Поделиться Опубликовано 21 марта, 2015 К Лору периодически хожу, вроде никаких проблем, гайморита нету. покажите Кт ЛОРу Ссылка на комментарий
Рекомендуемые сообщения
Для публикации сообщений создайте учётную запись или авторизуйтесь
Вы должны быть пользователем, чтобы оставить комментарий
Создать аккаунт
Зарегистрируйте новый аккаунт в нашем сообществе. Это очень просто!
Регистрация нового пользователяВойти
Уже есть аккаунт? Войти в систему.
Войти