Kostoprav Опубликовано 18 марта, 2015 Поделиться Опубликовано 18 марта, 2015 сделал сокет презервейшен , в лунке графт без гиперобъема . По началу все было ок, но после снятия швов лоскут начал переть)Что делать и почему он разбух-ваше мнение коллеги? P.S. хотелось бы сделать временную конструкцию Ссылка на комментарий
DentArt Опубликовано 18 марта, 2015 Поделиться Опубликовано 18 марта, 2015 сделал сокет презервейшен , в лунке графт без гиперобъема . По началу все было ок, но после снятия швов лоскут начал переть)Что делать и почему он разбух-ваше мнение коллеги? P.S. хотелось бы сделать временную конструкциюПо фото,,, жизнеспособность слизистой в месте манипуляции под огромным вопросом? Что делать? Наблюдать в динамике! Ни о каких временных конструкциях речь даже идти не может,,, Ссылка на комментарий
Большой Зеленый Опубликовано 19 марта, 2015 Поделиться Опубликовано 19 марта, 2015 Остатки графта вычищать,кюретажить и ждать 3 1 Ссылка на комментарий
Чертков Александр Опубликовано 19 марта, 2015 Поделиться Опубликовано 19 марта, 2015 Остатки графта вычищать,кюретажить и ждать+1. Инфицирование...гноем давит. 1 1 Ссылка на комментарий
ILGAMSA Опубликовано 19 марта, 2015 Поделиться Опубликовано 19 марта, 2015 Ждать.Все должно устаканиться. 4 Ссылка на комментарий
Чертков Александр Опубликовано 19 марта, 2015 Поделиться Опубликовано 19 марта, 2015 Ждать.Все должно устаканиться.Ильгам, считаете нагноения нет? Ссылка на комментарий
ILGAMSA Опубликовано 19 марта, 2015 Поделиться Опубликовано 19 марта, 2015 Считаю что так.При пластике на питающей ножке иногда происходит венозный застой в ножке, что приводит к такому гипертрофированному виду. Через 2-3 недели, после восстановления венозного оттока все придет в норму. 4 Ссылка на комментарий
Чертков Александр Опубликовано 19 марта, 2015 Поделиться Опубликовано 19 марта, 2015 Считаю что так.При пластике на питающей ножке иногда происходит венозный застой в ножке, что приводит к такому гипертрофированному виду. Через 2-3 недели, после восстановления венозного оттока все придет в норму.Спасибо, будем знать 1 Ссылка на комментарий
Большой Зеленый Опубликовано 19 марта, 2015 Поделиться Опубликовано 19 марта, 2015 Периодонтитная соплина Имхо Ссылка на комментарий
red_butler Опубликовано 19 марта, 2015 Поделиться Опубликовано 19 марта, 2015 + 1 инфицирование графта, скоро прорвет Ссылка на комментарий
Andre_ Опубликовано 19 марта, 2015 Поделиться Опубликовано 19 марта, 2015 Похоже на то, как себя ведут более крупные лоскуты на ножке ( БГМ, ТДЛ). Не претендую на истину, но голосую за "подождать, пока сядет". Ссылка на комментарий
Kostoprav Опубликовано 19 марта, 2015 Автор Поделиться Опубликовано 19 марта, 2015 всем спасибо! буду ждать, поскольку пациента кроме эстетики больше ничего не беспокоит, отодрать лоскут и выскоблить лунку всегда успею) 1 Ссылка на комментарий
dent-a Опубликовано 19 марта, 2015 Поделиться Опубликовано 19 марта, 2015 всем спасибо! буду ждать, поскольку пациента кроме эстетики больше ничего не беспокоит, отодрать лоскут и выскоблить лунку всегда успею)Встречался с аналогичной клиникой при сокетпрезервации, максимум что делал убирал (если есть сообщение) графт который свободно лежит на заплатке-ножке. Ссылка на комментарий
Владмир Опубликовано 19 марта, 2015 Поделиться Опубликовано 19 марта, 2015 пунктировал бы иглой и посмотрел че там 1 Ссылка на комментарий
SDC Опубликовано 19 марта, 2015 Поделиться Опубликовано 19 марта, 2015 Ждать.Все должно устаканиться.100500, спустя 5 дней станет так:http://s017.radikal.ru/i405/1503/46/7b761b3db084.jpg Ссылка на комментарий
Kostoprav Опубликовано 24 марта, 2015 Автор Поделиться Опубликовано 24 марта, 2015 к сожалению гной таки был - разрез, кюретаж и дренаж.как думаете остеопластику вместе с имплантацией произвести или до? Ссылка на комментарий
Большой Зеленый Опубликовано 24 марта, 2015 Поделиться Опубликовано 24 марта, 2015 Можно вместе с установкой импланта. Ссылка на комментарий
OMFS Опубликовано 28 марта, 2015 Поделиться Опубликовано 28 марта, 2015 Была ли антибиотикопрофилактика накануне? Ссылка на комментарий
Kostoprav Опубликовано 28 марта, 2015 Автор Поделиться Опубликовано 28 марта, 2015 Была ли антибиотикопрофилактика накануне?нет, только антисептики. Ссылка на комментарий
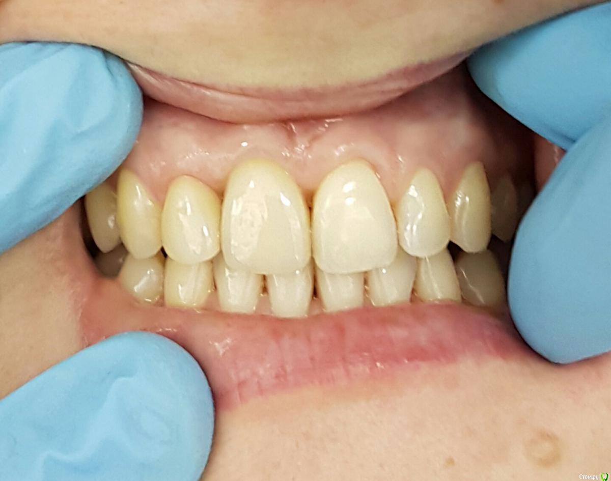
Kostoprav Опубликовано 8 июля, 2015 Автор Поделиться Опубликовано 8 июля, 2015 (изменено) продолжение истории) вот что было изначально а вот что получилось) временная реставрация она с ней до имплантации ходила, коронка на 12 тоже временная Изменено 8 июля, 2015 пользователем Kostoprav 3 Ссылка на комментарий
Kostoprav Опубликовано 8 июля, 2015 Автор Поделиться Опубликовано 8 июля, 2015 графт повторно после кюретажа засыпал) Ссылка на комментарий
Bier Опубликовано 8 июля, 2015 Поделиться Опубликовано 8 июля, 2015 коллега, переведите файлы в jpgлучше выкладывать их на файлообменник, а сюда давать ссылки Ссылка на комментарий
Kostoprav Опубликовано 8 июля, 2015 Автор Поделиться Опубликовано 8 июля, 2015 коллега, переведите файлы в jpgлучше выкладывать их на файлообменник, а сюда давать ссылкисделал) Ссылка на комментарий
Kostoprav Опубликовано 9 марта, 2017 Автор Поделиться Опубликовано 9 марта, 2017 вот что получилось 9 Ссылка на комментарий
Fibez Опубликовано 12 марта, 2017 Поделиться Опубликовано 12 марта, 2017 всегда приятно посмотреть как выкладывают случай до конца 1 Ссылка на комментарий
Рекомендуемые сообщения
Для публикации сообщений создайте учётную запись или авторизуйтесь
Вы должны быть пользователем, чтобы оставить комментарий
Создать аккаунт
Зарегистрируйте новый аккаунт в нашем сообществе. Это очень просто!
Регистрация нового пользователяВойти
Уже есть аккаунт? Войти в систему.
Войти