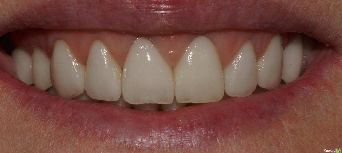
togrul Опубликовано 7 сентября, 2015 Автор Поделиться Опубликовано 7 сентября, 2015 Зубы те, что были живыми так живыми и остались? да , только 3 зуба перебрали) Ссылка на комментарий
togrul Опубликовано 9 сентября, 2015 Автор Поделиться Опубликовано 9 сентября, 2015 Остальные не получается загрузить. Иногда такое бывает. Ссылка на комментарий
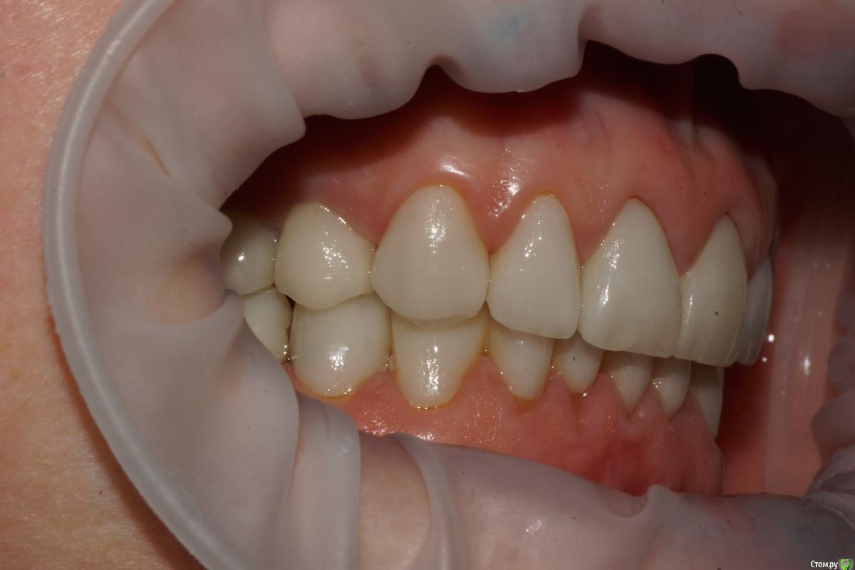
alekszander Опубликовано 12 сентября, 2015 Поделиться Опубликовано 12 сентября, 2015 в целом красивая и достойная работа! Главное чтобы нравилась вам и пациентке. Не всем же подряд синусы, с пластикой)) Емакс вполне достойно смотрится. Красивые сосочки. Из минусов по данной инфе могу только отметить, что нужно было внутрекорневое отбеливания провести на 11 и 22, фонят корни. 1 Ссылка на комментарий
togrul Опубликовано 13 сентября, 2015 Автор Поделиться Опубликовано 13 сентября, 2015 в целом красивая и достойная работа! Главное чтобы нравилась вам и пациентке. Не всем же подряд синусы, с пластикой)) Емакс вполне достойно смотрится. Красивые сосочки. Из минусов по данной инфе могу только отметить, что нужно было внутрекорневое отбеливания провести на 11 и 22, фонят корни. Спасибо за замечания. Согласен с Вами. Ссылка на комментарий
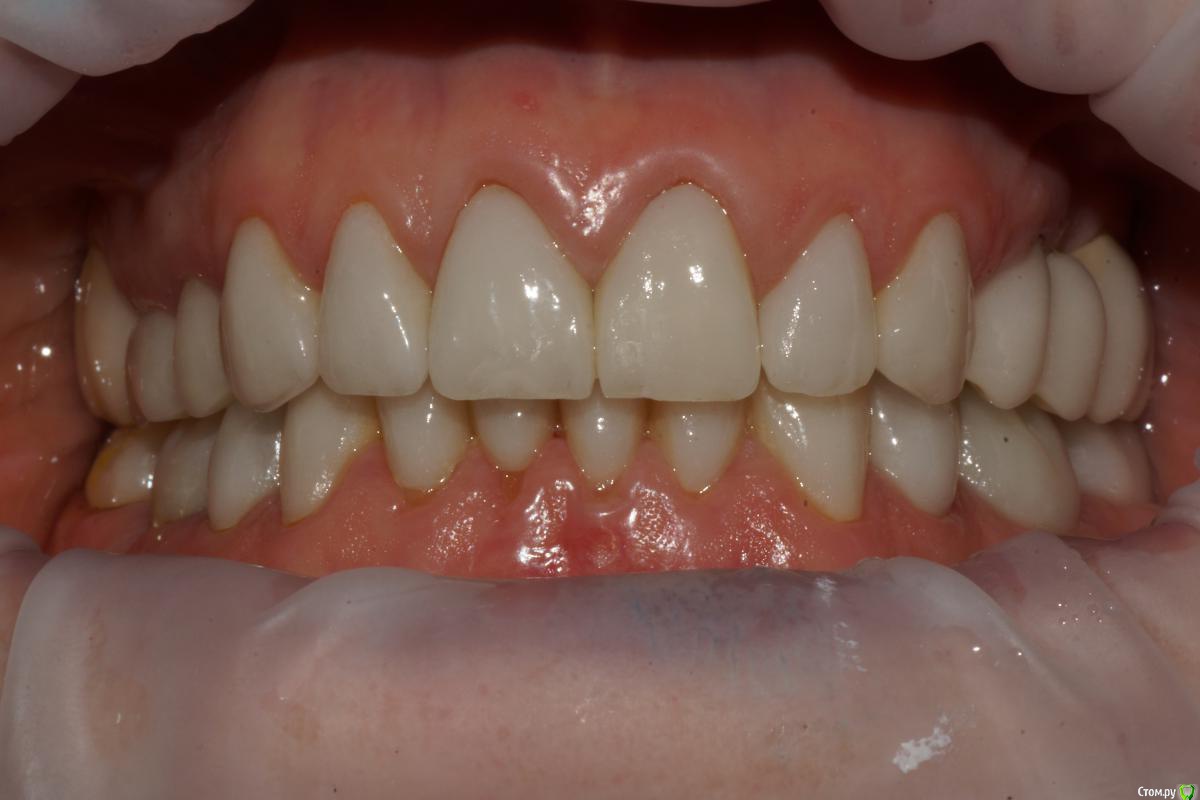
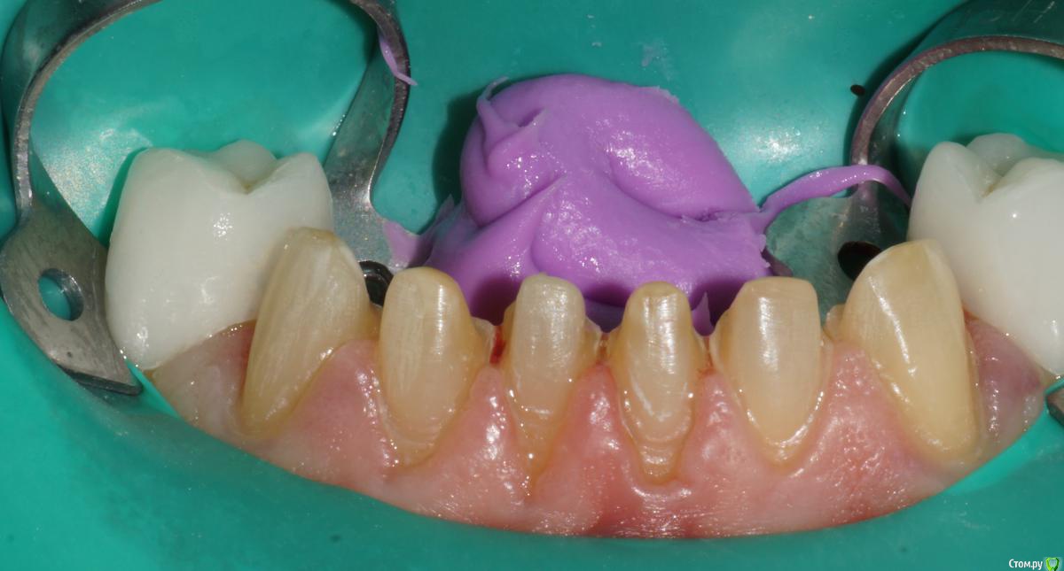
togrul Опубликовано 15 сентября, 2015 Автор Поделиться Опубликовано 15 сентября, 2015 Еще фотографии. Ссылка на комментарий
Рекомендуемые сообщения
Для публикации сообщений создайте учётную запись или авторизуйтесь
Вы должны быть пользователем, чтобы оставить комментарий
Создать аккаунт
Зарегистрируйте новый аккаунт в нашем сообществе. Это очень просто!
Регистрация нового пользователяВойти
Уже есть аккаунт? Войти в систему.
Войти