togrul Опубликовано 17 марта, 2015 Поделиться Опубликовано 17 марта, 2015 Добрый день коллеги. Обратилась пациентка с просьбой заменить все реставрации + привести эстетически все в порядок.С чего бы вы начали? есть модели загипсованные в ЦС. Снимок КТ. Ссылка на комментарий
Larnary Опубликовано 17 марта, 2015 Поделиться Опубликовано 17 марта, 2015 Например с того,чтобы нам показать панораму 2 Ссылка на комментарий
togrul Опубликовано 17 марта, 2015 Автор Поделиться Опубликовано 17 марта, 2015 Хорошо. Ссылка на комментарий
togrul Опубликовано 17 марта, 2015 Автор Поделиться Опубликовано 17 марта, 2015 взят из КТ Ссылка на комментарий
Rash163 Опубликовано 17 марта, 2015 Поделиться Опубликовано 17 марта, 2015 Фото фронтального, в спокойном состоянии не хватает. Длина резцов какая. Сколько из под губы в мм торчат? Ссылка на комментарий
togrul Опубликовано 17 марта, 2015 Автор Поделиться Опубликовано 17 марта, 2015 Зубы не визуализируются при покоее . К сожалению фото нет. У меня есть план . Хочу услышать как бы вы спланировали данную работу.) Ссылка на комментарий
togrul Опубликовано 17 марта, 2015 Автор Поделиться Опубликовано 17 марта, 2015 Зубы не визуализируются при покоее . К сожалению фото нет. У меня есть план . Хочу услышать как бы вы спланировали данную работу.) Ссылка на комментарий
togrul Опубликовано 17 марта, 2015 Автор Поделиться Опубликовано 17 марта, 2015 Сорри телефон глючит) Ссылка на комментарий
Rash163 Опубликовано 17 марта, 2015 Поделиться Опубликовано 17 марта, 2015 Я промерил бы глубину карманов.что там как. По снимку не очень видно. Определился с размерами фронтальных зубов, воск или дсд. 11,21 кажется висят относительно других.после этого будет понятно что делать. Пломбу на 11 убрать бы, десне очень плохо около нее. Ссылка на комментарий
Паращук Роман Опубликовано 17 марта, 2015 Поделиться Опубликовано 17 марта, 2015 С оценки эндо,паро,восковки. Ссылка на комментарий
Skip Опубликовано 17 марта, 2015 Поделиться Опубликовано 17 марта, 2015 есть модели загипсованные в ЦС. Вот это самое интересное. Особенно, учитывая удалённые премоляры. Ссылка на комментарий
krokomot Опубликовано 17 марта, 2015 Поделиться Опубликовано 17 марта, 2015 Добрый день коллеги. Обратилась пациентка с просьбой заменить все реставрации + привести эстетически все в порядок.С чего бы вы начали? есть модели загипсованные в ЦС. Снимок КТ.Маловато информации, что с высотой прикуса?, Какова зона улыбки и в спокойном состоянии, пациентка расчитывает только на протезирование или с пластикой десны?, сроки? бюджет? и где ваши модели в цс? все размыто, извините Ссылка на комментарий
Lolopop Опубликовано 17 марта, 2015 Поделиться Опубликовано 17 марта, 2015 меня больше интересует какого состояние зубов под золотыми коронками - обязательно сфотографируйте - наверник там все отлично , а сколько лет реставрации на передних зубах? Ссылка на комментарий
togrul Опубликовано 18 марта, 2015 Автор Поделиться Опубликовано 18 марта, 2015 Спасибо коллеги за ответы, сегодня постараюсь максимально еще дать инфо. Ссылка на комментарий
togrul Опубликовано 18 марта, 2015 Автор Поделиться Опубликовано 18 марта, 2015 Вот еще фото лица. По бюджету нет ограничений ( мк на золоте, Емах). Провести снятие, эндо, воск, временные, перио нужно , но хирург не планирует ( по определенным причинам). Если делать перио во фронте какая методика было бы наиболее оптимальным в данной ситуации?Начал снимать коронки им 20 лет, под ними все очень даже не плохо) высота нижнего отдела лица снижена на сколько пока не готов ответить. модели будут Ссылка на комментарий
togrul Опубликовано 5 сентября, 2015 Автор Поделиться Опубликовано 5 сентября, 2015 Прошу прощение за качество фото. Ссылка на комментарий
brg Опубликовано 6 сентября, 2015 Поделиться Опубликовано 6 сентября, 2015 Как всегда мало информации и фото. Пациентке понравилась ваша работа? Ссылка на комментарий
togrul Опубликовано 6 сентября, 2015 Автор Поделиться Опубликовано 6 сентября, 2015 Фото будут позже. Да понравилось . Какая информация Вам нужна? Ссылка на комментарий
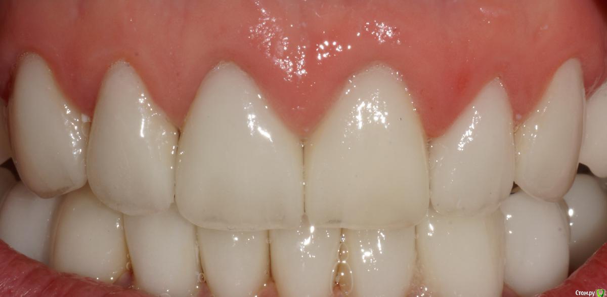
Doc.IQ Опубликовано 6 сентября, 2015 Поделиться Опубликовано 6 сентября, 2015 Я так понимаю что кейс завершен..хотелось бы услышать приведенный в исполнение план..хоть и фото мало,но по не у видно,что работа очень хороша..покрайней мере фронт выглядит симпотно..Даже разные зениты двоек придают индивидуальности и живость..хотя некоторые и не согласятся со мной и скорее всего взяли бы в руки скальпель Ссылка на комментарий
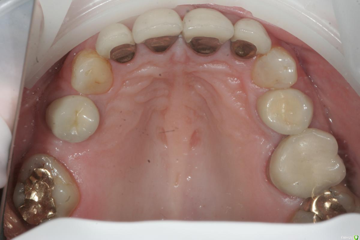
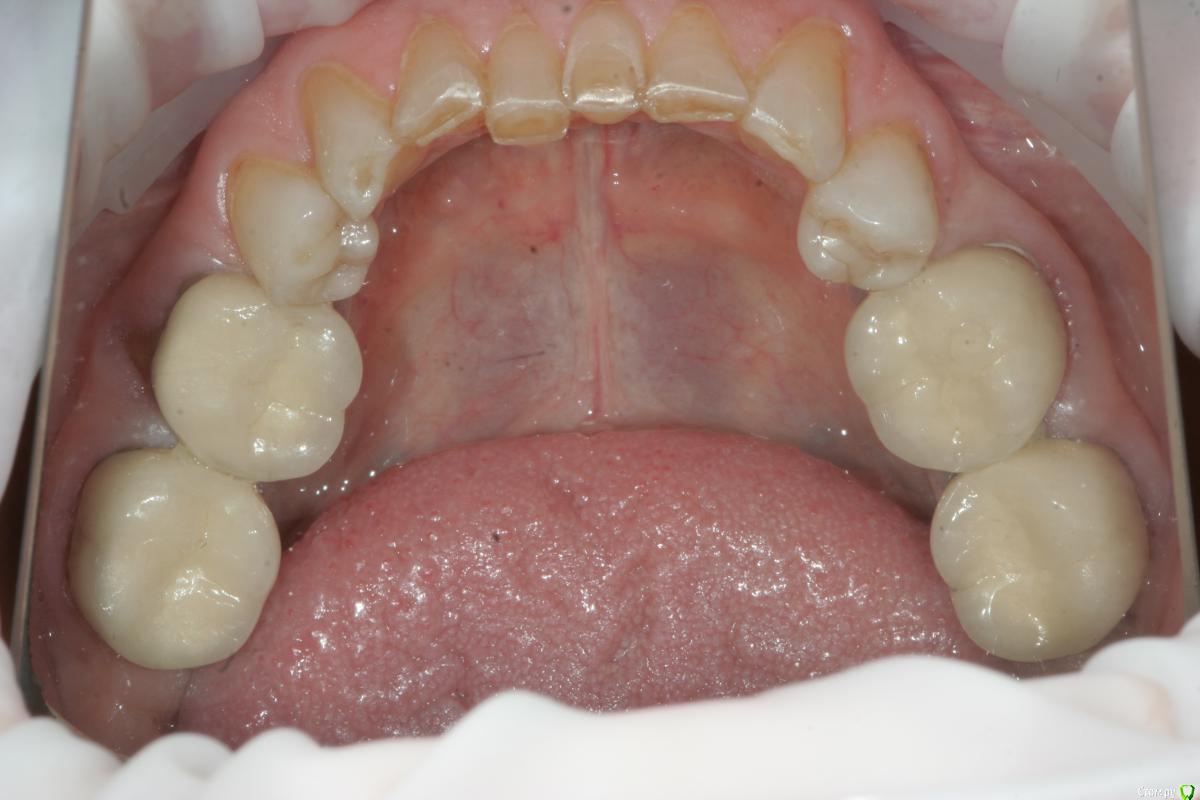
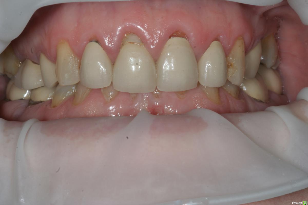
togrul Опубликовано 6 сентября, 2015 Автор Поделиться Опубликовано 6 сентября, 2015 Я так понимаю что кейс завершен..хотелось бы услышать приведенный в исполнение план..хоть и фото мало,но по не у видно,что работа очень хороша..покрайней мере фронт выглядит симпотно..Даже разные зениты двоек придают индивидуальности и живость..хотя некоторые и не согласятся со мной и скорее всего взяли бы в руки скальпель Все верно кейс закончен)Мы согласовали вакс ап , перенесли в полость рта согласовали форму и размер передних зубов, не много переделали восковку. По силиконовым ключам отпрепарировали зубы и где то около 1,5 носили временные коронки и параллельно начали постоянную работу. Везде Емах одиночки, кроме 2 сегмента ,там поставили мост из 3 х ед. Место не было для имплантации + нужен был синус,подумали и решили сделать мост. Никакой хирургии не было только эндо.Фото будут Ссылка на комментарий
Saymon Опубликовано 6 сентября, 2015 Поделиться Опубликовано 6 сентября, 2015 Фото будут позже. Да понравилось . Какая информация Вам нужна?Как определяли ЦО на воск? И как переносили инфу о прикусе при изготовлении постоянной работы? 1 Ссылка на комментарий
Doc.IQ Опубликовано 6 сентября, 2015 Поделиться Опубликовано 6 сентября, 2015 Все верно кейс закончен)Мы согласовали вакс ап , перенесли в полость рта согласовали форму и размер передних зубов, не много переделали восковку. По силиконовым ключам отпрепарировали зубы и где то около 1,5 носили временные коронки и параллельно начали постоянную работу. Везде Емах одиночки, кроме 2 сегмента ,там поставили мост из 3 х ед. Место не было для имплантации + нужен был синус,подумали и решили сделать мост. Никакой хирургии не было только эндо.Фото будутА мост из какого материала?? Ссылка на комментарий
RuStom Опубликовано 7 сентября, 2015 Поделиться Опубликовано 7 сентября, 2015 Зубы те, что были живыми так живыми и остались? Ссылка на комментарий
togrul Опубликовано 7 сентября, 2015 Автор Поделиться Опубликовано 7 сентября, 2015 Как определяли ЦО на воск? И как переносили инфу о прикусе при изготовлении постоянной работы?ЦС определяли с помощью Бюьти пинка это жесткий воск. длину резцов определили примерно от того что было. полностью отработали все на воске,после опять на постоянную работу определяли ЦС с помощью воска. дали инфо технику замерив расстояние между резцами на временных коронках. Ссылка на комментарий
togrul Опубликовано 7 сентября, 2015 Автор Поделиться Опубликовано 7 сентября, 2015 А мост из какого материала??Из циркона побоялся делать из Емах, не смотря что промежуток была 1 ед. Ссылка на комментарий
Рекомендуемые сообщения
Для публикации сообщений создайте учётную запись или авторизуйтесь
Вы должны быть пользователем, чтобы оставить комментарий
Создать аккаунт
Зарегистрируйте новый аккаунт в нашем сообществе. Это очень просто!
Регистрация нового пользователяВойти
Уже есть аккаунт? Войти в систему.
Войти