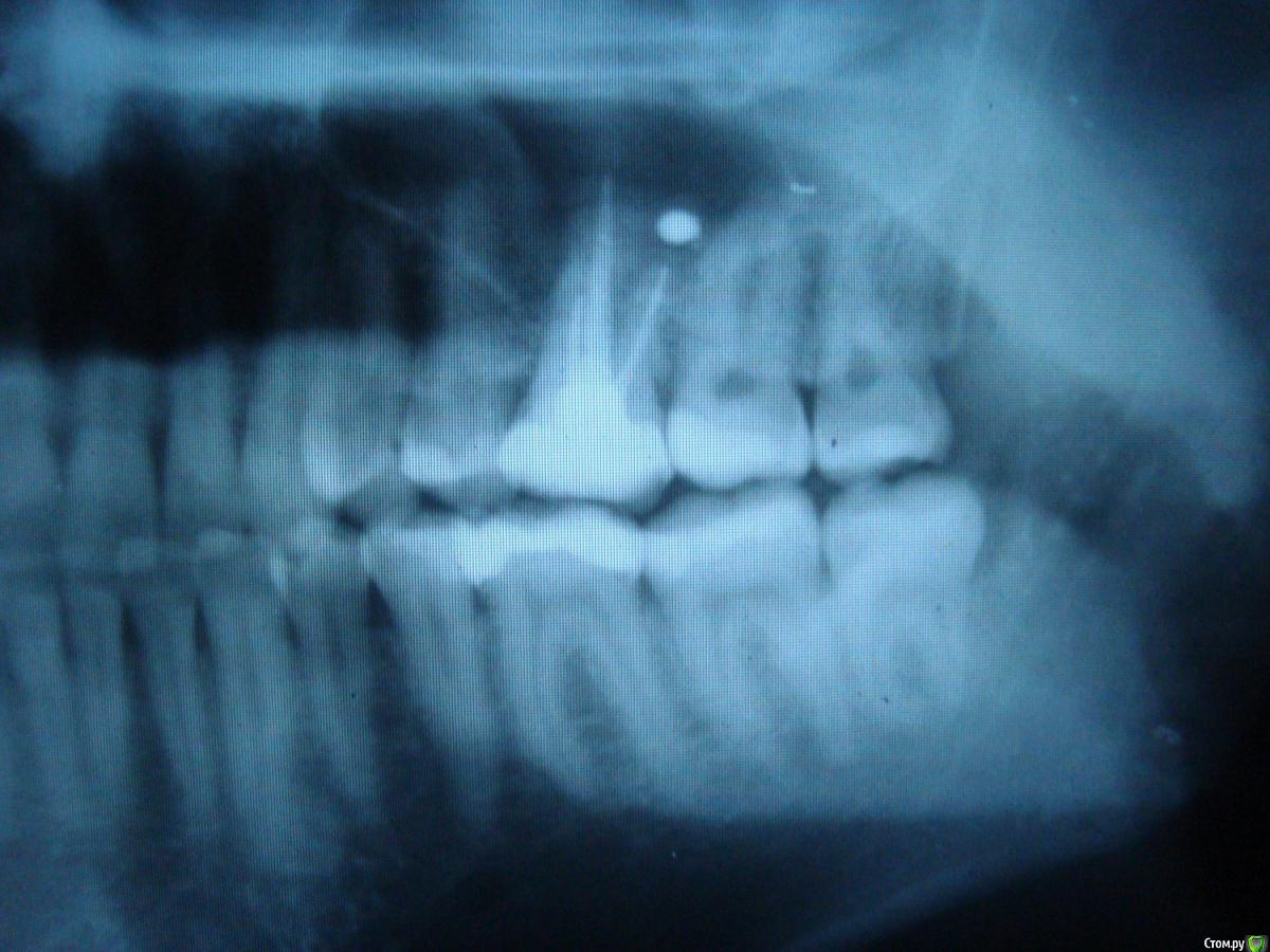
player543 Опубликовано 16 марта, 2015 Поделиться Опубликовано 16 марта, 2015 Здравствуйте.У меня иногда болит зуб при надавливании во время еды. Иногда несколько дней вообще не болит, в другой день при надавливании при каждом приеме пищи.Этот зуб был вылечен (пульпит) лет 7 назад, не помню делали ли рентген для проверки лечения.Эта нерегулярная боль при надавливании уже пару лет (и вроде бы не ухудшается). Помню что в течение года после лечения зуб болел при наклоне головы (но тоже не всегда). Прежде всего хочу разобраться в чем проблема зуба. Несколько стоматологов говорили что все из-за того, что пломбировочный материал попал в гайморову пазуху, предлагали идти к ЧЛХ и как-то там это "вычищать". Последний врач сказал что там канал до конца не заполнен и там живет инфекция. Почему-то сказал что нужно удалять зуб, а я не спросил почему.Ваше мнение в чем проблема зуба? И второе - как его лечить? Просто перелечивание каналов? Можно ли перелечить только 1 канал или только все сразу? Этот зуб был восстановлен более чем на 1/2 если это важно. Ссылка на комментарий
Гарриевич Опубликовано 16 марта, 2015 Поделиться Опубликовано 16 марта, 2015 Лечить можно двумя путями1- перелечивать все корневые каналы2- только каналы передне-щечного корня Ссылка на комментарий
red_butler Опубликовано 17 марта, 2015 Поделиться Опубликовано 17 марта, 2015 Для начала хорошо бы сделать Кт, и посмотреть верхнечелюстной синус. Далее повторное лечение с последующим протезированием. Точный объем лечения будет понятен в процессе.Показаний к удалению не увидел Ссылка на комментарий
player543 Опубликовано 17 марта, 2015 Автор Поделиться Опубликовано 17 марта, 2015 (изменено) Для начала хорошо бы сделать Кт, и посмотреть верхнечелюстной синус. Далее повторное лечение с последующим протезированием. . вы имеете ввиду коронку? Изменено 17 марта, 2015 пользователем player543 Ссылка на комментарий
red_butler Опубликовано 17 марта, 2015 Поделиться Опубликовано 17 марта, 2015 вы имеете ввиду коронку?да Ссылка на комментарий
player543 Опубликовано 18 марта, 2015 Автор Поделиться Опубликовано 18 марта, 2015 Для начала хорошо бы сделать Кт, и посмотреть верхнечелюстной синус. Нашел в частной клинике КТ пазух носа прибором ceretom, это хороший прибор? или лучше в гос. больницу обратиться? Ссылка на комментарий
red_butler Опубликовано 18 марта, 2015 Поделиться Опубликовано 18 марта, 2015 Нашел в частной клинике КТ пазух носа прибором ceretom, это хороший прибор? или лучше в гос. больницу обратиться?делайте Кт на стоматологическим томографе и выкладывайте срезы интересующей области Ссылка на комментарий
player543 Опубликовано 18 марта, 2015 Автор Поделиться Опубликовано 18 марта, 2015 делайте Кт на стоматологическим томографе и выкладывайте срезы интересующей областимне нужно уточнить. не совсем понял, КТ чего делать, челюсти или синусов? есть варианты:Обследование на компьютерном томографе Galileos (с записью на диск),Цифровая 3D томография 1 челюсти с учетом записи на CD ( Kodak CS 9000 3D)Цифровая 3D томография околоносовых пазух с учетом записи на CD ( Kodak CS 9000 3D) Ссылка на комментарий
red_butler Опубликовано 18 марта, 2015 Поделиться Опубликовано 18 марта, 2015 Обследование на компьютерном томографе Galileos (с записью на диск), Цифровая 3D томография 1 челюсти с учетом записи на CD ( Kodak CS 9000 3D) пойдет, можно сделать сегмент - верхняя челюсть слева Ссылка на комментарий
player543 Опубликовано 15 апреля, 2015 Автор Поделиться Опубликовано 15 апреля, 2015 сделал 3D. врач сказала, что это обычная ревизия. и не факт что лечение уберет боль. делайте Кт на стоматологическим томографе и выкладывайте срезы интересующей областиа какие срезы надо выложить? Ссылка на комментарий
Гарриевич Опубликовано 15 апреля, 2015 Поделиться Опубликовано 15 апреля, 2015 выложите всю КТ целиком на файлообменник и ссылку разместите в теме Ссылка на комментарий
Рекомендуемые сообщения
Для публикации сообщений создайте учётную запись или авторизуйтесь
Вы должны быть пользователем, чтобы оставить комментарий
Создать аккаунт
Зарегистрируйте новый аккаунт в нашем сообществе. Это очень просто!
Регистрация нового пользователяВойти
Уже есть аккаунт? Войти в систему.
Войти