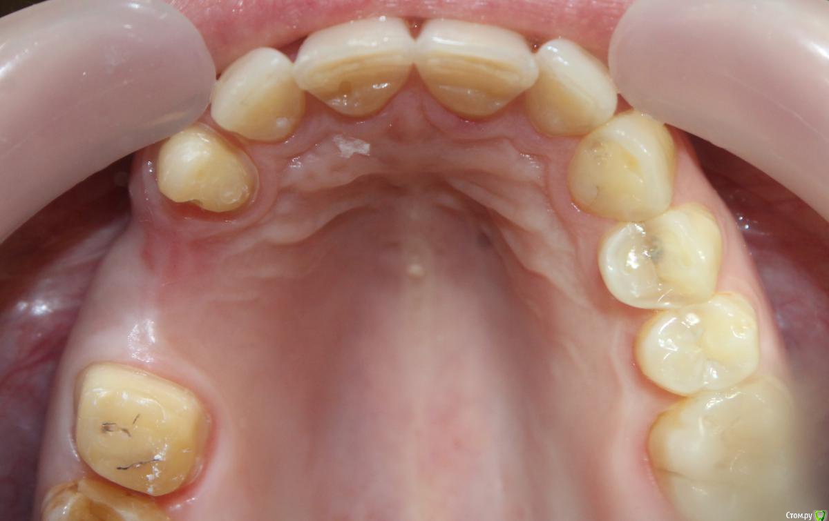
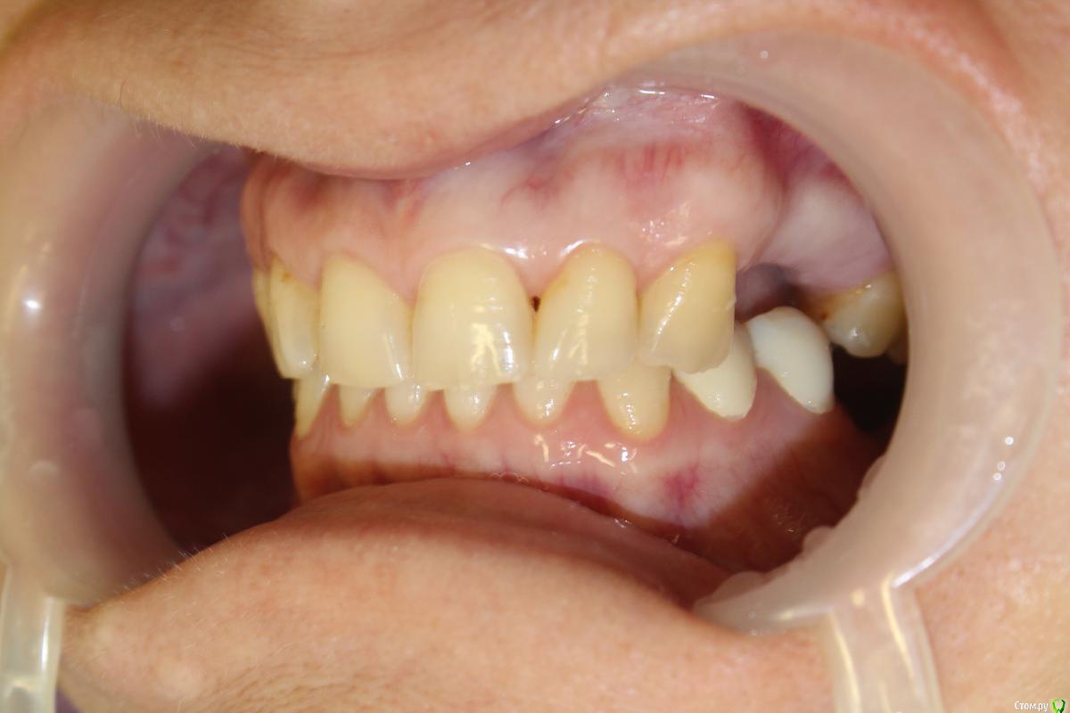
DimaKoleso Опубликовано 13 марта, 2015 Поделиться Опубликовано 13 марта, 2015 Здравствуйте. Прошу критики по существу. Планируется мост 23-26. Снизу под временными 34-35, 44-45. Будет бюгель. внизу времянки преп времянка Protemp И подскажите как грамотно снять слепок, если на 23 даже 000 ultrapack не лезет( Ссылка на комментарий
DR.P Опубликовано 13 марта, 2015 Поделиться Опубликовано 13 марта, 2015 Такого быть не может (про 000 и 2.3) Значит у вас пакер неочень: толстый и с зубцами. Попробуйте самой тонкой закругленной гладилкой. Начните с апроксималок. Ссылка на комментарий
Evikrol Опубликовано 13 марта, 2015 Поделиться Опубликовано 13 марта, 2015 Двумя пакерами. Ссылка на комментарий
DimaKoleso Опубликовано 13 марта, 2015 Автор Поделиться Опубликовано 13 марта, 2015 В апроксималках как раз идет) А вот по вестибулярке не могу засунуть( Думаю может попробовать ее скрутить? Ссылка на комментарий
DR.P Опубликовано 13 марта, 2015 Поделиться Опубликовано 13 марта, 2015 Говорю вам, смените пакер =) Ссылка на комментарий
DR.P Опубликовано 13 марта, 2015 Поделиться Опубликовано 13 марта, 2015 (изменено) ну если уж совсем не получится тонким пакером без зубцов, тогда нитью 0000 Изменено 13 марта, 2015 пользователем DR.P Ссылка на комментарий
DimaKoleso Опубликовано 13 марта, 2015 Автор Поделиться Опубликовано 13 марта, 2015 0000 у нас найти очень тяжело(( я даже никогда ее не видел) Ссылка на комментарий
Фарид Расулыч Опубликовано 13 марта, 2015 Поделиться Опубликовано 13 марта, 2015 (изменено) Вместо нити 0000 можно шовник использовать. Тот же викрил. Он то у Вас есть? Изменено 13 марта, 2015 пользователем Фарид Расулыч Ссылка на комментарий
DimaKoleso Опубликовано 13 марта, 2015 Автор Поделиться Опубликовано 13 марта, 2015 шовник-то можно найти) Ссылка на комментарий
DR.P Опубликовано 13 марта, 2015 Поделиться Опубликовано 13 марта, 2015 я его и мел ввиду, 0000 в Москве не купить 1 Ссылка на комментарий
Фарид Расулыч Опубликовано 13 марта, 2015 Поделиться Опубликовано 13 марта, 2015 Ну вот шовник и используйте. И как выше говорили пакер другой нужен. Ссылка на комментарий
4ebstom Опубликовано 13 марта, 2015 Поделиться Опубликовано 13 марта, 2015 Покупка 40 на выставке прокатила.Неужели нет в столице? Ссылка на комментарий
PLAY Опубликовано 13 марта, 2015 Поделиться Опубликовано 13 марта, 2015 на времянке создайте оверконтур вестибулярно и не надо будет нитку даже совать преп аккуратный Ссылка на комментарий
DimaKoleso Опубликовано 13 марта, 2015 Автор Поделиться Опубликовано 13 марта, 2015 Вот про оверконтур думал, но ведь когда будет сам мост фиксировать, десна-то будет выше, или я прав? Ссылка на комментарий
PLAY Опубликовано 13 марта, 2015 Поделиться Опубликовано 13 марта, 2015 она потом вернется на место, смотря какой профиль прорезывания зададите Ссылка на комментарий
chervoncevdaniil Опубликовано 14 марта, 2015 Поделиться Опубликовано 14 марта, 2015 А как вы с прикусом решите?у вас замок получается в области промежуточной части,судя по нижним времянкам на первых фото Ссылка на комментарий
DimaKoleso Опубликовано 14 марта, 2015 Автор Поделиться Опубликовано 14 марта, 2015 А как вы с прикусом решите?у вас замок получается в области промежуточной части,судя по нижним времянкам на первых фотоТак бюгель снизу будет Ссылка на комментарий
Ibulat_1986 Опубликовано 14 марта, 2015 Поделиться Опубликовано 14 марта, 2015 кривая Шпее слева сильно деформирована, мост может сколоться Ссылка на комментарий
Ibulat_1986 Опубликовано 14 марта, 2015 Поделиться Опубликовано 14 марта, 2015 да тут вообще мне кажется надо с окклюзией поработать. есть ОРТО? Ссылка на комментарий
DimaKoleso Опубликовано 14 марта, 2015 Автор Поделиться Опубликовано 14 марта, 2015 да тут вообще мне кажется надо с окклюзией поработать. есть ОРТО?ОРТО, к сожалению нет. Женщина вообще хотела и низ и верх несъемный. Еле уговорил на бюгель. Ссылка на комментарий
DR.P Опубликовано 14 марта, 2015 Поделиться Опубликовано 14 марта, 2015 Только сейчас обратил внимание на зубоальвеолярное выдвижение моляра. Лучший вариант - это хирургическое удлинение. Ортопедическое сильное укорочение высоты культи моляра приведет сами знаете к чему. Хотя в полости рта может все более оптимистично выглядит =) Преп аккуратный Ссылка на комментарий
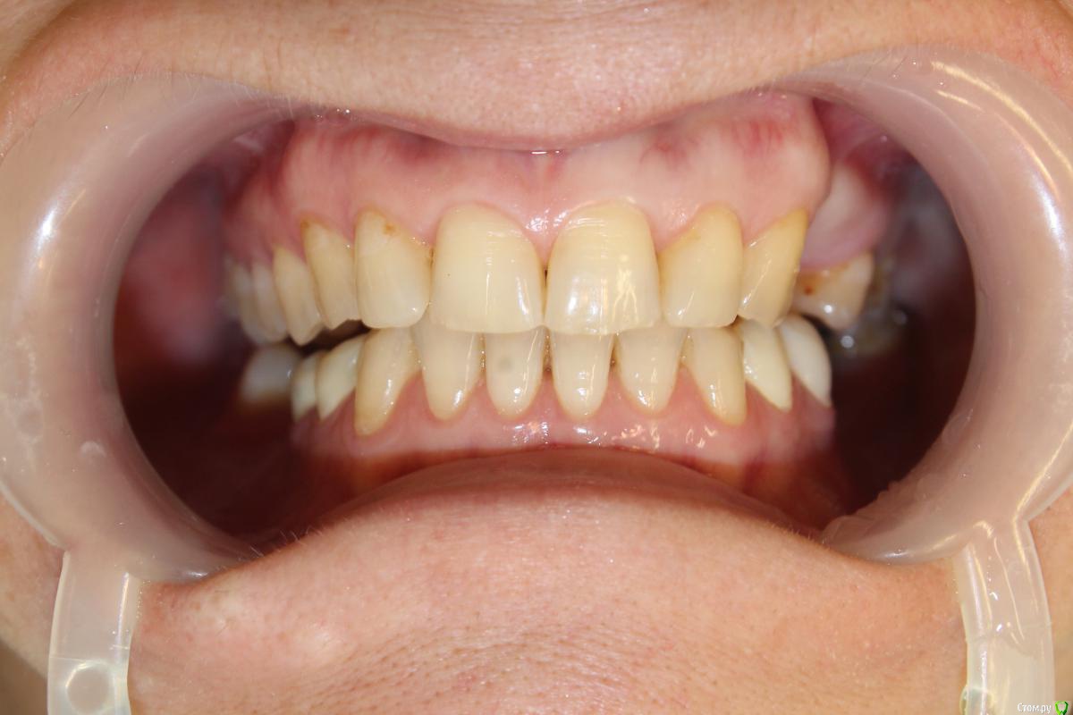
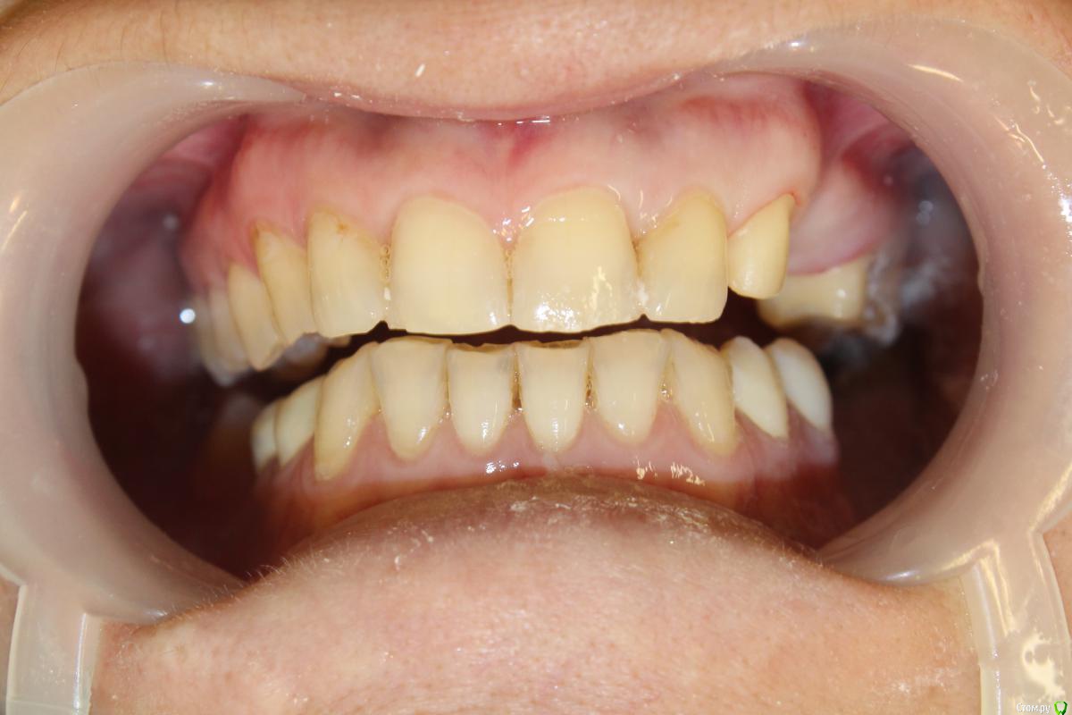
chervoncevdaniil Опубликовано 14 марта, 2015 Поделиться Опубликовано 14 марта, 2015 (изменено) Так бюгель снизу будетну так даже если бюгель 34 и 35 зуб у вас остаются?посмотрите второе фото до вашего препа,там в привычной окклюзии у пациента 34 и 35 образуют замок.У вас либо промежуточная часть будет вогнутая,чтобы у пациента рот закрылся либо завышение прикуса.Остальные фотки после препа вы уже выкладываете зачем то в протрузии и там этого замка не видно Изменено 14 марта, 2015 пользователем chervoncevdaniil Ссылка на комментарий
DimaKoleso Опубликовано 14 марта, 2015 Автор Поделиться Опубликовано 14 марта, 2015 Я вас понял. На самом деле это на фото так получилось. Во рту все намного лучше Ссылка на комментарий
chervoncevdaniil Опубликовано 14 марта, 2015 Поделиться Опубликовано 14 марта, 2015 Я вас понял. На самом деле это на фото так получилось. Во рту все намного лучшеПонял,я тоже подумал что может на фото так вышло, потому что сюда по препу с ортопедией у вас всё в порядке и такую проблему с окклюзией Вы пропустить не должны были Ссылка на комментарий
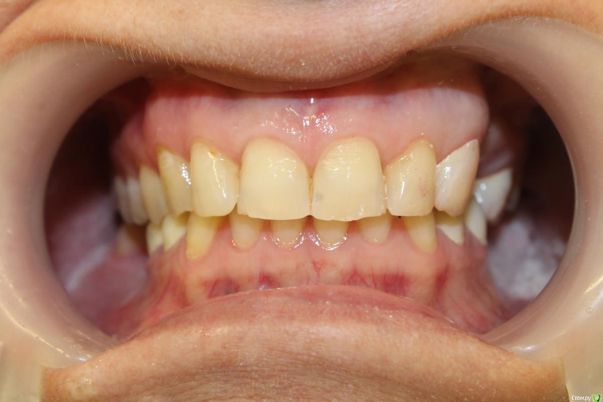
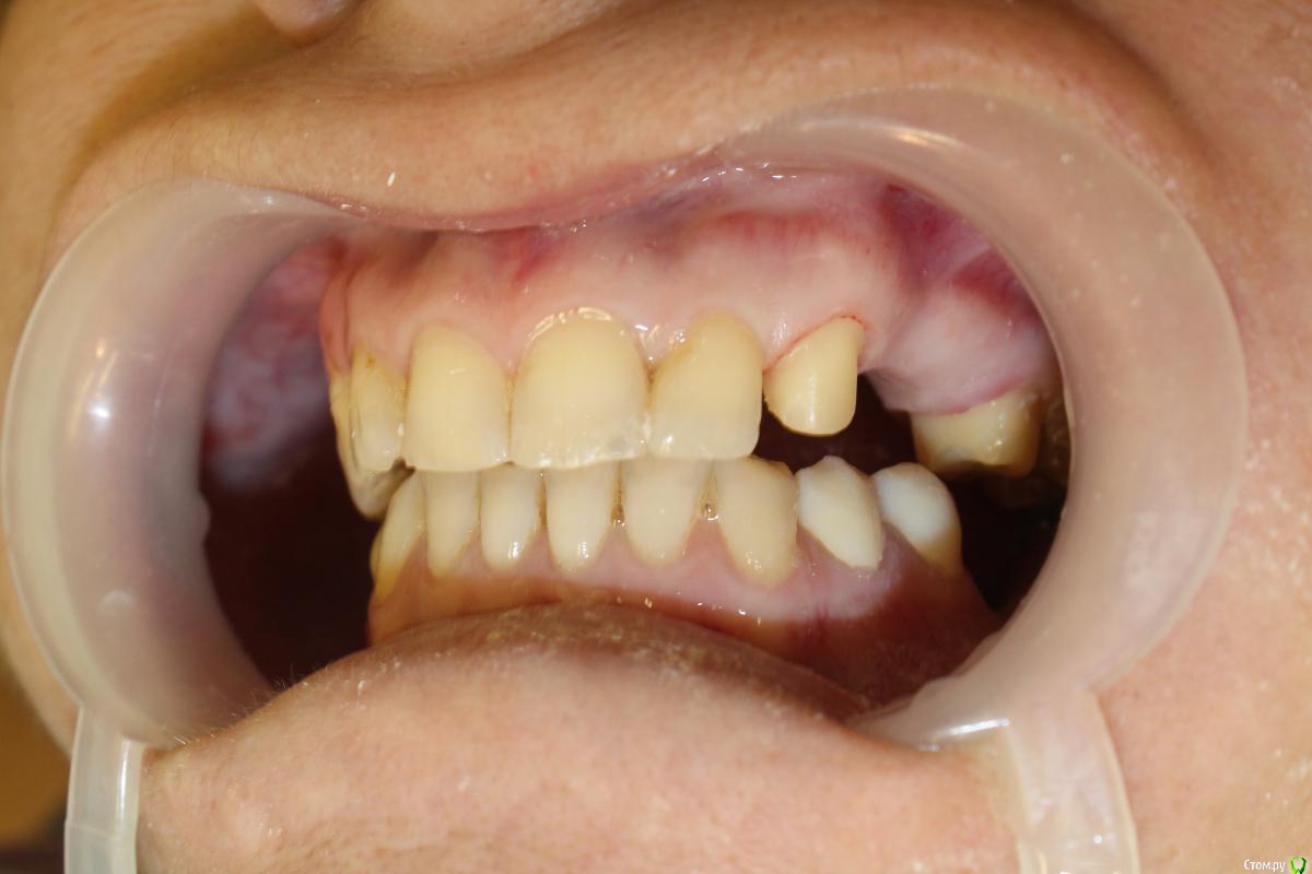
DimaKoleso Опубликовано 17 марта, 2015 Автор Поделиться Опубликовано 17 марта, 2015 Слепки и полный вид Ссылка на комментарий
Рекомендуемые сообщения
Для публикации сообщений создайте учётную запись или авторизуйтесь
Вы должны быть пользователем, чтобы оставить комментарий
Создать аккаунт
Зарегистрируйте новый аккаунт в нашем сообществе. Это очень просто!
Регистрация нового пользователяВойти
Уже есть аккаунт? Войти в систему.
Войти