stomalolog Опубликовано 11 марта, 2015 Поделиться Опубликовано 11 марта, 2015 Ув. доктора, все никак не могу научится получать одноэтапные. Все делаю как в темах на форуме написано. Вот сегодня сделал, корегирующей на стенках отпрепарированого зуба нету, так и должно быть? База даст достаточную точность. Ну и какие впринципе ошибки в оттиске? Ссылка на комментарий
Larnary Опубликовано 11 марта, 2015 Поделиться Опубликовано 11 марта, 2015 Слепок переснимать надо. Да и преп хромает. Ощущение что ложку вводили быстро и неравномерно. Кореги мало на жеватках 1 1 Ссылка на комментарий
Dr.Zoom Опубликовано 11 марта, 2015 Поделиться Опубликовано 11 марта, 2015 корреги маловато, база и коррега должны быть одной вязкости-т.е. если база лайт, то и корректор лайт. И вводить слепок параллельно зубам. Так как в школе учмли не канает((( Ссылка на комментарий
chervoncevdaniil Опубликовано 11 марта, 2015 Поделиться Опубликовано 11 марта, 2015 Док,это плохой слепок,вы надеюсь его в лабу не отдали? Ссылка на комментарий
stomalolog Опубликовано 11 марта, 2015 Автор Поделиться Опубликовано 11 марта, 2015 Док,это плохой слепок,вы надеюсь его в лабу не отдали?Я знаю, что плохой. Переснял двух этапник, они у меня хорошо получаются. Я потому и скинул фото оттиска, потому что у меня все одноэтапные примерно так получаются. Хочу узнать в чем ошибки Ссылка на комментарий
Magomed Опубликовано 11 марта, 2015 Поделиться Опубликовано 11 марта, 2015 в препе. правильныйй преп,правильный оттиск. всё зависит от напровления культи и введения массы. а двух этапник получается так как не важно уже какой путь введения массы так как есь основа куда заливается коррект.вот и всё. Ссылка на комментарий
DR.P Опубликовано 11 марта, 2015 Поделиться Опубликовано 11 марта, 2015 Вы напишите подробно какой массой снимали, как снимали, чем и какой методикой делали ретракцию. И тогда докторам будет проще понять в чем ошибка Ссылка на комментарий
4ebstom Опубликовано 11 марта, 2015 Поделиться Опубликовано 11 марта, 2015 Тут мост от 1-6 или мне кажется? Ссылка на комментарий
Dr.Zoom Опубликовано 11 марта, 2015 Поделиться Опубликовано 11 марта, 2015 Тут мост от 1-6 или мне кажется?Точно и походу планируется 1-2 и клык консоль)))) Ссылка на комментарий
Larnary Опубликовано 12 марта, 2015 Поделиться Опубликовано 12 марта, 2015 Да и есть подозрение что нынешние мосты штамповка Ссылка на комментарий
stomalolog Опубликовано 12 марта, 2015 Автор Поделиться Опубликовано 12 марта, 2015 Точно и походу планируется 1-2 и клык консоль))))Планируется 1, 2 одиночки. Клык микрик стоит. Бабушке другие зубы не нужны. Можно по оттиску мнения услышать, этот вопрос меня больше всего волнует Ссылка на комментарий
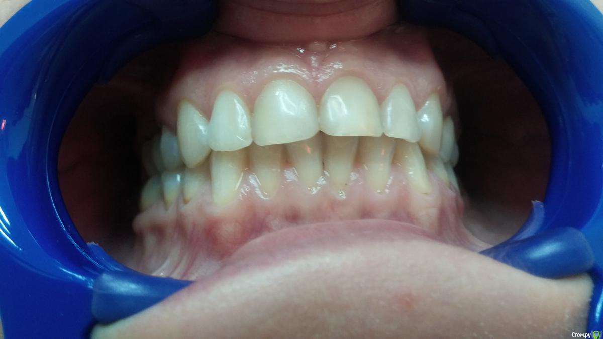
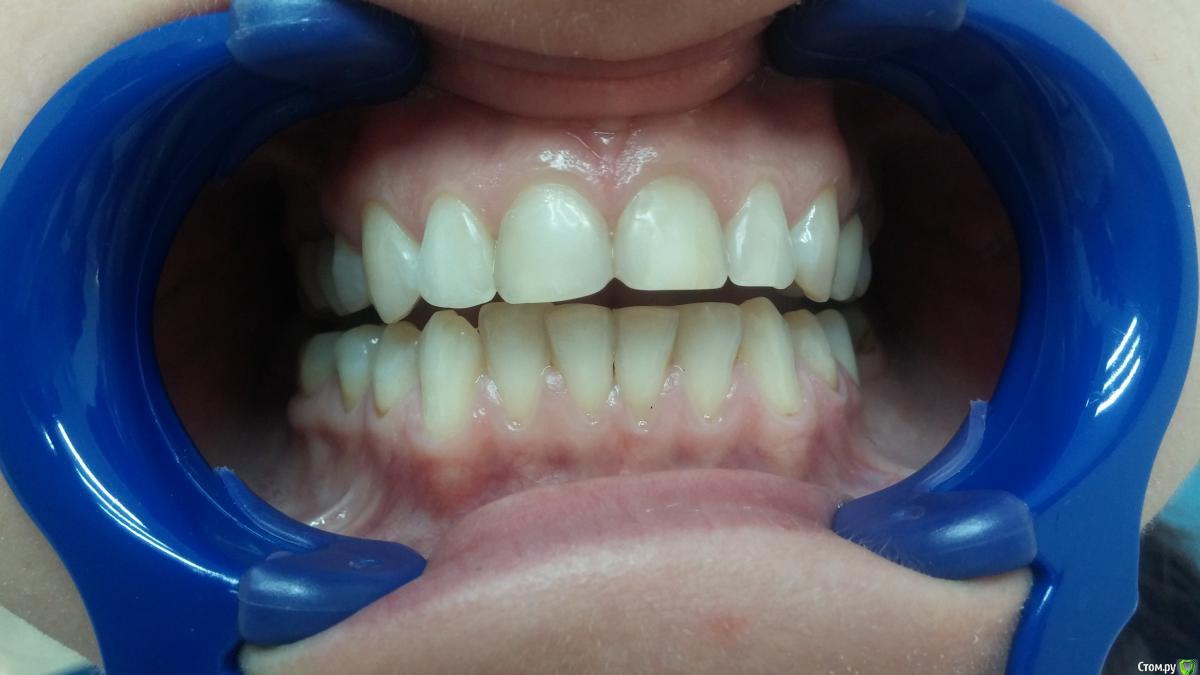
stomalolog Опубликовано 12 марта, 2015 Автор Поделиться Опубликовано 12 марта, 2015 (изменено) Вот сегодня под 3/4 коронки работа была. Критикуйте преп и оттиск. Какие ошибки? Оттиск двухэтапный с пленкой. Изменено 12 марта, 2015 пользователем stomalolog Ссылка на комментарий
stomalolog Опубликовано 12 марта, 2015 Автор Поделиться Опубликовано 12 марта, 2015 Масса а силикон 3м экспресс путти. Корегирующая зеленая низкой вязкости Ссылка на комментарий
stomalolog Опубликовано 12 марта, 2015 Автор Поделиться Опубликовано 12 марта, 2015 Какую таблетку использовать под е мах,.чтобы максимально натурально получилось с такими пломбами? Lt или Mo лучше? Ссылка на комментарий
LuckyDoc Опубликовано 12 марта, 2015 Поделиться Опубликовано 12 марта, 2015 Вот сегодня под 3/4 коронки работа была. Критикуйте преп и оттиск. Какие ошибки? Оттиск двухэтапный с пленкой.Уступы и наддесневой преп есть, это хорошо. Я бы сделал скос больше, у Вас похоже на препарирование в одной плоскости, отсюда оверпреп под Emax, а также будущие реставрации будут сильно выступать вестибулярно, да и длина кажется великовата судя по клыкам, могу ошибаться. По оттискам, лучше сильнее проснимать зауступное пространство, меньше шансов на ошибку технику при обработке штампиков. Какую ретракцию использовали? Таблетку юы взял LT, более естественно будет выглядеть, учитывая что цвет культей примерно одинаков. Ссылка на комментарий
DR.P Опубликовано 12 марта, 2015 Поделиться Опубликовано 12 марта, 2015 Вот сегодня под 3/4 коронки работа была. Критикуйте преп и оттиск. Какие ошибки? Оттиск двухэтапный с пленкой.Очень понравилось! Все аккуратно с любовью сделано рассказывайте свой протокол с пленкой, в теории знаю, хочу от вас услышать. Только подробно: какую пленку в том числе Ссылка на комментарий
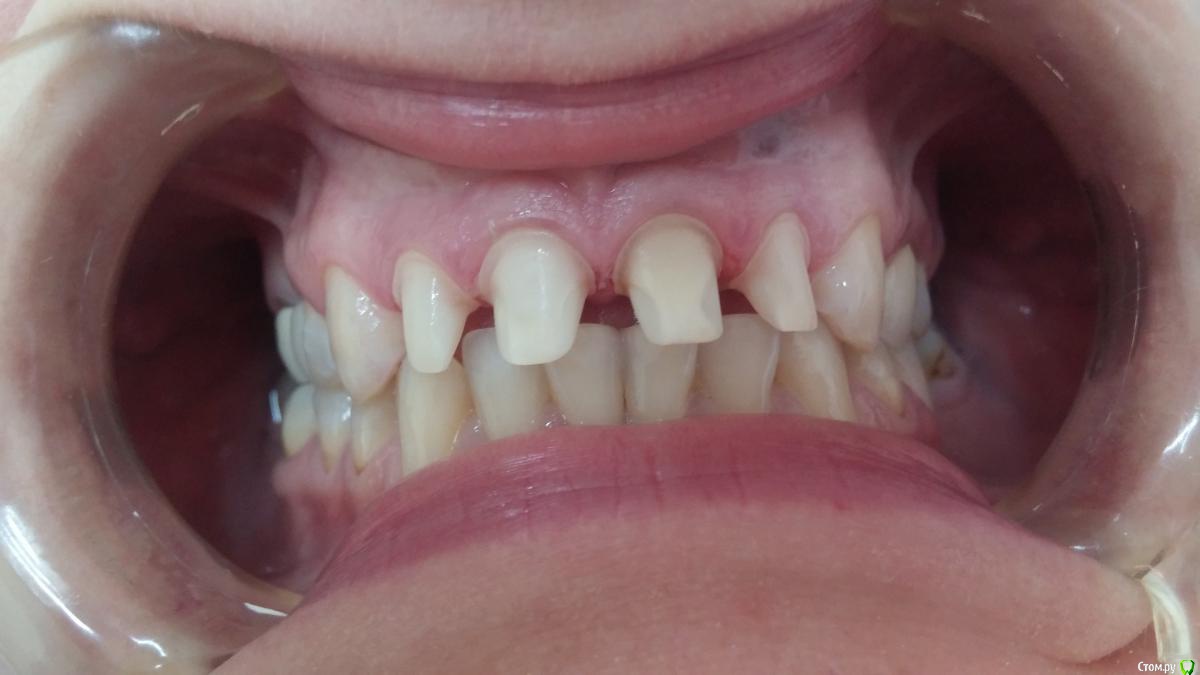
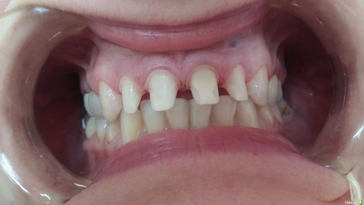
stomalolog Опубликовано 12 марта, 2015 Автор Поделиться Опубликовано 12 марта, 2015 Уступы и наддесневой преп есть, это хорошо. Я бы сделал скос больше, у Вас похоже на препарирование в одной плоскости, отсюда оверпреп под Emax, а также будущие реставрации будут сильно выступать вестибулярно, да и длина кажется великовата судя по клыкам, могу ошибаться. По оттискам, лучше сильнее проснимать зауступное пространство, меньше шансов на ошибку технику при обработке штампиков. Какую ретракцию использовали? Таблетку юы взял LT, более естественно будет выглядеть, учитывая что цвет культей примерно одинаков.Ретракция ультрапак 00 без пропитки. Преп примерно на уровне десны был, после меня терапевт залезла пломбы менять на всех зубах, а то очень светило и граница пломба-зуб была видна. Ну и вторичка кое где. Она нити ставила, и я после тоже. Поэтому не стал углубляться, десна на времянках опустится обратно. Фото до скину, там немного зубы выступают, сильно не хотелось точить. И композитные реставрации большие, поэтому пришлось сзади так далеко залазить. Скос имеете ввиду нижнюю часть завалить внутрь? Или как? Длину хочется больше сделать, чем было, но боюсь нижние резцы цеплять будут, в артикуляторе посмотрю через пару дней. Ссылка на комментарий
stomalolog Опубликовано 12 марта, 2015 Автор Поделиться Опубликовано 12 марта, 2015 Очень понравилось! Все аккуратно с любовью сделано рассказывайте свой протокол с пленкой, в теории знаю, хочу от вас услышать. Только подробно: какую пленку в том числе Я только чуть больше года работаю. Где то на форуме протокол и посмотрел. Так все впринципе и пытаюсь в практику ввести. В общем первый оттиск базой с нитями или 1 нитью, в зависимости от биотипа десны. Пленку беру самую крутую, нигде не продается, только на соседнем рынке, фирмы ноунейм по 60 рублей за 200 штук)) Пакеты обычные маечки, вырезаешь квадрат чуть больше ложки на в.ч или квадрат с разрезом на нижнюю, и на базу, так и вводишь в полость. Впринципе все, получаем основу где не надо вырезать перегородки, и есть место под отток корректа. Нить убираем, моем, сушим, и очень медленно практически без давления, вводим с корректом. Если придавить, база пружинит, и потом начинаются траблы с работой. Легко досадить потом, но все же зачем такие лишние движения) Все равно хочу научиться одноэтапные снимать, но пока мне не даются. Ссылка на комментарий
SDC Опубликовано 12 марта, 2015 Поделиться Опубликовано 12 марта, 2015 (изменено) Пленку беру самую крутую, нигде не продается Правильно! Изменено 12 марта, 2015 пользователем SDC Ссылка на комментарий
sydnik Опубликовано 12 марта, 2015 Поделиться Опубликовано 12 марта, 2015 почитайте здесь http://forum.stom.ru/topic/23246-prostaia-zagadka-pro-ottisk/?hl=%D0%BF%D0%BB%D0%B5%D0%BD%D0%BA%D0%B0 Ссылка на комментарий
Larnary Опубликовано 13 марта, 2015 Поделиться Опубликовано 13 марта, 2015 (изменено) Почитал. Облазил кучу сайтов,не могу найти такую рулонную пленку от GC или 3M. Одни технические. Кому не сложно,киньте ссылку в личку,где в Мск ее можно купить. Попробую тоже с пленочкой посниматьИ второе,есть ли на форуме хорошая тема с протоколом препарирования под виниры?интересует формирование уступа на 3/4 с небной поверхности резцов. Изменено 13 марта, 2015 пользователем Larnary Ссылка на комментарий
zubovnet Опубликовано 13 марта, 2015 Поделиться Опубликовано 13 марта, 2015 Как по мне, так тема с пленкой не самая лучшая. Чем толще слой коррегирки- тем больше остаточная усадка( у корегирки она ведь больше чем у базы) Я если двухэтапно снимаю- стараюсь, чтоб наоборот слой корегирки был тоньше. Идеи, возражения? 1 Ссылка на комментарий
Ibulat_1986 Опубликовано 16 марта, 2015 Поделиться Опубликовано 16 марта, 2015 Как по мне, так тема с пленкой не самая лучшая. Чем толще слой коррегирки- тем больше остаточная усадка( у корегирки она ведь больше чем у базы) Я если двухэтапно снимаю- стараюсь, чтоб наоборот слой корегирки был тоньше. Идеи, возражения?для начала Вы сами пробовали так?(имеется ввиду с помощью пленки)каким образом снимаете оттиски двухэтапно Вы? Ссылка на комментарий
SDC Опубликовано 16 марта, 2015 Поделиться Опубликовано 16 марта, 2015 (изменено) Почитал. Облазил кучу сайтов,не могу найти такую рулонную пленку от GC или 3M. Одни технические. Кому не сложно,киньте ссылку в личку,где в Мск ее можно купить. Попробую тоже с пленочкой посниматьИ второе,есть ли на форуме хорошая тема с протоколом препарирования под виниры?интересует формирование уступа на 3/4 с небной поверхности резцов.Для попробовать технологию, попробуйте шуршащие тонкие пакеты из супермаркета, а потом решите, нужно ли заморачиваться со СПЕЦИАЛЬНОЙ пленкой Ну или купите толстую пищевую пленку Изменено 16 марта, 2015 пользователем SDC 1 Ссылка на комментарий
Ibulat_1986 Опубликовано 16 марта, 2015 Поделиться Опубликовано 16 марта, 2015 Для попробовать технологию, попробуйте шуршащие тонкие пакеты из супермаркета, а потом решите, нужно ли заморачиваться со СПЕЦИАЛЬНОЙ пленкой Ну или купите толстую пищевую пленкуцеллофановой пленкой например Ссылка на комментарий
Рекомендуемые сообщения
Для публикации сообщений создайте учётную запись или авторизуйтесь
Вы должны быть пользователем, чтобы оставить комментарий
Создать аккаунт
Зарегистрируйте новый аккаунт в нашем сообществе. Это очень просто!
Регистрация нового пользователяВойти
Уже есть аккаунт? Войти в систему.
Войти