alexandrovna Опубликовано 11 марта, 2015 Поделиться Опубликовано 11 марта, 2015 Здравствуйте!Подскажите, пожалуйста, что делать - 10 марта ставили пломбу в зуб (зуб предварительно депульпировали) и стоматолог в полость зуба брызнула какой-то кислотой (гуще чем лимонный сок и кислее раз в 10), лечение было без коффердама, поэтому вся эта кислота пропала в рот и на остальные зубы, потом пару раз брызнули водой, но до конца не смыли-очень долго привкус этот во рту ощущала. Сейчас на слизистой рта такой чувство, как будто кипятка хлебнула, болят все зубы (ноют, реагируют на температурные раздражители и на сладкое) и очень неприятное чувство, когда зубы нижней челюсти к зубам верхней прикасаются-как будто об наждачку трутся. Эти ощущения и боли могут быть связаны с использованием этой кислоты? Что происходит с зубами и слизистой и что теперь делать? Звонить ли стоматологу? Спасибо! Ссылка на комментарий
red_butler Опубликовано 11 марта, 2015 Поделиться Опубликовано 11 марта, 2015 http://forum.stom.ru/topic/2813-obiazatelno-k-prochteniiu/ Звонить ли стоматологу? да Ссылка на комментарий
alexandrovna Опубликовано 11 марта, 2015 Автор Поделиться Опубликовано 11 марта, 2015 Стоматологу позвонила, даже сходила. Говорит, что не могло попасть кислоты, будто бы она ватку подставила. Но попало и еще как-я даже по незнанке ею рот прополоскала, когда смывали. Сказали антигистаминные попить и пастой намазать.Подскажите, чем можно зубы спасти? Болят, невозможно. Ссылка на комментарий
Гарриевич Опубликовано 11 марта, 2015 Поделиться Опубликовано 11 марта, 2015 ничего сверх опасного не произошло, даже если бы Вы ей 5 минут рот полоскали, просто химический ожог... можно провести курс фторирования, пока можете носить каппы с ремраствором, поможет Ссылка на комментарий
alexandrovna Опубликовано 12 марта, 2015 Автор Поделиться Опубликовано 12 марта, 2015 Спасибо за ответ!Ну я так и думала, что химический ожог. Про курс фторирования - всё-таки "можно" или "нужно"? Без него зубам хуже будет или кислота на них никак не повлияла? А где взять эти каппы? А вот еще такой вопрос-стенки зуба, который лечили-до сих пор шершавые и неровные - чем это может быть обусловлено и что можно сделать? Ссылка на комментарий
red_butler Опубликовано 12 марта, 2015 Поделиться Опубликовано 12 марта, 2015 Про курс фторирования - всё-таки "можно" или "нужно"? Без него зубам хуже будет или кислота на них никак не повлияла? нужен очный осмотр, хуже точно не будет А где взять эти каппы? делает стоматолог А вот еще такой вопрос-стенки зуба, который лечили-до сих пор шершавые и неровные - чем это может быть обусловлено и что можно сделать до полировать у своего врача Ссылка на комментарий
alexandrovna Опубликовано 12 марта, 2015 Автор Поделиться Опубликовано 12 марта, 2015 Спасибо за оперативный ответ! до полировать у своего врача А чем могут быть обусловлены "шершавость" и "неровность"? Сколом эмали? Или все не так страшно?) И когда теперь, самое раннее, можно будет сделать:1. Рентген, чтобы убедиться в правильности лечения? а то как будто и пломба отходит по краям уже, и вообще караул2. Чистку зубов (чтоб не усугубить влияние кислоты на них)? И еще вопросик в тему-чем язык помазать, раз химический ожог? а то болит, зараза... Спасибо!) Ссылка на комментарий
red_butler Опубликовано 12 марта, 2015 Поделиться Опубликовано 12 марта, 2015 (изменено) А чем могут быть обусловлены "шершавость" и "неровность"? Сколом эмали? Или все не так страшно?)нужен очный осмотр или фото хорошего качества 1. Рентген, чтобы убедиться в правильности лечения? а то как будто и пломба отходит по краям уже, и вообще караула что, снимков до, во время и после лечения не делали? 2. Чистку зубов (чтоб не усугубить влияние кислоты на них)?если все таки имеет место химический ожог, то пока делать нельзя И еще вопросик в тему-чем язык помазать, раз химический ожог? а то болит, зараза... дентальный солкосерил Сходите на консультацию к другому врачу Изменено 12 марта, 2015 пользователем red_butler 1 Ссылка на комментарий
Scrabble Опубликовано 12 марта, 2015 Поделиться Опубликовано 12 марта, 2015 Что касается ожога, то всё пройдёт: просто исключите пока из рациона всё острое, кислое, солёное, очень горячее. Зубы кардинально не пострадают, даже если протравочный гель на них попал. А депульпированный зуб лучше сфотографировать(во рту и рентген)-и посмотреть, может, нужно было всё-таки коронку делать. Ссылка на комментарий
alexandrovna Опубликовано 18 марта, 2015 Автор Поделиться Опубликовано 18 марта, 2015 а что, снимков до, во время и после лечения не делали? Делали, но они были плохого качества, доктор даже сказал, что ничего не видит, но переделать не дали. Всем спасибо!! Постараюсь сделать фото и рентген! Ссылка на комментарий
Goodman Опубликовано 24 марта, 2015 Поделиться Опубликовано 24 марта, 2015 попейте нимесил, чтобы уменьшить боли 1 Ссылка на комментарий
red_butler Опубликовано 24 марта, 2015 Поделиться Опубликовано 24 марта, 2015 попейте нимесил, чтобы уменьшить болиhttp://forum.stom.ru/topic/2813-obiazatelno-k-prochteniiu/не пишите в чужих темах, и уж точно не стоит давать советы не являясь специалистом Ссылка на комментарий
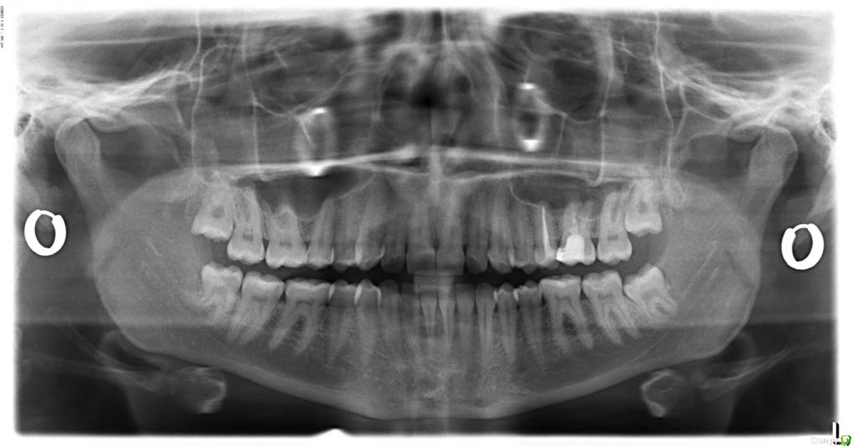
alexandrovna Опубликовано 29 марта, 2015 Автор Поделиться Опубликовано 29 марта, 2015 26 зуб все еще болит. Как советовали - сделала снимок (прикрепляю) и сходила на консультацию к другому специалисту. Вот что мне сказали, исходя из результатов внешнего осмотра (на рентгене, говорят, ничего не увидишь): 1. По 26 зубу - зуб может все еще болеть, так как предыдущий доктор не удалил сбоку временную пломбу, а просто перекрыл её (это говорил сам врач, который лечил "Она (временная пломба) так хорошо стенку зуба держит, не буду её удалять просто перекрою), поэтому нарушена герметичность (крючок застревает). Поэтому нужно перелечивать. Правда я не поняла, просто пломб переделать или каналы тоже нужно лечить (в каналах эндометазон). Переделывать у предыдущего врача не хочется, так как нет доверия и лечила мимо кассы(имела глупость).Других причин на рентгене сейчас не увидели, но сказали, что не раньше, чем через 2 месяца можно будет увидеть. 2. 15 зуб нужно срочно лечить, так как там боковой кариес на пол зуба. Внешне не видно, но там какая-то тень, которую может увидеть только специалист. 3. 45 зуб - там фиссурный кариес, но "я бы его на всякий случай вскрыла и забыла" 4. 37 и 47 зубы - кариес под пломбой. Поэтому их нужно перелечивать. Что-то из этого можно увидеть на рентгене, чтоб зря не лечить? Или просто снова довериться врачу? Сделала чистку и реминерализацию. Стало легче, действительно, зубы перестало сводить!! Спасибо! Сказали нужно еще 2 раза поставить капу. Ссылка на комментарий
red_butler Опубликовано 29 марта, 2015 Поделиться Опубликовано 29 марта, 2015 http://s018.radikal.ru/i522/1503/22/255a34ee615d.jpgтребуется повторное лечение корневых каналов зуба 2.6 с последующим протезированием Ссылка на комментарий
Гарриевич Опубликовано 29 марта, 2015 Поделиться Опубликовано 29 марта, 2015 По ОПтГ можно сказать, что 26 перелечиватьТо, что пломбировали эндометазоном тоже говорит в пользу перелечиванияА после, как уже сказал red_butler, зуб обязательно покрыть непрямой реставрацией 1 Ссылка на комментарий
Гарриевич Опубликовано 29 марта, 2015 Поделиться Опубликовано 29 марта, 2015 Для остального нужен очный осмотр и прицельные снимки Ссылка на комментарий
alexandrovna Опубликовано 29 марта, 2015 Автор Поделиться Опубликовано 29 марта, 2015 (изменено) http://s018.radikal.ru/i522/1503/22/255a34ee615d.jpgтребуется повторное лечение корневых каналов зуба 2.6 с последующим протезированием По ОПтГ можно сказать, что 26 перелечиватьТо, что пломбировали эндометазоном тоже говорит в пользу перелечиванияА после, как уже сказал red_butler, зуб обязательно покрыть непрямой реставрацией А скажите, пожалуйста, что там на снимке видно? Просто доктор сказал, что на снимке ничего плохого нет, а перелечивать надо потому, что временную пломбу не убрали и потому что болит.Спасибо! Изменено 29 марта, 2015 пользователем alexandrovna Ссылка на комментарий
alexandrovna Опубликовано 29 марта, 2015 Автор Поделиться Опубликовано 29 марта, 2015 Для остального нужен очный осмотр и прицельные снимкиНу то есть из панорамного больше ничего страшного не видно?А по прицельным снимках, без осмотра, что-то можно увидеть?Спасибо. Ссылка на комментарий
Гарриевич Опубликовано 29 марта, 2015 Поделиться Опубликовано 29 марта, 2015 сделайте прицельные снимки этого зуба, тогда будет точно яснопо ОПтГ он как будто полупустой Ссылка на комментарий
alexandrovna Опубликовано 31 марта, 2015 Автор Поделиться Опубликовано 31 марта, 2015 (изменено) Сделала снимок. Правда дали распечатку не очень хорошего качества и возможности отсканировать пока нет. Доктор сказал над 26 зубом очаг инфекции, пропить нимесил, перелечить зуб. Еще показалось ему (доктору), что в одном канале (по середине который) обломок инструмента и вообще, он полупустой. Не поможет-вырывать. Изменено 31 марта, 2015 пользователем alexandrovna Ссылка на комментарий
Гарриевич Опубликовано 31 марта, 2015 Поделиться Опубликовано 31 марта, 2015 однозначно перелечивать Ссылка на комментарий
alexandrovna Опубликовано 1 апреля, 2015 Автор Поделиться Опубликовано 1 апреля, 2015 однозначно перелечивать А нимесил пить? Просто мы прочитали инструкцию - там про инфекцию не слова, только про снятие болевого синдрома. И действительно может так быть, что лечение не поможет и придётся удалять зуб? И еще такой вопрос-можно как-то отметить проблемные зоны на снимке, чтоб я могла показать их врачу, а не стояла и не слушала, что "всё в порядке, так и должно быть". Спасибо большое. Ссылка на комментарий
M@estro Опубликовано 3 апреля, 2015 Поделиться Опубликовано 3 апреля, 2015 (изменено) Не поможет-вырывать. Супер ! И пятёрку тогда сразу ) Там тоже подобное лечение "не поможет" . Лечить . P.s. Серьги симпатичные Изменено 3 апреля, 2015 пользователем M@estro Ссылка на комментарий
alexandrovna Опубликовано 4 апреля, 2015 Автор Поделиться Опубликовано 4 апреля, 2015 Супер ! И пятёрку тогда сразу ) Там тоже подобное лечение "не поможет" . Лечить . P.s. Серьги симпатичные Успокоили!!))) Ахаха, Спасибо))) Почему-то не сказали, что снять нужно)) Ссылка на комментарий
Рекомендуемые сообщения
Для публикации сообщений создайте учётную запись или авторизуйтесь
Вы должны быть пользователем, чтобы оставить комментарий
Создать аккаунт
Зарегистрируйте новый аккаунт в нашем сообществе. Это очень просто!
Регистрация нового пользователяВойти
Уже есть аккаунт? Войти в систему.
Войти