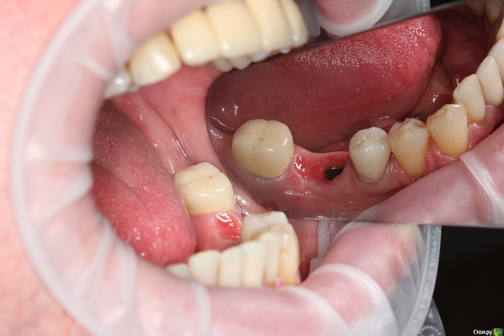
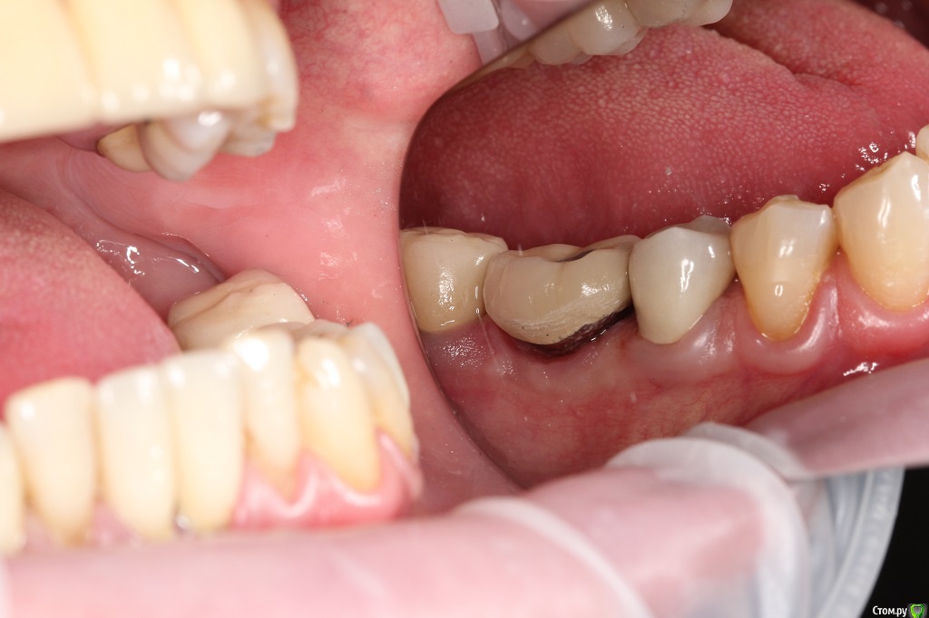
Dr.Sham Опубликовано 11 марта, 2015 Поделиться Опубликовано 11 марта, 2015 (изменено) Год назад в другой клиник пациенту устанавливали имплантаты, вроде одномоментно с удалением.На сегодняшний день жалобы стандартные для такой ситуации (пища застревает, запах изо рта).Коронки демонтировал, увидел "козырьки", нехватку десны, отсутсвие 3 мм от профиля прорезывния до платформы.По КТ, стандартно для селекта - отсутсвие 1,5-2 мм кости по кругу, в полости рта признаков воспаления я не диагностирую, отделяемого нет. На данный момент просто выполировал шейки, чтобы не было козырьков, но пища застревает еще больше, насколько я понимаю. В области 36 - язычно норм, вестибулярно - всего 1 мм, расщепить лоскут вестибулярно и подсадить трансплантат с неба, получим ширину, но не высоту, но как без козырька размоделировать коронку?В области 45 - вестибулярно высота есть, а язычно всего 1 мм, расеплять язычно ищечно и добавлять десну?Если так, то на фдмках вести или как?В области 46 - высота есть по кругу, но нет ЗКПД, какой метод предпочесть, чтобы сохранить уже имеющуюся БШ?Как выходить из ситуации?Кто что думает. Спасибо.Теоретически можно вынуть болты, но интегрированный нобель пару раз выкручивал - выпиливал, удовольствие сомнительное.ПС кстати обратите внимание на цемент на границе коронка-абатмент! Изменено 11 марта, 2015 пользователем Dr.Sham Ссылка на комментарий
Doctorstomlis Опубликовано 11 марта, 2015 Поделиться Опубликовано 11 марта, 2015 Год назад в другой клиник пациенту устанавливали имплантаты, вроде одномоментно с удалением.На сегодняшний день жалобы стандартные для такой ситуации (пища застревает, запах изо рта).Коронки демонтировал, увидел "козырьки", нехватку десны, отсутсвие 3 мм от профиля прорезывния до платформы.По КТ, стандартно для селекта - отсутсвие 1,5-2 мм кости по кругу, в полости рта признаков воспаления я не диагностирую, отделяемого нет. На данный момент просто выполировал шейки, чтобы не было козырьков, но пища застревает еще больше, насколько я понимаю. В области 36 - язычно норм, вестибулярно - всего 1 мм, расщепить лоскут вестибулярно и подсадить трансплантат с неба, получим ширину, но не высоту, но как без козырька размоделировать коронку?В области 45 - вестибулярно высота есть, а язычно всего 1 мм, расеплять язычно ищечно и добавлять десну?Если так, то на фдмках вести или как?В области 46 - высота есть по кругу, но нет ЗКПД, какой метод предпочесть, чтобы сохранить уже имеющуюся БШ?Как выходить из ситуации?Кто что думает. Спасибо.Теоретически можно вынуть болты, но интегрированный нобель пару раз выкручивал - выпиливал, удовольствие сомнительное.ПС кстати обратите внимание на цемент на границе коронка-абатмент!Может быть пища застревает с апроксимальных поверхностей?Тогда возможно надо на коронке добавить керамики и сделать более плотный плоскостной контакт? Ссылка на комментарий
SDC Опубликовано 11 марта, 2015 Поделиться Опубликовано 11 марта, 2015 Переделайте на циркониевых абатментах 5 Ссылка на комментарий
Dreamevil Опубликовано 12 марта, 2015 Поделиться Опубликовано 12 марта, 2015 Индивидуальный абатмент, а из циркония или титана это уже сами решайте) 1 Ссылка на комментарий
andrey75 Опубликовано 12 марта, 2015 Поделиться Опубликовано 12 марта, 2015 Индивидуализируйте и процера Вам в помощь. Ссылка на комментарий
Dr.Sham Опубликовано 12 марта, 2015 Автор Поделиться Опубликовано 12 марта, 2015 При чем здесь абатменты. мы говорим, что профиль прорезывания не оптимален из-за отсутствия 3 мм от платформы до края десны. тут 1 мм от имплантата до края десны. вопрос: можно ли оптимизировать подсадкой десны? Если нет, то как уже не раз упоминалось, десне безразлично, чем ее поддерживать коронкой или инд.абатментом. Ссылка на комментарий
SDC Опубликовано 12 марта, 2015 Поделиться Опубликовано 12 марта, 2015 (изменено) При чем здесь абатменты. мы говорим, что профиль прорезывания не оптимален из-за отсутствия 3 мм от платформы до края десны Абатменты и профиль прорезываиня - для устранения причин, приведших пациента к Вам. А если Вы хотите с этой работой в стайл итальяно, то надо бугры... тово - трансплантировать в зону имплантатов. Если взять с бугров, то можно попробовать. А снимки покажете? Изменено 12 марта, 2015 пользователем SDC Ссылка на комментарий
CToMaToJlor Опубликовано 13 марта, 2015 Поделиться Опубликовано 13 марта, 2015 Коронки выбросить, работа с десной, работа с десной времянками. Можно получить более оптимальный результат в плане гигиены, за счет компромисса с анатомией и эстетикой Ссылка на комментарий
Рекомендуемые сообщения
Для публикации сообщений создайте учётную запись или авторизуйтесь
Вы должны быть пользователем, чтобы оставить комментарий
Создать аккаунт
Зарегистрируйте новый аккаунт в нашем сообществе. Это очень просто!
Регистрация нового пользователяВойти
Уже есть аккаунт? Войти в систему.
Войти