Популярный пост als00 Опубликовано 8 марта, 2015 Популярный пост Поделиться Опубликовано 8 марта, 2015 (изменено) Фронт н/ч Изменено 8 марта, 2015 пользователем als00 29 Ссылка на комментарий
carloss Опубликовано 8 марта, 2015 Поделиться Опубликовано 8 марта, 2015 Супер! 1 Ссылка на комментарий
als00 Опубликовано 8 марта, 2015 Автор Поделиться Опубликовано 8 марта, 2015 Для тебя, Карен!))) 1 Ссылка на комментарий
Большой Зеленый Опубликовано 8 марта, 2015 Поделиться Опубликовано 8 марта, 2015 Алексей,а что под ламиной?Какой графт? Ссылка на комментарий
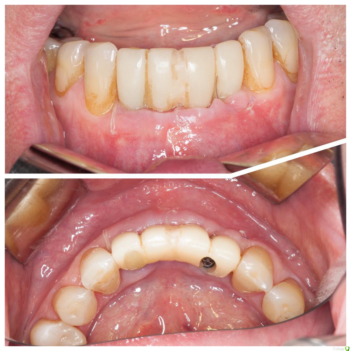
Mane Опубликовано 8 марта, 2015 Поделиться Опубликовано 8 марта, 2015 Выросла кость хорошо. Вы молодец!А что это на фото справа внизу последнее??? Никак не могу понять. Ссылка на комментарий
als00 Опубликовано 8 марта, 2015 Автор Поделиться Опубликовано 8 марта, 2015 Графт мр3+ауто. На последней картинке на день снятия швов. Вр протез и грязные зубы)) Ссылка на комментарий
Mane Опубликовано 8 марта, 2015 Поделиться Опубликовано 8 марта, 2015 Извините я неправильно выразился. Что это такое Ссылка на комментарий
als00 Опубликовано 8 марта, 2015 Автор Поделиться Опубликовано 8 марта, 2015 (изменено) это сст с неба. он был уложен вестибулярно и окклюзионно уже после интеграции имплантатов. ортопед попросил добавить объема десны. последняя картинка как раз перед снятием швов.т.е. в момент имплантации сделал шашлыки.через неделю вр протез. затем через несу месяцев добавил этот сст с снова одели протез. спасибо за Вашу оценку Изменено 8 марта, 2015 пользователем als00 1 Ссылка на комментарий
Mane Опубликовано 8 марта, 2015 Поделиться Опубликовано 8 марта, 2015 просто приложили - теперь понятно. с телефона не все понятно. а скомпьютера глянул - понятно!ждем завершения кейса Ссылка на комментарий
als00 Опубликовано 8 марта, 2015 Автор Поделиться Опубликовано 8 марта, 2015 теперь ортопед работает . надеюсь получится хорошо Ссылка на комментарий
ILGAMSA Опубликовано 9 марта, 2015 Поделиться Опубликовано 9 марта, 2015 Отлично! Ссылка на комментарий
Sir Edward'S Опубликовано 9 марта, 2015 Поделиться Опубликовано 9 марта, 2015 отличная работа !сколько времени заняли все хирургические этапы ? Ссылка на комментарий
als00 Опубликовано 9 марта, 2015 Автор Поделиться Опубликовано 9 марта, 2015 спасибо. 7 месяцев после первой операции. 4 месяца после имплантации. Ссылка на комментарий
Acidrocker Опубликовано 9 марта, 2015 Поделиться Опубликовано 9 марта, 2015 вау. это очень круто! Ссылка на комментарий
als00 Опубликовано 9 марта, 2015 Автор Поделиться Опубликовано 9 марта, 2015 спасибо Ссылка на комментарий
Рекомендуемые сообщения
Для публикации сообщений создайте учётную запись или авторизуйтесь
Вы должны быть пользователем, чтобы оставить комментарий
Создать аккаунт
Зарегистрируйте новый аккаунт в нашем сообществе. Это очень просто!
Регистрация нового пользователяВойти
Уже есть аккаунт? Войти в систему.
Войти