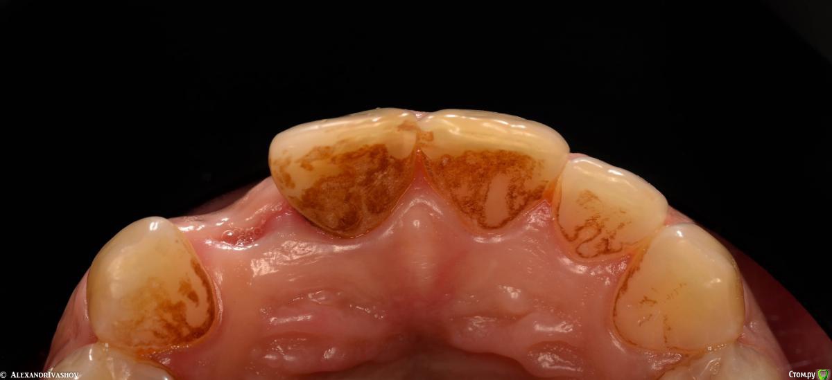
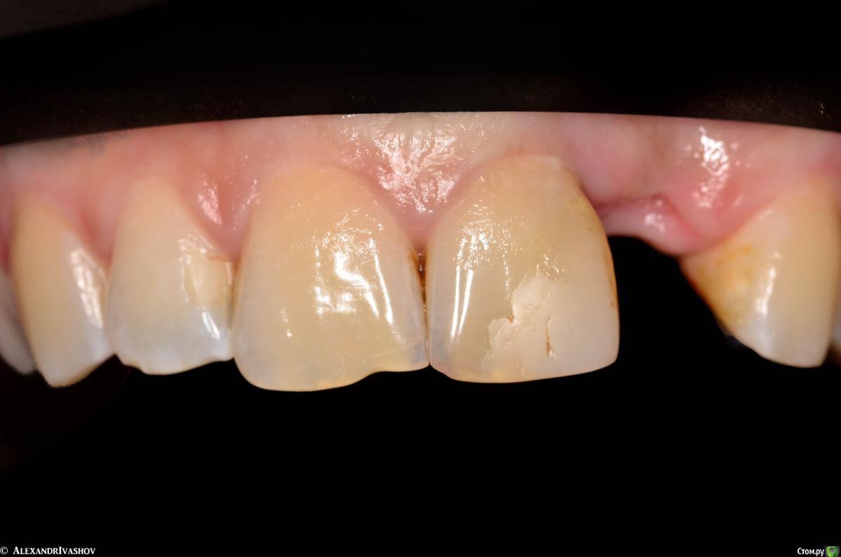
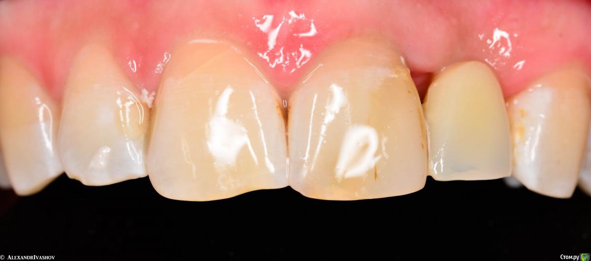
Alexandr Iv Опубликовано 6 марта, 2015 Поделиться Опубликовано 6 марта, 2015 (изменено) Как вы восстанавливаете эстетику после удаления одного зуба во фронте? Планируется имплантация. Хирург сказал пациентке, что это будет через 6 мес. На это время предложил съемную косметичку.Я предложил сделать несъемную косметичку.Вот такой протокол.Исходная ситуация: Очистка зубов (AirFlow), проверка контактов в ЦО, изоляция, песок (DentoPrep): Протравка: Перед внесением адгезива: Далее адгезивная подготовка, фиксация двух флексдуг (одна на одну соседнюю опору с каждой стороны, другая на две), примерка гарнетурного зуба (SuperLux, A3), пропил в нем под дугу, примерка зуба: После этого отмечается точка на гарнитурном зубе где не будет фиксирующего композита к дуге, полировка до этой точки "промывного пространства": Вклеевание гарнитурного зуба в дугу: Полировка: Итог: Изменено 6 марта, 2015 пользователем Alexandr Iv 8 Ссылка на комментарий
AlexanderGudkov Опубликовано 6 марта, 2015 Поделиться Опубликовано 6 марта, 2015 (изменено) Симпатишно, но сложновато) я тупо клею зуб из пластмассы к апроксималкам соседних зубов на комплзит. Держится отлично, но не так эстетично, как у вас Изменено 6 марта, 2015 пользователем AlexanderGudkov 1 Ссылка на комментарий
Чертков Александр Опубликовано 6 марта, 2015 Поделиться Опубликовано 6 марта, 2015 Саня, ну оооооочень замороченно. Начало оставь как есть, а потом тупо лепи из композита ....никуда не денется 3 Ссылка на комментарий
Большой Зеленый Опубликовано 6 марта, 2015 Поделиться Опубликовано 6 марта, 2015 6 месяцев многовато .. 2 Ссылка на комментарий
Чертков Александр Опубликовано 6 марта, 2015 Поделиться Опубликовано 6 марта, 2015 6 месяцев многовато .."Староверы" 8 Ссылка на комментарий
Stomart Опубликовано 6 марта, 2015 Поделиться Опубликовано 6 марта, 2015 Многовато проволоки, будут проблемы гигиеной и 21 и 14 зубов, которые к дефекту никак не относятся. Думаю вполне хватило бы прикрепить к соседним зубам. 2 Ссылка на комментарий
Alexandr Iv Опубликовано 6 марта, 2015 Автор Поделиться Опубликовано 6 марта, 2015 (изменено) Многовато проволоки, будут проблемы гигиеной и 21 и 14 зубов, которые к дефекту никак не относятся. Думаю вполне хватило бы прикрепить к соседним зубам.Зуб удалили по поводу радикулярной кисты. Была подвижность 2.1. Изменено 6 марта, 2015 пользователем Alexandr Iv Ссылка на комментарий
PLAY Опубликовано 7 марта, 2015 Поделиться Опубликовано 7 марта, 2015 никск нельзябыло вылечить??? из за кисты удалять??? в дальнейшем будет эстетическаяпроблема, костного пика между 2.1,2.2 уже нет и сосочек пропалгарнитурный зуб в виде овоида??? Ссылка на комментарий
Ibulat_1986 Опубликовано 7 марта, 2015 Поделиться Опубликовано 7 марта, 2015 тоже иногда использую гарнитурные зубы, только такие мосты стараюсь делать непосредственно после удаления, меньше травмы пищевым комком и, как следствие, большая сохранность мягких тканей. Ссылка на комментарий
Alexandr Iv Опубликовано 10 марта, 2015 Автор Поделиться Опубликовано 10 марта, 2015 никак нельзя было вылечить??? из за кисты удалять??? в дальнейшем будет эстетическая проблема, костного пика между 2.1,2.2 уже нет и сосочек пропалгарнитурный зуб в виде овоида???Пациентка пришла ко мне уже после удаления (через месяц).. Лечение проходило не у меня. Рентген выложу как придет она на контрольный осмотр (снимок на руках). Да, в виде овойда, но костной поддержки десны.. увы.. Ссылка на комментарий
Alexandr Iv Опубликовано 10 марта, 2015 Автор Поделиться Опубликовано 10 марта, 2015 тоже иногда использую гарнитурные зубы, только такие мосты стараюсь делать непосредственно после удаления, меньше травмы пищевым комком и, как следствие, большая сохранность мягких тканей.Плюсую! 1 Ссылка на комментарий
Евгений Ходыкин Опубликовано 11 марта, 2015 Поделиться Опубликовано 11 марта, 2015 Меняйте хирурга, дабы тот мог адекватно менять зуб на имплантат... Ссылка на комментарий
Рекомендуемые сообщения
Для публикации сообщений создайте учётную запись или авторизуйтесь
Вы должны быть пользователем, чтобы оставить комментарий
Создать аккаунт
Зарегистрируйте новый аккаунт в нашем сообществе. Это очень просто!
Регистрация нового пользователяВойти
Уже есть аккаунт? Войти в систему.
Войти