Валентина85 Опубликовано 4 марта, 2015 Поделиться Опубликовано 4 марта, 2015 (изменено) Здравствуйте! Зуб верхняя пятерка справа, в конце января пролечили по поводу пульпита. Примерно через 2 недели зуб стал болеть при постукивании, причем боль только при постукивании по передней стенке в горизонтальном направлении, при постукивании по жевательной поверхности не больно - только немного не приятно. И после постукивания по зубу появляется несильная ноющая боль продолжительностью минут 30. Также в первые несколько дней после лечения сильно болела десна между 5 и 6 зубами и до сегодняшнего дня сохраняется постоянное незначительное чувство дискомфорта в этом районе, которое незначительно усиливается к вечеру и незначительно усиливается от горячего. Десна не кровоточит, внешне выглядит нормально. И раньше вообще никогда никаких проблем с деснами не было. Изменено 4 марта, 2015 пользователем Валентина85 Ссылка на комментарий
Гарриевич Опубликовано 5 марта, 2015 Поделиться Опубликовано 5 марта, 2015 Нитка между зубами ни за что не цепляет? Выходит целой? Ссылка на комментарий
Валентина85 Опубликовано 5 марта, 2015 Автор Поделиться Опубликовано 5 марта, 2015 Не цепляется, не рвется, все норм Ссылка на комментарий
Гарриевич Опубликовано 5 марта, 2015 Поделиться Опубликовано 5 марта, 2015 Нк своему лечащему врачу обращались? Ссылка на комментарий
Валентина85 Опубликовано 5 марта, 2015 Автор Поделиться Опубликовано 5 марта, 2015 Гарриевич, большое спасибо, что уделяете внимание моей проблеме. К врачу обращалась. Несколько дней назад. На счет десны между 5 и 6 смотрел только визуально, сказал что выглядит все норм. На счет того что, сильнее зуб реагирует при постукивании именно по передней поверхности я тогда так конкретно не говорила (это я поняла только вчера, когда уже самостоятельно простучала зуб со всех сторон перед написанием сообщения на форуме ), жалобы были просто на то, что больно при постукивании вообще. Постучал по зубам: когда было больно, когда нет. Доктор говорит, что по снимку корневой канал запломбирован хорошо, смысла перелечивать зуб не видит. Причину этих симптомов объясняет просто повышенной чувствительностью на саму процедуру лечения. Говорит, что со временем это должно пройти. На сегодняшний день прошло уже почти 1,5 месяца после лечения. Никакой положительной динамики не наблюдается. В связи этим требуется альтернативное мнение специалистов с этого форума. Спасибо. Ссылка на комментарий
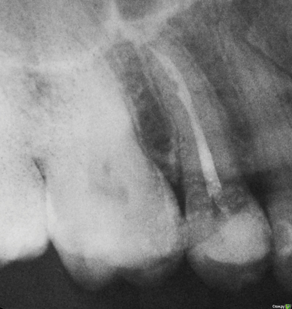
Гарриевич Опубликовано 5 марта, 2015 Поделиться Опубликовано 5 марта, 2015 Пожалуйста. Нам самим тоже интересно Есть снимок до лечения? Ссылка на комментарий
Валентина85 Опубликовано 5 марта, 2015 Автор Поделиться Опубликовано 5 марта, 2015 Снимка нет Зуб был 8 лет назад пролечен по кариесу, был живой. Под пломбой случился вторичный кариес. Сначала просто пролечили по обратимому пульпиту, заменили пломбу, не депульпировали в надежде что организм справиться. Но зуб стал болеть сразу после лечения, тогда уже депульпировали и в то же посещение сразу запломбировали каналы постоянным материалом - гуттаперчей. В процессе лечения доктор сказал, что немного кровило, но некритично. Сказал что у зуба 1 прямой канал, что никаких латералей мануально и по снимку не обнаружил, что случай не сложный. Работали с коффердамом, промывали гипохроритом, был апекс-локатор и самоадаптирующиеся файлы - все по последней моде Ссылка на комментарий
Гарриевич Опубликовано 5 марта, 2015 Поделиться Опубликовано 5 марта, 2015 Работали с коффердамом, промывали гипохроритом, был апекс-локатор и самоадаптирующиеся файлы - все по последней моде Это отлично, что доктор у Вас в тренде Раз так, ищите проблему у пародонтолога. Большего по вводным данным предположить не могу Ссылка на комментарий
Валентина85 Опубликовано 5 марта, 2015 Автор Поделиться Опубликовано 5 марта, 2015 ищите проблему у пародонтолога Спасибо за ответ! 1. Т.е. Вы считаете что инфекция в периодонт попадает не через корневой канал, а через десневой карман между 5 и 6 зубом? 2. Если до лечения десна была абсолютно здоровой, даже гингивита никогда не было то сможет ли при такой небольшой локальной травме как в моем случае она восстановиться самостоятельно (единственные варианты которые приходят на ум - была травма от матрицы или когда одевали коффердам с помощью нити, больше вроде-бы никаких травм не было )? или если зуб уже болит при постукивании то само полюбому не пройдет? 3. Имеет ли смысл сначала идти к своему доктору, чтобы он проверил зондом есть ли там карман или сразу к пародонтологу? Ссылка на комментарий
Гарриевич Опубликовано 5 марта, 2015 Поделиться Опубликовано 5 марта, 2015 1 Не считаю. По снимку все смотрится прилично и даже при самой плохой работе без коффердама и прочего, герметизм пломбы за 2 месяца не рухнет2 Может и само пройти, мы человеки - народ странный 3 в любом случае согласовывайте действия с Вашим лечащим врачом, а пародонтолог у него в клинике я думаю найдется Ссылка на комментарий
Валентина85 Опубликовано 5 марта, 2015 Автор Поделиться Опубликовано 5 марта, 2015 1. Т.е. Вы считаете что инфекция в периодонт попадает не через корневой канал, а через десневой карман между 5 и 6 зубом? 1 Не считаю. По снимку все смотрится прилично и даже при самой плохой работе без коффердама и прочего, герметизм пломбы за 2 месяца не рухнет Я правильно Вас понимаю? Вы говорите что НЕ считаете что инфекция в периодонт попадает через десневой карман, т.е. получается через корневой канал? и при этом утверждаете что пломба герметична? Ссылка на комментарий
Валентина85 Опубликовано 5 марта, 2015 Автор Поделиться Опубликовано 5 марта, 2015 (изменено) Или Вы считаете что там нет инфекции вообще? Почему тогда зуб уже 1,5 месяца болит при постукивании? Изменено 5 марта, 2015 пользователем Валентина85 Ссылка на комментарий
Scrabble Опубликовано 5 марта, 2015 Поделиться Опубликовано 5 марта, 2015 (изменено) А зачем Вы его постукиваете? Если каждый день постукивать что бы то ни было живое-оно будет болеть. Изменено 5 марта, 2015 пользователем Scrabble Ссылка на комментарий
Гарриевич Опубликовано 6 марта, 2015 Поделиться Опубликовано 6 марта, 2015 Или Вы считаете что там нет инфекции вообще? Почему тогда зуб уже 1,5 месяца болит при постукивании?Судя по Вашему описанию работы доктора, могу считать, что там вообще нет инфекции внутри зуба и она туда не попадает изза герметичной пломбы. То, что болезненно у Вас постукивание именно сбоку, со стороны щеки или неба, говорит в пользу пародонта. Поэтому и рекомендовал Вам его Ссылка на комментарий
Валентина85 Опубликовано 6 марта, 2015 Автор Поделиться Опубликовано 6 марта, 2015 А зачем Вы его постукиваете? Если каждый день постукивать что бы то ни было живое-оно будет болеть. Почему Вы решили что каждый день? И почему Вы решили что это делаю я сама?Это делает мой доктор когда я бываю на приеме и жалуюсь на дискомфорт в этой области. Постукивание, я так понимаю, в данном случае это способ диагностики. Для чистоты эксперимента и чтобы не вводить в заблуждение докторов данного форума, правда пришлось 1 раз все-таки по зубу постучать самостоятельно - см. пост №5 Ссылка на комментарий
Валентина85 Опубликовано 6 марта, 2015 Автор Поделиться Опубликовано 6 марта, 2015 Судя по Вашему описанию работы доктора, могу считать, что там вообще нет инфекции внутри зуба и она туда не попадает изза герметичной пломбы. То, что болезненно у Вас постукивание именно сбоку, со стороны щеки или неба, говорит в пользу пародонта. Поэтому и рекомендовал Вам его Я все поняла. Спасибо. Ссылка на комментарий
Рекомендуемые сообщения
Для публикации сообщений создайте учётную запись или авторизуйтесь
Вы должны быть пользователем, чтобы оставить комментарий
Создать аккаунт
Зарегистрируйте новый аккаунт в нашем сообществе. Это очень просто!
Регистрация нового пользователяВойти
Уже есть аккаунт? Войти в систему.
Войти