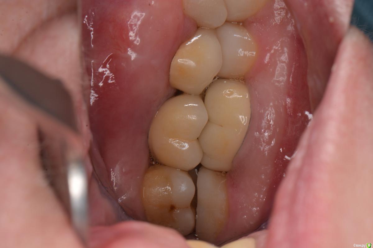
togrul Опубликовано 3 марта, 2015 Поделиться Опубликовано 3 марта, 2015 (изменено) Добрый вечер. Снимки в день сдачи. Изменено 3 марта, 2015 пользователем togrul 4 1 Ссылка на комментарий
Dr.Zoom Опубликовано 3 марта, 2015 Поделиться Опубликовано 3 марта, 2015 Прикольно, а на винте не лучше? Ссылка на комментарий
togrul Опубликовано 3 марта, 2015 Автор Поделиться Опубликовано 3 марта, 2015 На винтовой фиксации?Есть показания для винтовой фиксации. Ссылка на комментарий
Aquarius Опубликовано 3 марта, 2015 Поделиться Опубликовано 3 марта, 2015 Добрый вечер. Снимки в день сдачи.Отлично! А эта десневая маска мягкая? Ссылка на комментарий
togrul Опубликовано 3 марта, 2015 Автор Поделиться Опубликовано 3 марта, 2015 Спасибо. Я бы не сказал, достаточно жесткая. Жермаковская если не ошибаюсь. Ссылка на комментарий
Aquarius Опубликовано 3 марта, 2015 Поделиться Опубликовано 3 марта, 2015 Спасибо. Я бы не сказал, достаточно жесткая. Жермаковская если не ошибаюсь.Я несколько раз недосаживал работы из-за масок. После пыток техники сознавались, что чуть-чуть срезали дёсенку на профиле прорезывания((( И всё...... Ссылка на комментарий
togrul Опубликовано 3 марта, 2015 Автор Поделиться Опубликовано 3 марта, 2015 Я несколько раз недосаживал работы из-за масок. После пыток техники сознавались, что чуть-чуть срезали дёсенку на профиле прорезывания((( И всё......Не сталкивался с этим) 1 Ссылка на комментарий
Magomed Опубликовано 3 марта, 2015 Поделиться Опубликовано 3 марта, 2015 Я несколько раз недосаживал работы из-за масок. После пыток техники сознавались, что чуть-чуть срезали дёсенку на профиле прорезывания((( И всё......делайте анестезию))) и всё сядет 2 Ссылка на комментарий
Aquarius Опубликовано 3 марта, 2015 Поделиться Опубликовано 3 марта, 2015 делайте анестезию))) и всё сядет)))))) Ссылка на комментарий
Dr.Zoom Опубликовано 3 марта, 2015 Поделиться Опубликовано 3 марта, 2015 На винтовой фиксации?Есть показания для винтовой фиксации.Да, на винтовой фиксации. Толщина слизистой хорошая и цемент проблемно будет вычистить, да и контур прорезывания покрасивее можно сделать Ссылка на комментарий
Ibulat_1986 Опубликовано 3 марта, 2015 Поделиться Опубликовано 3 марта, 2015 Добрый вечер. Снимки в день сдачи. на вкладке ваша подпись? лол Ссылка на комментарий
togrul Опубликовано 4 марта, 2015 Автор Поделиться Опубликовано 4 марта, 2015 на вкладке ваша подпись? лол Нет случайно так получилось. Увидел на фотографиях потом. ) 1 Ссылка на комментарий
Рекомендуемые сообщения
Для публикации сообщений создайте учётную запись или авторизуйтесь
Вы должны быть пользователем, чтобы оставить комментарий
Создать аккаунт
Зарегистрируйте новый аккаунт в нашем сообществе. Это очень просто!
Регистрация нового пользователяВойти
Уже есть аккаунт? Войти в систему.
Войти