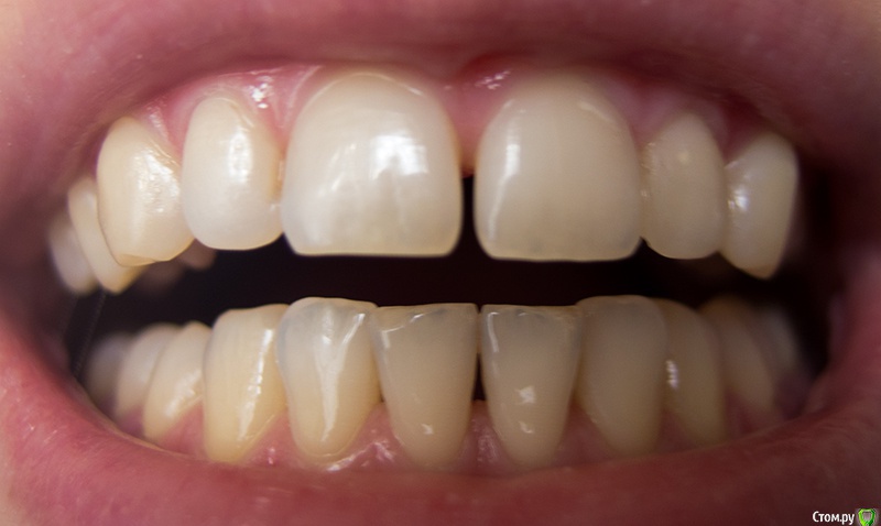
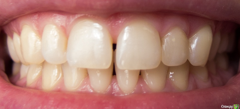
ptichka Опубликовано 1 марта, 2015 Поделиться Опубликовано 1 марта, 2015 ЗдравствуйтеМне 34 года.Беспокоит субъективно продолжающееся уменьшение межзубных сосочков между нижними резцами (впервые заметила около 10 лет назад) - особенно центральными, и по чуть-чуть между центральным и боковым резцом на обеих челюстях.Эта проблема почти не заметна в жизни, т.к. промежуток заполняется слюной и отсвечивает.Зубы не шатаются, зубного камня нет (то есть он не образуется). Имеет ли смысл делать рентген и т.п. Если межзубные промежутки действительно атрофируются, есть ли какое-то лечение в данный момент? Если какой-то способ сделать десневой сосочек более объемным в чисто косметических целях? Ссылка на комментарий
krokomot Опубликовано 1 марта, 2015 Поделиться Опубликовано 1 марта, 2015 http://forum.stom.ru/topic/20613-sovety-patcientam-obiazatelno-k-prochteniiu/ Ссылка на комментарий
ptichka Опубликовано 2 марта, 2015 Автор Поделиться Опубликовано 2 марта, 2015 http://forum.stom.ru/topic/20613-sovety-patcientam-obiazatelno-k-prochteniiu/ Извините, пошла сделала рентген, но качество снимка оставляет желать лучшего (действительно такое качество, лучше не сфотографировать). Дело в качестве снимка, или все так плохо? Переделывать снимок есть резон (это уже второй рентген и так за последний год)? Пожалуйста, подскажите что-нибудь, очень переживаю на эту тему. Ссылка на комментарий
krokomot Опубликовано 2 марта, 2015 Поделиться Опубликовано 2 марта, 2015 Судя по снимку и фотографиям у вас все в порядке, разве что чистите неправильно зубы. Беспокоится особенно не о чем. 1 Ссылка на комментарий
ptichka Опубликовано 2 марта, 2015 Автор Поделиться Опубликовано 2 марта, 2015 Судя по снимку и фотографиям у вас все в порядке, разве что чистите неправильно зубы. Беспокоится особенно не о чем. Большое спасибо! А почему неправильно чищу? Чищу как учили: зубной нитью сначала, потом от десны по бокам, потом круговыми движениями жевательные поверхности. Ссылка на комментарий
krokomot Опубликовано 2 марта, 2015 Поделиться Опубликовано 2 марта, 2015 Основные движения выметающие от десны, в пришеечной области(около десны) оч. бережноПо поводу зубов с пломбированными каналами нужно сделать прицельные снимки 2 Ссылка на комментарий
ptichka Опубликовано 3 марта, 2015 Автор Поделиться Опубликовано 3 марта, 2015 Основные движения выметающие от десны, в пришеечной области(около десны) оч. бережноПо поводу зубов с пломбированными каналами нужно сделать прицельные снимки Не знаю, как обеспечить бережную чистку у десны. Мягкие щеки некачественно чистят. Я пользуюсь средней жесткости, при этом они через неделю использования уже начинают распушаться по краям и возможно травмируют этими торчащими щетинками десны. Даже обычные с прямой щетиной, всякие перекрестные ещё хуже. Я пользуюсь щетками R.O.C.S.А что не так с каналами? Там штифты стоят. Ссылка на комментарий
krokomot Опубликовано 3 марта, 2015 Поделиться Опубликовано 3 марта, 2015 Если щетка распушается значит вы слишком на нее давите, А что не так с каналами? Там штифты стоят. немогу ответить пока не сделаете прицельные снимки, я же написал Ссылка на комментарий
ptichka Опубликовано 3 марта, 2015 Автор Поделиться Опубликовано 3 марта, 2015 Если щетка распушается значит вы слишком на нее давите, немогу ответить пока не сделаете прицельные снимки, я же написал Насчет щетки - спасибо за подсказку, сама почему-то не додумалась сделать такой вывод. Насчет зубов - извините, но для меня загадка, зачем переснимать зубы, которые меня около 8 лет никак не беспокоят. Дайте хотя бы намек. Или надо периодически контролировать все зубы с пломбированными каналами? Ссылка на комментарий
DmitrySH Опубликовано 3 марта, 2015 Поделиться Опубликовано 3 марта, 2015 Подозрения,что у депульпированых зубов слева есть хроническое воспаление. Но настолько не четко, что по данному снимку сложно говорить. 1 Ссылка на комментарий
ptichka Опубликовано 3 марта, 2015 Автор Поделиться Опубликовано 3 марта, 2015 Подозрения,что у депульпированых зубов слева есть хроническое воспаление. Но настолько не четко, что по данному снимку сложно говорить.А чем это грозит?Если вдруг подтвердится - надо будет перелечивать? Как это вообще делается? Канал можно заново "расковырять"? Каков риск потери зуба при таком условии? И, главное, после такого - уже точно под коронки? Не хотелось бы, в моем представлении, коронки = запах изо рта и воспаление десен.Если ничего не предпринимать, чем это грозит? Ссылка на комментарий
krokomot Опубликовано 3 марта, 2015 Поделиться Опубликовано 3 марта, 2015 У вас неправильное представление о качествевенной стоматологии и о том что коронки =запах+воспаление. Не надо паниковать. Снимки в студию. На все ваши вопросы пусть ответит ваш стоматолог, у которого будете лечиться Ссылка на комментарий
ptichka Опубликовано 4 марта, 2015 Автор Поделиться Опубликовано 4 марта, 2015 У вас неправильное представление о качествевенной стоматологии и о том что коронки =запах+воспаление. Не надо паниковать. Снимки в студию. На все ваши вопросы пусть ответит ваш стоматолог, у которого будете лечиться Извините, что отнимаю у Вас время, но насколько я понимаю, десна не может так же плотно прилегать к коронке, как к родному зубу. Если я не права, то почему после пломбировки кариеса под десной десны прилегают к пломбе хуже, вот например десневой сосочек между центральным и боковым резцами верхней челюсти слева после установки пломб у меня выглядит менее эстетично, чем справа (хотя пломбы хорошо и неоднократно заполированы). Я и в самой теме написала, что меня больше всего пугает ситуация возможных проблем с деснами. Просто, если Вас не затруднит, объясните мне доступным языком: зачем мне сейчас делать снимки этих зубов и (возможно) их перелечивать? Если бы не этот диалог, мне бы ещё и 10, и 20 лет не пришло бы в голову это сделать. Чем это грозит, никто не ответил. Заражение крови, внезапная смерть? Ну у меня должна же быть мотивация. Ссылка на комментарий
DmitrySH Опубликовано 4 марта, 2015 Поделиться Опубликовано 4 марта, 2015 Мотивация для снимков - исключить/ подтвердить развитие воспаления, которое в последствии может перерасти в кисту. Дальше продолжать? 1 Ссылка на комментарий
ptichka Опубликовано 4 марта, 2015 Автор Поделиться Опубликовано 4 марта, 2015 Мотивация для снимков - исключить/ подтвердить развитие воспаления, которое в последствии может перерасти в кисту. Дальше продолжать?Простите, но да. Киста ведь не может не болеть? Зачем исключать какое-то условное воспаление, если образуется киста - тогда и решать проблему. Никто ведь от кисты не умирает мгновенно. Чем плоха моя тактика ходить со своими зубами без коронок максимально долго, если что-то пойдет не так - удалять кисты, в крайнем случае зубы и ставить импланты. Ситуация такая: нервы в обоих зубах слева погибли самостоятельно из-за рецидива кариеса под пломбами из амальгаммы. Причем верхний зуб даже болел как болит пульпит (нижний зуб не болел вообще), но боль была смещена куда-то в сторону уха и наутро прошла, поэтому я не связала это с зубом и к врачу не ходила. Примерно лет через СЕМЬ после этого события при замене пломб из амальгаммы на современные и была обнаружена эта ситуация - отсутствие нервов в этих двух зубах. Причем на рентгене это было не видно, со слов врача зубы выглядели как здоровые. С момента пломбировки прошло ещё ВОСЕМЬ лет на данный момент.Как вы думаете, каковы шансы в такой ситуации на образование кист? Чего тогда эти кисты 15 лет ждали и до сих пор ждут, вместо того чтобы образоваться? Ссылка на комментарий
krokomot Опубликовано 5 марта, 2015 Поделиться Опубликовано 5 марта, 2015 Простите, но да. Киста ведь не может не болеть? Зачем исключать какое-то условное воспаление, если образуется киста - тогда и решать проблему. Никто ведь от кисты не умирает мгновенно. Чем плоха моя тактика ходить со своими зубами без коронок максимально долго, если что-то пойдет не так - удалять кисты, в крайнем случае зубы и ставить импланты. Ситуация такая: нервы в обоих зубах слева погибли самостоятельно из-за рецидива кариеса под пломбами из амальгаммы. Причем верхний зуб даже болел как болит пульпит (нижний зуб не болел вообще), но боль была смещена куда-то в сторону уха и наутро прошла, поэтому я не связала это с зубом и к врачу не ходила. Примерно лет через СЕМЬ после этого события при замене пломб из амальгаммы на современные и была обнаружена эта ситуация - отсутствие нервов в этих двух зубах. Причем на рентгене это было не видно, со слов врача зубы выглядели как здоровые. С момента пломбировки прошло ещё ВОСЕМЬ лет на данный момент.Как вы думаете, каковы шансы в такой ситуации на образование кист? Чего тогда эти кисты 15 лет ждали и до сих пор ждут, вместо того чтобы образовать Киста не болит вообче, если только не нагноится я не понимаю вы снчало спрашиваите а потом придумываете сказки чтобы ничего не делать, да не делайте снимки и ходите себе спокойно не умрете и следующие 15 лет.Тема закрыта. Ссылка на комментарий
Рекомендуемые сообщения
Для публикации сообщений создайте учётную запись или авторизуйтесь
Вы должны быть пользователем, чтобы оставить комментарий
Создать аккаунт
Зарегистрируйте новый аккаунт в нашем сообществе. Это очень просто!
Регистрация нового пользователяВойти
Уже есть аккаунт? Войти в систему.
Войти