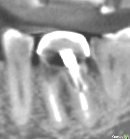
krokomot Опубликовано 26 февраля, 2015 Поделиться Опубликовано 26 февраля, 2015 Уважаемые коллеги есть сомнительный зуб который 10 лет разрушался под штампованной коронкой. Предложите варианты лечения, не учитывая эндодонтическое лечение. И стоит ли?! Всем спасибо за участие. после некрэктомии Щадящей! Ссылка на комментарий
chervoncevdaniil Опубликовано 26 февраля, 2015 Поделиться Опубликовано 26 февраля, 2015 Судя по последнему снимку-удаление,без вариантов 5 Ссылка на комментарий
sydnik Опубликовано 26 февраля, 2015 Поделиться Опубликовано 26 февраля, 2015 и в чем вы сомневаетесь? 2 Ссылка на комментарий
krokomot Опубликовано 26 февраля, 2015 Автор Поделиться Опубликовано 26 февраля, 2015 Тем неменее перфорций стенок нет, полноценная только вестибулярная стенка разделения корней нет, устойчив. не беспокоил. Удалить проблем нет, как вы думаете возможно ли восстановление, если можно обосновывайте ответ. Хотел еще фото с внутри ротовой но ассистент удалил Ссылка на комментарий
chervoncevdaniil Опубликовано 26 февраля, 2015 Поделиться Опубликовано 26 февраля, 2015 Тем неменее перфорций стенок нет, полноценная только вестибулярная стенка разделения корней нет, устойчив. не беспокоил. Удалить проблем нет, как вы думаете возможно ли восстановление, если можно обосновывайте ответ. Хотел еще фото с внутри ротовой но ассистент удалил Док,дефект ниже уровня кости,очень тонкие стенки,некачественное эндо,феррула тут и в помине нет,какие еще аргументы нужны?целесообразность сохранения такого зуба какая? 2 Ссылка на комментарий
krokomot Опубликовано 26 февраля, 2015 Автор Поделиться Опубликовано 26 февраля, 2015 (изменено) Док,дефект ниже уровня кости,очень тонкие стенки,некачественное эндо,феррула тут и в помине нет,какие еще аргументы нужны?целесообразность сохранения такого зуба какая?Спасибо за поддержку) Просто у пациента как низуб так сюрприз, везде где было эндо все оч плохо кстати в моем посте про каналонаполнители в 3-х каналах тоже его зуб. Изменено 26 февраля, 2015 пользователем krokomot 2 Ссылка на комментарий
SDC Опубликовано 26 февраля, 2015 Поделиться Опубликовано 26 февраля, 2015 кариес дистальной поверхности 5-го лечить, конечно, но без эндо. Ссылка на комментарий
krokomot Опубликовано 26 февраля, 2015 Автор Поделиться Опубликовано 26 февраля, 2015 кариес дистальной поверхности 5-го лечить, конечно, но без эндо. конечно)) 1 Ссылка на комментарий
-SAE-Dantist_32 Опубликовано 27 февраля, 2015 Поделиться Опубликовано 27 февраля, 2015 Тем неменее перфорций стенок нет, полноценная только вестибулярная стенка разделения корней нет, устойчив. не беспокоил. Удалить проблем нет, как вы думаете возможно ли восстановление, если можно обосновывайте ответ. Хотел еще фото с внутри ротовой но ассистент удалил удалил кого?фото-или зуб?))думаю можно попытаться культевую вкладку зделатъ удалить вы всегда сможете а вот попытаться сохранить не всегда Ссылка на комментарий
Ibulat_1986 Опубликовано 27 февраля, 2015 Поделиться Опубликовано 27 февраля, 2015 Удаляйте лучше. Зачем вам проблемы с этим пациентом в будущем? 2 Ссылка на комментарий
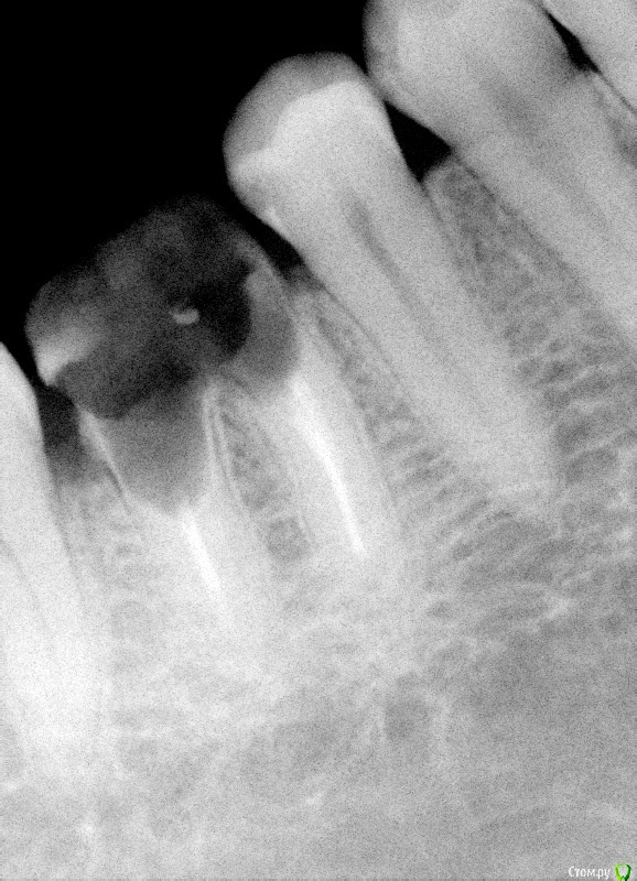
krokomot Опубликовано 27 февраля, 2015 Автор Поделиться Опубликовано 27 февраля, 2015 Удаляйте лучше. Зачем вам проблемы с этим пациентом в будущем?Обновлено. Добавляю недостающее фото удалил после повторной ревизии обнаружилась перфа на дистальной стенке, ниже уровня устья. 1 Ссылка на комментарий
chervoncevdaniil Опубликовано 28 февраля, 2015 Поделиться Опубликовано 28 февраля, 2015 Обновлено. Добавляю недостающее фото под коронкой.jpgудалил после повторной ревизии обнаружилась перфа на дистальной стенке, ниже уровня устья.Дистальный корень без проблем удалился?много пилили кости? Ссылка на комментарий
krokomot Опубликовано 28 февраля, 2015 Автор Поделиться Опубликовано 28 февраля, 2015 Дистальный корень без проблем удалился?мно,го пилили кости?Сразу распилил перегородку между корней, убрал все тонкие части, аккуратно выдавил медиальный корень, а потом елеватором дистальный через перегородку)) Повредилась незначительно только вестибулярня стенка возле медиального корня и только верхняя треть. 1 Ссылка на комментарий
Рекомендуемые сообщения
Для публикации сообщений создайте учётную запись или авторизуйтесь
Вы должны быть пользователем, чтобы оставить комментарий
Создать аккаунт
Зарегистрируйте новый аккаунт в нашем сообществе. Это очень просто!
Регистрация нового пользователяВойти
Уже есть аккаунт? Войти в систему.
Войти