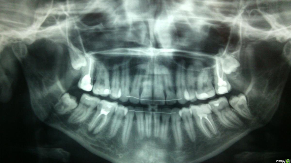
Евгения_87 Опубликовано 26 февраля, 2015 Поделиться Опубликовано 26 февраля, 2015 Добрый день!При планировании беременности решила сделать ОПТГ. На снимке обнаружилась киста 46 зуба на оба корня...Зуб абсолютно не беспокоит, не болит, на температуру не реагирует, не шатается, был депульпирован лет 10-12 назад... Только на внешний вид эмаль потемнела до серого цвета.Обзвонила все клиники города, оказалось что эндодонтистов с соответствующим оборудованием у нас нет!Сходила на консультации к нескольким врачам (от терапевта до хирурга) никто не берется лечить, советуют удалять зуб с последующей имплантацией.Я в расстройстве...неужели зуб настолько безнадежен? Хотелось бы вылечить и сохранить!Прилагаю снимок и надеюсь на помощь и совет, стоит ли бороться за зуб или удаление неизбежно? Ссылка на комментарий
Чертков Александр Опубликовано 26 февраля, 2015 Поделиться Опубликовано 26 февраля, 2015 Добрый день. Зуб подлежит лечению и сохранению. Последующее восстановление искусственной коронкой (обязательно!). Обратите внимание на зуб противоположной стороны (3.6) - схожая проблема (чуть меньших размеров). Обязательно сделать прицельный снимки 1.7, 2.7. Ну и с 8ми я бы рекомендовал расстаться. 2 Ссылка на комментарий
Korel Опубликовано 1 марта, 2015 Поделиться Опубликовано 1 марта, 2015 Сходила на консультации к нескольким врачам (от терапевта до хирурга) никто не берется лечить, Лечите у того , кто возьмётся, но учтите что стоимость качественного лечения будет не скромная. Есть вариант подкопить на имплант, только заранее уточните какие на него будут гарантии. Ссылка на комментарий
Евгения_87 Опубликовано 12 марта, 2015 Автор Поделиться Опубликовано 12 марта, 2015 Спасибо за ответы!Была в очередной раз у терапевта, заново сделали снимки и обнаружили обломок инструмента в одном из каналов! Вот откуда и очаг инфекции пошел! А сама киста пока еще в стадии гранулемы 6х8 мм...Врач сказала, что может попробовать лечить...но исход во многом будет зависеть от того сможет ли она извлечь или обойти осколок (что весьма трудно). Гарантии на успешный исход, конечно, же не дает... все на страх и риск пациента. И еще сказала, что стенки зуба очень истончены и впоследствии (при успешном результате) нужно будет коронку ставить!Спросила нужно ли мне вкладывать деньги вслепую или лучше подкопить на имплант, и отправила домой думать...Вот сижу в размышлениях.... Ссылка на комментарий
Гарриевич Опубликовано 12 марта, 2015 Поделиться Опубликовано 12 марта, 2015 На мой взгляд до импланта там еще очень далекоЛечите с солюдением условий и все будет хорошо Ссылка на комментарий
red_butler Опубликовано 12 марта, 2015 Поделиться Опубликовано 12 марта, 2015 + 1 за лечение, от имплантов Вы никуда не денетесь, но пусть это произойдет через ...цать лет Ссылка на комментарий
Евгения_87 Опубликовано 24 марта, 2015 Автор Поделиться Опубликовано 24 марта, 2015 Вчера провела 3 часа в кабинете стоматолога...Первые два часа врач всеми силами пыталась открыть заново каналы и извлечь/обойти обломок инструмента! Обойти-то обошли...но за пару миллиметров до верхушки сломался еще один инструмент((( Было так обидно!!! Ультразвук уже не помог дальше...Стоматолог предложила крайнюю меру - попробовать резекцию верхушки корня с обломками! Я согласилась.Она запломбировала все пройденные каналы, а канал с обломком запломбировала цементным материалом. Потом была операция... в вычищенную полость мне поставили лекарство с кальцием (вроде так...) Меня очень поразило, что отрезанный кончик корня был практически черным! Интересно почему??!Швы снимать ровно через неделю.Назначили:1. Полоскание Стоматофитом 3-4 р/д2. Закладывание левомеколя 3 р/д3. Таблетки цитрин 1 р/д4. Витамины Ревит5. При болях Кеторол Уважаемые стоматологи, есть ли шансы все-таки сохранить зуб после такой операции? ( я читала что на многокорневых зубах резекция нецелесообразна...)И верно ли назначены рекомендации по уходу? Ссылка на комментарий
Гарриевич Опубликовано 25 марта, 2015 Поделиться Опубликовано 25 марта, 2015 покажите снимки после лечения Ссылка на комментарий
Рекомендуемые сообщения
Для публикации сообщений создайте учётную запись или авторизуйтесь
Вы должны быть пользователем, чтобы оставить комментарий
Создать аккаунт
Зарегистрируйте новый аккаунт в нашем сообществе. Это очень просто!
Регистрация нового пользователяВойти
Уже есть аккаунт? Войти в систему.
Войти