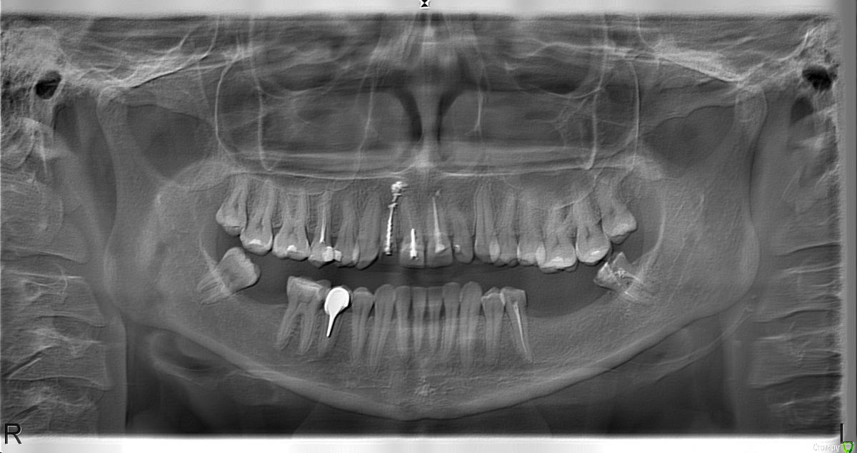
ALEXEY_325 Опубликовано 25 февраля, 2015 Поделиться Опубликовано 25 февраля, 2015 Здравствуйте! Моей жене 35 лет. требуется имплантация 36 и 37, видимо удаление 38, лечение 35. Необходима ли костная пластика?Как вы считаете, на 36 и 37 поставить два импланта или безопаснее 3? и Соответственно 2 или 3 коронки? Необходимо ли что то делать с верхними выдвинувшимися 26 и 27?Извиняюсь за повтор, очень ждем ваших мнений! https://cloud.mail.ru/public/c72abb0b47f1/2015.rar https://cloud.mail.ru/public/64a73e50d052/RX01.bmp Ссылка на комментарий
Aquarius Опубликовано 25 февраля, 2015 Поделиться Опубликовано 25 февраля, 2015 Надо посмотреть что с шириной кости в области 36-37. Выдвинутые зубы покрыть накладками/коронками.Или задвинуть обратно. 38 - удалить Ссылка на комментарий
ALEXEY_325 Опубликовано 25 февраля, 2015 Автор Поделиться Опубликовано 25 февраля, 2015 Надо посмотреть что с шириной кости в области 36-37. Выдвинутые зубы покрыть накладками/коронками.Или задвинуть обратно. 38 - удалитьПосмотреть - Вы можете? Образ диска кт по ссылке. Там только вьювер установить и все.Задвинуть-это брекетами? это реально или от чего зависит? Ссылка на комментарий
Aquarius Опубликовано 25 февраля, 2015 Поделиться Опубликовано 25 февраля, 2015 Посмотрел. Если все правильно выставил, то до н/ч канала 10,5 мм. Ширины чуть-чуть надо добавить. Вобщем пластику желательно Ссылка на комментарий
ALEXEY_325 Опубликовано 26 февраля, 2015 Автор Поделиться Опубликовано 26 февраля, 2015 Посмотрел. Если все правильно выставил, то до н/ч канала 10,5 мм. Ширины чуть-чуть надо добавить. Вобщем пластику желательноНасколько опасна костная пластика? Нам это представляется очень серьезной операцией?А имплантов достаточно два или будет опасная нагрузка на них? Ссылка на комментарий
Aquarius Опубликовано 26 февраля, 2015 Поделиться Опубликовано 26 февраля, 2015 Насколько опасна костная пластика? Нам это представляется очень серьезной операцией?А имплантов достаточно два или будет опасная нагрузка на них? Не переживайте, операция не сложная. Можно даже сказать рядовая, только надо опытного хирурга. Имплантов ставьте 2. Если ортопед сделает цельным мостом, то можно ставить два импланта по 8 мм. длины. Такой вариант тоже имеет право на жизнь. Ссылка на комментарий
ALEXEY_325 Опубликовано 26 февраля, 2015 Автор Поделиться Опубликовано 26 февраля, 2015 Не переживайте, операция не сложная. Можно даже сказать рядовая, только надо опытного хирурга. Имплантов ставьте 2. Если ортопед сделает цельным мостом, то можно ставить два импланта по 8 мм. длины. Такой вариант тоже имеет право на жизнь. Спасибо. А варинт с цельным мостом непонятен, у него какие то преимущества перед двуми коронками или что это вообще? До сих пор просто по дилетантски про мост понимал конструкцию которая опирается на соседние с пропуском зубы... Ссылка на комментарий
Рекомендуемые сообщения
Для публикации сообщений создайте учётную запись или авторизуйтесь
Вы должны быть пользователем, чтобы оставить комментарий
Создать аккаунт
Зарегистрируйте новый аккаунт в нашем сообществе. Это очень просто!
Регистрация нового пользователяВойти
Уже есть аккаунт? Войти в систему.
Войти