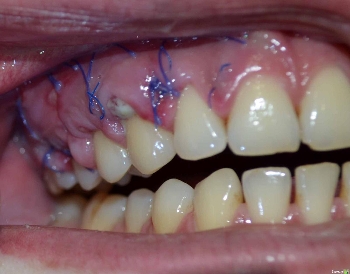
Евгения. Опубликовано 25 февраля, 2015 Поделиться Опубликовано 25 февраля, 2015 Здравствуйте! Сделала операцию по устранению рецессии 19 февраля. Трансплантат стоматолог брала с нёба. Оцените пожалуйста, результат. Очень беспокоит, что донорский участок так торчит, его видно при улыбке... Какие дальнейшие действия могут быть? Посоветуйте, что можно сделать в данной ситуации. Фото "До" и "После" Ссылка на комментарий
Alejandro Опубликовано 25 февраля, 2015 Поделиться Опубликовано 25 февраля, 2015 Рановато ещё оценивать результат. 1 Ссылка на комментарий
Aquarius Опубликовано 25 февраля, 2015 Поделиться Опубликовано 25 февраля, 2015 Нити крупноваты. Только ждать. Сейчас рано о чем-либо говорить Ссылка на комментарий
Евгения. Опубликовано 25 февраля, 2015 Автор Поделиться Опубликовано 25 февраля, 2015 То есть пока даже предположить нельзя, что будет с тем белым участком? Забыла упомянуть, метод тоннельный Ссылка на комментарий
Aquarius Опубликовано 25 февраля, 2015 Поделиться Опубликовано 25 февраля, 2015 Торчащие соединительнотканные трансплантаты ,как правило, всегда так выглядят)) Ссылка на комментарий
Евгения. Опубликовано 25 февраля, 2015 Автор Поделиться Опубликовано 25 февраля, 2015 Я вижу) торчать он в принципе не должен был, ведь так? Дальше он станет розовым, сольется с десной или так и будет? Операция задумывалась для эстетики... Получилось вот так, я конечно согласна ждать, только сколько? Ссылка на комментарий
Aquarius Опубликовано 25 февраля, 2015 Поделиться Опубликовано 25 февраля, 2015 Думаю, раньше 4-5 недель говорить о результате смысла нет. 1 Ссылка на комментарий
Евгения. Опубликовано 25 февраля, 2015 Автор Поделиться Опубликовано 25 февраля, 2015 спасибо за ответы! Ссылка на комментарий
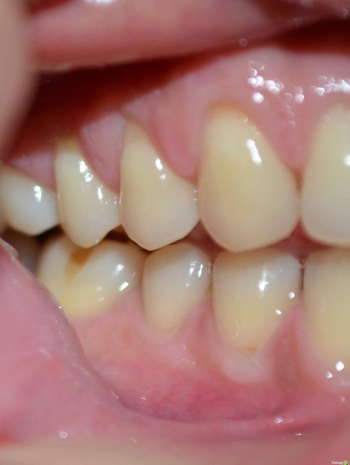
kovar Опубликовано 25 февраля, 2015 Поделиться Опубликовано 25 февраля, 2015 Выглядит неплохо! Не переживайте, на момент фото оснований для беспокойства нет. Ссылка на комментарий
Евгения. Опубликовано 25 февраля, 2015 Автор Поделиться Опубликовано 25 февраля, 2015 Спасибо! Снимок сегодня сделала, тоже забыла упомянуть) Ссылка на комментарий
Рекомендуемые сообщения
Для публикации сообщений создайте учётную запись или авторизуйтесь
Вы должны быть пользователем, чтобы оставить комментарий
Создать аккаунт
Зарегистрируйте новый аккаунт в нашем сообществе. Это очень просто!
Регистрация нового пользователяВойти
Уже есть аккаунт? Войти в систему.
Войти