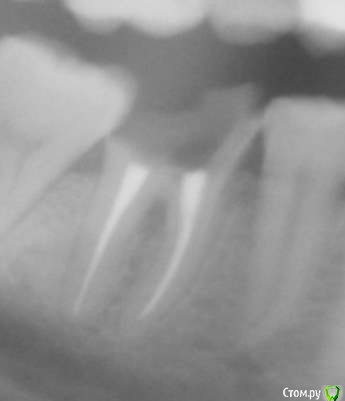
hysteresis Опубликовано 22 февраля, 2015 Поделиться Опубликовано 22 февраля, 2015 (изменено) Можно ли это восстановить, или удалять? Изменено 22 февраля, 2015 пользователем hysteresis Ссылка на комментарий
Гарриевич Опубликовано 22 февраля, 2015 Поделиться Опубликовано 22 февраля, 2015 и сколько времени зуб в таком состоянии? Ссылка на комментарий
hysteresis Опубликовано 22 февраля, 2015 Автор Поделиться Опубликовано 22 февраля, 2015 Несколько лет. Как минимум с 2012-го года. Ссылка на комментарий
Гарриевич Опубликовано 22 февраля, 2015 Поделиться Опубликовано 22 февраля, 2015 Если он около трех лет в таком состоянии, то есть без пломбы и с открытыми устьями, то вряд ли. Но чтобы окончательно убедиться нужен очный осмотр Ссылка на комментарий
-SAE-Dantist_32 Опубликовано 23 февраля, 2015 Поделиться Опубликовано 23 февраля, 2015 здравия желаю парни,если зуб не подвижен,в чем я сомневаюсь то оно конечно попытаться можно лично сохранял еще и в худшем состоянии,но вы должны понимать такой зубик долго не прослужит 3-4 года максимум, Ссылка на комментарий
Рекомендуемые сообщения
Для публикации сообщений создайте учётную запись или авторизуйтесь
Вы должны быть пользователем, чтобы оставить комментарий
Создать аккаунт
Зарегистрируйте новый аккаунт в нашем сообществе. Это очень просто!
Регистрация нового пользователяВойти
Уже есть аккаунт? Войти в систему.
Войти