Перейти к содержанию
Стоматология для всех

Прошу консультации


ALEXEY_325

Рекомендуемые сообщения

Здравствуйте!

 

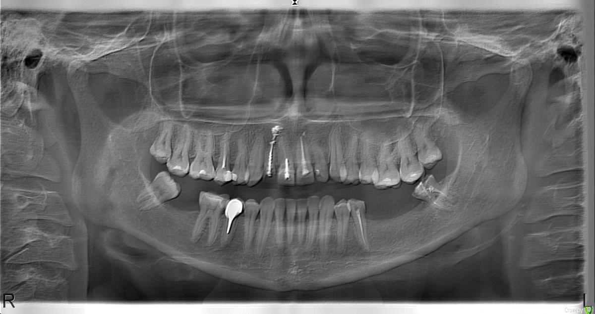
Пожалуйста проконсультируйте по нескольким вопросам, для нас ситуация очень сложная, мнения местных специалистов сильно отличаются. Образ диска кт и панорамный снимок прилагаю.

Жене требуется имплантация 36 и 37, видимо удаление 38, лечение 35.

Всвязи с этим несколько вопросов.

 

1. Ставить 2 импланта или возможно лучше 3, и 2 или 3 коронки?

2. Необходима ли костная пластика?

3. Необходимо ли что то делать с выдвинувшимися зубами на ними (26,27), и если необходимо то что именно. стачивать с удалением корней и под коронки, или возможно помочь брекетами?

 

https://cloud.mail.ru/public/c72abb0b47f1/2015.rar

https://cloud.mail.ru/public/64a73e50d052/RX01.bmp

post-42126-0-19106800-1424603780_thumb.jpg

 

 

Большое спасибо за помощь!

  • Поддерживаю 1
Ссылка на комментарий

Для публикации сообщений создайте учётную запись или авторизуйтесь

Вы должны быть пользователем, чтобы оставить комментарий

Создать аккаунт

Зарегистрируйте новый аккаунт в нашем сообществе. Это очень просто!

Регистрация нового пользователя

Войти

Уже есть аккаунт? Войти в систему.

Войти
×
×
  • Создать...
Вверх