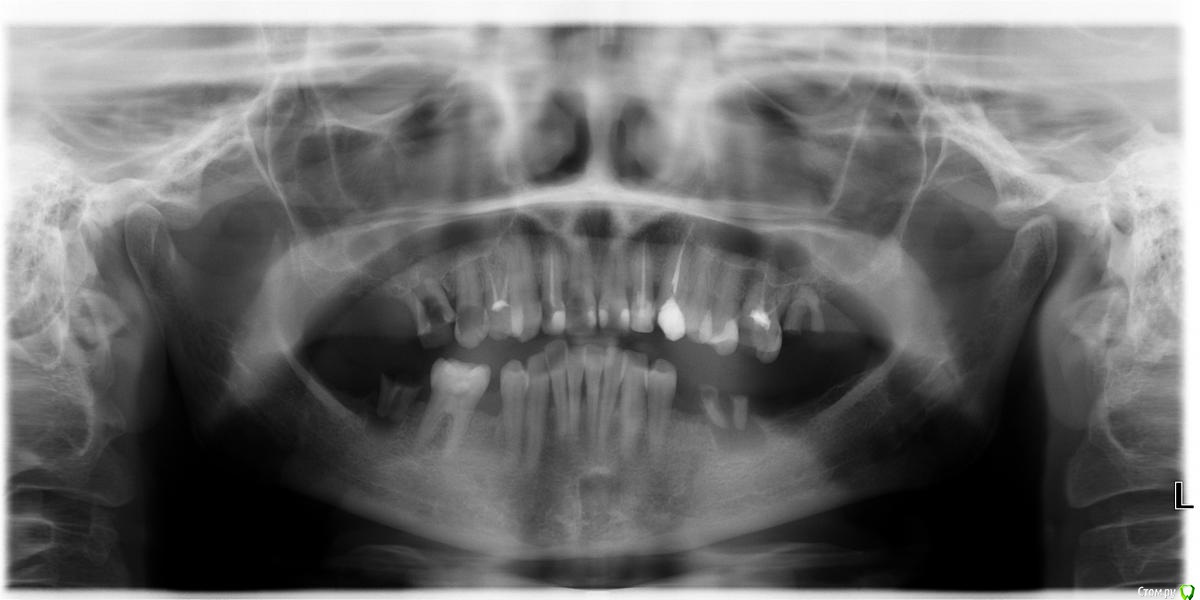
shanti.natalia Опубликовано 21 февраля, 2015 Поделиться Опубликовано 21 февраля, 2015 (изменено) Необходимо мнение экспертов по максимальному сохранению правого верхнего переднего зуба, что максимально можно и необходимо сделать ? панорамный снимок приложен. Изменено 21 февраля, 2015 пользователем shanti.natalia Ссылка на комментарий
Mane Опубликовано 21 февраля, 2015 Поделиться Опубликовано 21 февраля, 2015 Опасно! Ссылка на комментарий
shanti.natalia Опубликовано 21 февраля, 2015 Автор Поделиться Опубликовано 21 февраля, 2015 Опасно! здравствуйте в чем заключается опасность ? какие последствия ? при каких действиях ? если есть возможность, опишите подробнее , пожалуйста Ссылка на комментарий
Гарриевич Опубликовано 21 февраля, 2015 Поделиться Опубликовано 21 февраля, 2015 У Вас есть прицельный снимок? Ссылка на комментарий
Гарриевич Опубликовано 21 февраля, 2015 Поделиться Опубликовано 21 февраля, 2015 здравствуйте в чем заключается опасность ? какие последствия ? при каких действиях ? если есть возможность, опишите подробнее , пожалуйста Я думаю доктор имел в виду необходимость восстановления сначала жевательных зубов 1 Ссылка на комментарий
shanti.natalia Опубликовано 21 февраля, 2015 Автор Поделиться Опубликовано 21 февраля, 2015 У Вас есть прицельный снимок?есть КТ Ссылка на комментарий
Гарриевич Опубликовано 22 февраля, 2015 Поделиться Опубликовано 22 февраля, 2015 Нарежье несколько картинок в области этого зуба Ссылка на комментарий
Doc Опубликовано 15 марта, 2015 Поделиться Опубликовано 15 марта, 2015 Да что же такое?! Пишут, что нельзя в чужих темах сорить вопросами, ан нет, тут же еще один товарищ в чужой теме свои вопросы задает. Если еще раз кто-то задаст тут вопрос - наказывать будем. Ссылка на комментарий
Рекомендуемые сообщения
Для публикации сообщений создайте учётную запись или авторизуйтесь
Вы должны быть пользователем, чтобы оставить комментарий
Создать аккаунт
Зарегистрируйте новый аккаунт в нашем сообществе. Это очень просто!
Регистрация нового пользователяВойти
Уже есть аккаунт? Войти в систему.
Войти