LK9722 Опубликовано 20 февраля, 2015 Поделиться Опубликовано 20 февраля, 2015 Прошу совета. Незаметно на верхних правых (по рентгену) 6 и 7 появился кариес, то есть я видел только маленькую точку на боковом торце 6-ки и тщательно чистил их, и эта точка в таком состоянии много-много лет, с 2005 или даже раньше. И вдруг безо всякой нагрузки откололся кусок верхней 7-ки, откололся настолько легко что похоже было что прогнил зуб капитально.Причем на всю толщину зуба, то есть как бы 1\5 зуба но вертикально, по самый корень. При этом до самого откалывания боли не было, и кариес был нетипичным когда сначала дырка потом болит потом только начинает разрушаться, здесь этого не было. После того как откололся кусочек я сделал орто (там видно это), но особой боли при накусывании не было и только через несколько дней после снимка вдруг появились классические признаки (похоже что дело дошло до пульпы и стало больно накусывать зубом). После этого начали его лечить и почему-то один из каналов резко отличался от двух других, т.е. сразу стало понятно что он проблемный, два канала уже на второй визит были сухие и готовые к пломбированию, а этот канал парил мозг еще около 5-6 недель, продолжал кровить и вроде бы запах показывал что там не все ОК. И чувствительность показывала что в отличие от двух других, этот канал проблемный. Вопрос, видно ли по снимку что кроме отколовшегося кусочка зуба там еще и проблемный корень ? Вообще что можете сказать про эту правую 7-ку ? Откуда пошел кариес, сверху или от корня ? Прилагаю снимки с 2011 года по декабрь 2014. Еще есть такие вопросы. 1. Зуб верхняя 6-ка имеет ли рентген-признаки кариеса ? Сейчас скоро будем ставить коронку на 7-ку и важно понять, нужно ли с заднего торца 6ки пролечить темные точки если они там найдутся ? Я вижу что на переднем торце такая точка есть много лет. Хочется решить вопрос с 6-кой прежде чем новая коронка на 7 зубе закроет доступ к торцу 6-ки. 2. Зуб 8-ка (маленький и ненужный) лучше удалить нафиг ? 3. Есть ли признаки кариеса на левой верхней 6-ке ? 4. Что скажете про импланты (про все 6 штук), и что лучше ставить на нижние импланты - сваренные вместе коронки или отдельные ? 5. Верхняя правая 4-ка с пролеченными каналами, с 2011 года при постукивании и накусывании не то чтобы болит, но немного не так себя ведет чем все остальные живые или леченые зубы. Можно сказать почти не ощутимая боль есть. Доктору я говорил что после лечения каналов чуть больно было нажимать рядом с носом (где корень заканчивается верхнего этого зуба). Прилагаю отдельный снимок этого зуба (от 2011 года). Что можно сказать про него в динамике, от 2011 до 2014 года ? Можно ли его в таком состоянии накрывать вкладкой и коронкой ? Сейчас он с пломбой с тех пор, уже более 3х лет. 6. На первом снимке виден нижний мост, который прослужил с 2004 по 2009 а потом стал болтаться на 6 зубе, проходил еще до 2013 года и наконец слетел. Выяснилось что от опорной нижней 6ки ничего не осталось, его обпилили и оставили половину. Керамика на нем начала отлетать лет через 5 почему-то на мало нагруженном зубе, на нижней 4-ке (керамика Noritake).А на болтающейся 6-ке керамика была в порядке до последнего дня. Странно... Что про этот мост скажете, нормально он пожил или маловато ? Ссылка на комментарий
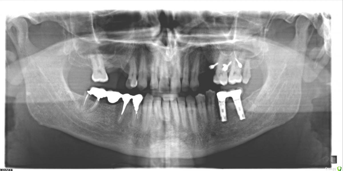
LK9722 Опубликовано 20 февраля, 2015 Автор Поделиться Опубликовано 20 февраля, 2015 второй снимок, после лечения верхней 4-ки и установки имплантов сверху. Не понимаю, как прикрепить следующие фото. У меня их 5 штук ! Ссылка на комментарий
LK9722 Опубликовано 20 февраля, 2015 Автор Поделиться Опубликовано 20 февраля, 2015 фото после лечения верхней 4-ки и имплантов сверху Ссылка на комментарий
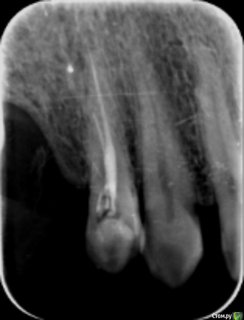
LK9722 Опубликовано 20 февраля, 2015 Автор Поделиться Опубликовано 20 февраля, 2015 (изменено) фото прицельное верхней 4-ки сразу после лечения в 2011 году. Изменено 20 февраля, 2015 пользователем LK9722 Ссылка на комментарий
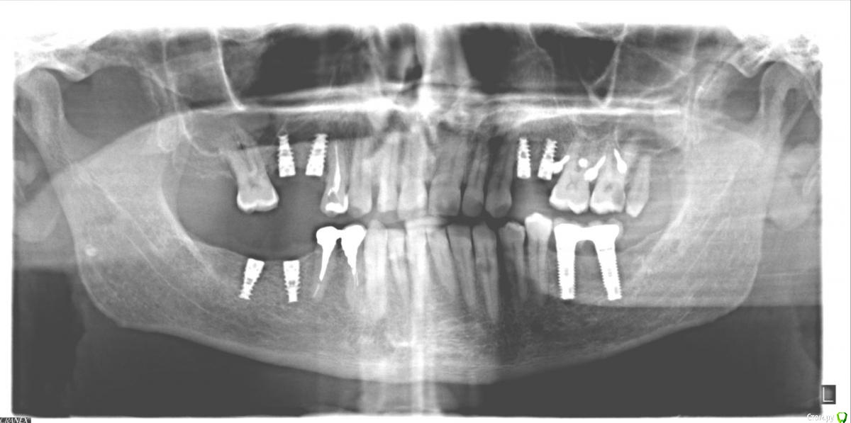
LK9722 Опубликовано 20 февраля, 2015 Автор Поделиться Опубликовано 20 февраля, 2015 самый свежий снимок, декабрь 2014 года с уже отколовшимся кусочком 7-ки и новыми только что вкрученными нижними имплантами Ссылка на комментарий
shishok Опубликовано 22 февраля, 2015 Поделиться Опубликовано 22 февраля, 2015 1)кариес на 27 зубе начался на задне-пришеечной поверхности(не сверху).Его видно на втором панорамном снимке.26 зуб рентгенологических признаков кариеса не имеет.2)восьмой удалить!3)по рг-снимку кариеса на 16 зубе нет,но нужно смотреть очно.4)по имплантам не подскажуя.т.к. я-терапевт.5)если 14 зуб беспокоит,то лучше перелечить.6)а 46 зуб нужно было удалять давним-давно(судя по первой ОПТГ).Вопрос о сроке службы моста на данный момент уже чисто риторический Ссылка на комментарий
LK9722 Опубликовано 24 февраля, 2015 Автор Поделиться Опубликовано 24 февраля, 2015 Спасибо. У меня уже в верхней 7-ке стоит вкладка и надо идти ставить коронку (ее уже примеряли и подтачивали, сейчас допиливают т.к. при подточке дошли до металла. Наверное она уже готова, должны были убрать лишний металл и наварить керамики в сточенных местах). Раздумываю что лучше, удалять восьмерку пока еще нет коронки и удобнее полезть щипцами или наоборот,зуб 7-ка на котором уже стоит коронка на вкладке более устойчив к случайным касаниям (мало ли что, весьмерку же неудобно удалять). Я пока склоняюсь к тому чтобы ставить коронку а восьмерку потом удалить, надоело без коронки ходить. И главное стоит ли трогать ту поверхность 6-ки которая будет закрыта 7 зубом после коронки, судя по рентгену там нет кариеса и я сам ее не видел, доктор смотрел и сказал что кариес есть но возможно он не понял о какой поверхности речь, я сам знаю что кариес есть на передней поверхности 26 и на жевательной, и даже на боковой со стороны языка но это все легкие полоски черные, их видно только когда фотиком со вспышкой снимаю, просто так в зеркало даже незаметно. И они есть уже очень много лет без видимых последствий. Может не трогать на 26 место прилегания к 27 зубу (коронке), если там нет явного и заметного кариеса ? А то ведь рассверлят и запломбируют а потом фиг подлезешь посмотреть на это место. Ссылка на комментарий
shishok Опубликовано 24 февраля, 2015 Поделиться Опубликовано 24 февраля, 2015 1)8 лучше удалять до установки коронки:после удаления "просядет"десна со стороны удалённого зуба и коронка будет короткой.2)состояние задней поверхности нужно смотреть очно.Я бы плотное пятно,возможно,и не трогала.Но решает Ваш доктор.Если пломбировать не будут,то регулярный очный осмотр и Рг-контроль. Ссылка на комментарий
Рекомендуемые сообщения
Для публикации сообщений создайте учётную запись или авторизуйтесь
Вы должны быть пользователем, чтобы оставить комментарий
Создать аккаунт
Зарегистрируйте новый аккаунт в нашем сообществе. Это очень просто!
Регистрация нового пользователяВойти
Уже есть аккаунт? Войти в систему.
Войти