Аслан Опубликовано 21 февраля, 2015 Поделиться Опубликовано 21 февраля, 2015 Вот-вот! Так и было сказано, дословно. Вообще я смотрю, что наши стандарты уже стали куда жестче, чем зарубежные. У нас вообще никакие отклонения от идеала не приемлемы. Выражение лица Радриго Кастило на задаваемые вопросы говорило о многом, и как минимум о том, что он совсем не ожидал, что будут доктора с высоким уровнем образованности и такими вопросами.)) 2 Ссылка на комментарий
Saymon Опубликовано 21 февраля, 2015 Поделиться Опубликовано 21 февраля, 2015 Выражение лица Радриго Кастило на задаваемые вопросы говорило о многом, и как минимум о том, что он совсем не ожидал, что будут доктора с высоким уровнем образованности и такими вопросами.))Его выражение лица у меня ассоциировалось с WTF? 3 Ссылка на комментарий
Doc Опубликовано 21 февраля, 2015 Поделиться Опубликовано 21 февраля, 2015 Ну да, ведь всем известно, что у нас кроме медведей на улице нет ничего интересного. А тут, мало того, что штампованных коронок ни у кого не оказалось, так люди еще и про имплантацию знают больше некоторых зарубежных звезд. )) Ссылка на комментарий
Doc Опубликовано 21 февраля, 2015 Поделиться Опубликовано 21 февраля, 2015 Кстати, старожили помнят мои фотографии от 2003-го года, где я делал абатменты "по системе песочных часов"? Ну или лекции мои с этими абатментами помните, наверное. Удивительным образом абатменты Curvy, презентованные в 2007-м и вышедшие на рынок в 2008-м напоминают те работы. Позавчера приходила как раз та самая пациентка, сделал фото через 11 лет, этот имплант выглядит лучше, чем все остальные свои зубы, вместе взятые. Пока не обработал, потом могу выложить, если интересно, в сравнении 2003-2015. 6 Ссылка на комментарий
Аслан Опубликовано 21 февраля, 2015 Поделиться Опубликовано 21 февраля, 2015 Кстати, старожили помнят мои фотографии от 2003-го года, где я делал абатменты "по системе песочных часов"? Ну или лекции мои с этими абатментами помните, наверное. Удивительным образом абатменты Curvy, презентованные в 2007-м и вышедшие на рынок в 2008-м напоминают те работы. Позавчера приходила как раз та самая пациентка, сделал фото через 11 лет, этот имплант выглядит лучше, чем все остальные свои зубы, вместе взятые. Пока не обработал, потом могу выложить, если интересно, в сравнении 2003-2015.Очень интересно! 2 Ссылка на комментарий
Lolopop Опубликовано 21 февраля, 2015 Поделиться Опубликовано 21 февраля, 2015 Кстати, старожили помнят мои фотографии от 2003-го года, где я делал абатменты "по системе песочных часов"? Ну или лекции мои с этими абатментами помните, наверное. Удивительным образом абатменты Curvy, презентованные в 2007-м и вышедшие на рынок в 2008-м напоминают те работы. Позавчера приходила как раз та самая пациентка, сделал фото через 11 лет, этот имплант выглядит лучше, чем все остальные свои зубы, вместе взятые. Пока не обработал, потом могу выложить, если интересно, в сравнении 2003-2015.на лекции помню это фото - хочется сравнения!))))) Ссылка на комментарий
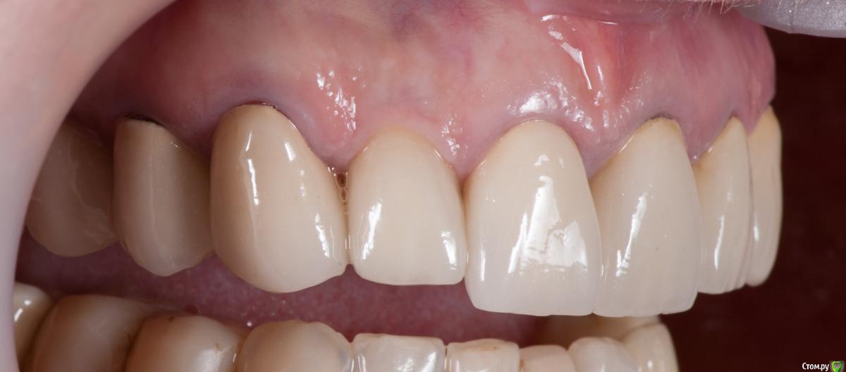
Doc Опубликовано 21 февраля, 2015 Поделиться Опубликовано 21 февраля, 2015 Ну, раз интересно, то вот. На этом компе нашел не очень хороший снимок контроля через 6 месяцев (снимал не помню чем, фото джипеговое, тогда еще не все снимал на приличную аппаратуру). Тут нет изначальной ситуации, но думаю, что 6 месяцев туда, 6 месяцев сюда сильно не повлияют на итог.Считаем это исходным снимком: Зато потом с 2007-го снимал почти каждый год и все снимки уже вполне приличного качества. Вешать каждый год лень, начну с 2011-го. Вот снимок от 21.04.2011 Вот снимок от 12.06.2012 Вот снимок от 10.03.2013 В 2014 то ли не приходила, то ли не нашел снимка. Ну и на этой неделе 16.02.2015Плюс рентген:Тут, как видно по рентгену, даже две зоны песочных часов. Одна держит кость, другая десну.Почему так жестко слежу за этим случаем (есть и еще подобные), потому что через пару лет после протезирования, где-то в 2005-м году пациентка перенесла четыре сеанса химиотерапии, резекцию груди, потом маммопластику и все такое прочее по полной программе. Два года боролась за жизнь. Сами знаете что после этого бывает с деснами и зубами. Боялся, что вообще все отвалится и поэтому с 2007-го звал на контроль почти каждый год. Потом с 2009-го мы еще кое-что у нее спасали. Видимо после резекции груди произошло смещение спинных позвонков и она раз в неделю с дикими болями скорую вызывала. Пришлось полностью протезировать нижнюю челюсть, сильно изменили высоту прикуса, жеватки сделал из диоксида и сильно опасался, что раздолбает им наш старый верх. Работали в паре с остеопатом, да она и сама лучше всякого остеопата сразу чувствовала когда пара микрон с какой-то стороны была завышена! Боли в позвоночнике полностью прошли, ну и тот факт, что не разбила верх говорит о том, что с прикусом не промахнулись - все стоит и по сей день. На всех почти зубах есть рецессия десны, а на абатменте, сделанном по принципу песочных часов, нет. С точки зрения зарубежной стоматологии видимый корень не считается большим грехом даже в день сдачи, не то что через неполные 12 лет ношения протезов и четыре сеанса химиотерапии. )) Так что случай можно считать удавшимся, даже с учетом того, что он еще далеко не до конца отслежен. Дай ей Бог здоровья, может еще лет пять протянет с этими зубами, пока на новые не накопит. 8 Ссылка на комментарий
Doc Опубликовано 21 февраля, 2015 Поделиться Опубликовано 21 февраля, 2015 Ну и в догонку второй случай. В нем нет ничего трагического или героического, потому просто в картинках. Эволюция от 2003 года до 2015-го. Шли годы, вокруг все менялось, рушилось, делалось в разное время в разных клиниках, гигиена временами была нулевая, а наша двойка абсолютно такая же, как и много-много лет назад. 10 Ссылка на комментарий
oleg07 Опубликовано 21 февраля, 2015 Поделиться Опубликовано 21 февраля, 2015 а в области 4 рецессия? Ссылка на комментарий
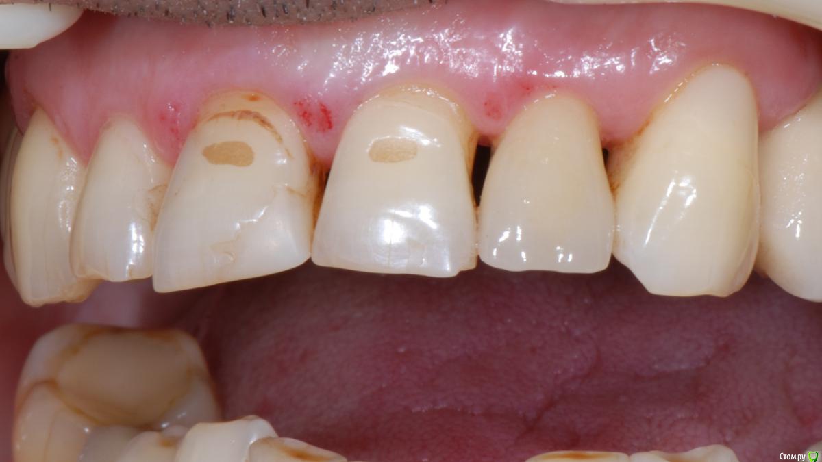
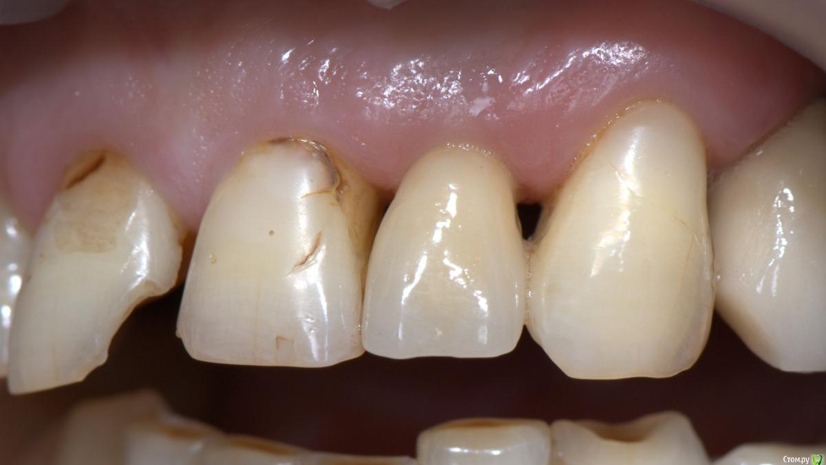
Doc Опубликовано 21 февраля, 2015 Поделиться Опубликовано 21 февраля, 2015 а в области 4 рецессия?В первом случае у 14 да, десна ушла. Там вкладка и коронка.Во втором случае в области 24 один из первых имплантатов, которые ставил еще Васильев где-то в 1999-м году, кажется, а я протезировал потом. Это было еще до этой двойки, тогда еще и клиники моей не было, а ей уже 12 лет в этом году. С тех пор уже и десна ушла и коронка скололась, но он ничего делать не хочет до тех пор, пока совсем не развалится. По передним зубам это тоже хорошо видно. Пока не развалилось он ничего не делал. Ссылка на комментарий
oleg07 Опубликовано 21 февраля, 2015 Поделиться Опубликовано 21 февраля, 2015 Ваша работа супер 1 Ссылка на комментарий
Doc Опубликовано 21 февраля, 2015 Поделиться Опубликовано 21 февраля, 2015 Ваша работа супер Ну, с точки зрения современной эстетики обе эти работы ужасны. Но с точки зрения той стоматологии, которая была в России в те времена и с точки зрения долгосрочного результата претензий нет. )) Ссылка на комментарий
oleg07 Опубликовано 21 февраля, 2015 Поделиться Опубликовано 21 февраля, 2015 Нет предела совершенству =) Ссылка на комментарий
АнтонТЛТ Опубликовано 21 февраля, 2015 Поделиться Опубликовано 21 февраля, 2015 Эволюция фотографирования 1 Ссылка на комментарий
Doc Опубликовано 21 февраля, 2015 Поделиться Опубликовано 21 февраля, 2015 Эволюция фотографирования Это просто бросается в глаза )) Ссылка на комментарий
Bobby Опубликовано 23 февраля, 2015 Поделиться Опубликовано 23 февраля, 2015 Выражение лица Радриго Кастило на задаваемые вопросы говорило о многом, и как минимум о том, что он совсем не ожидал, что будут доктора с высоким уровнем образованности и такими вопросами.)) http://i209.photobucket.com/albums/bb76/Baburov/Baburov004/20150215_EGO_0820_zps48ddf672.jpg http://i209.photobucket.com/albums/bb76/Baburov/Baburov004/20150214_EGO_0501_zps4286b9a4.jpg Его выражение лица у меня ассоциировалось с WTF? http://i209.photobucket.com/albums/bb76/Baburov/Baburov004/10980184_803294659740547_8474377264939166135_o_zps9c9ee10d.jpg ))))) 10 Ссылка на комментарий
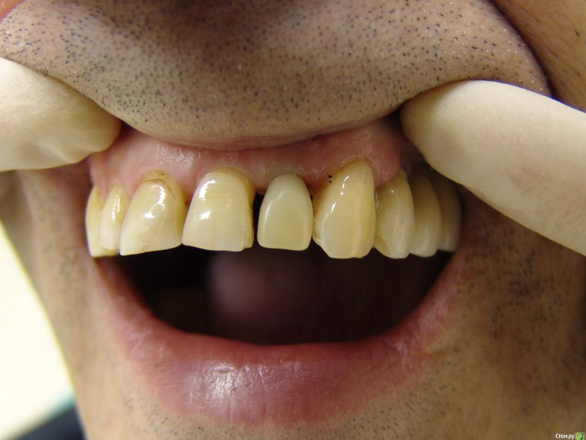
timvanaxel Опубликовано 26 февраля, 2015 Поделиться Опубликовано 26 февраля, 2015 Вопрос к Каплану1 - есть ли фото до2 - есть ли фото пост оп, но подальше, а то работа не очень красивая выходит с точки зрения эстетики, с ортопедич части вопросов нет, браво доктору.3 -пескоструили ли? А Родриго похож на человека из американских фильмов, который говорит : "Твой товар г....! Он и одного бакса не стоит, твою мать!" 1 Ссылка на комментарий
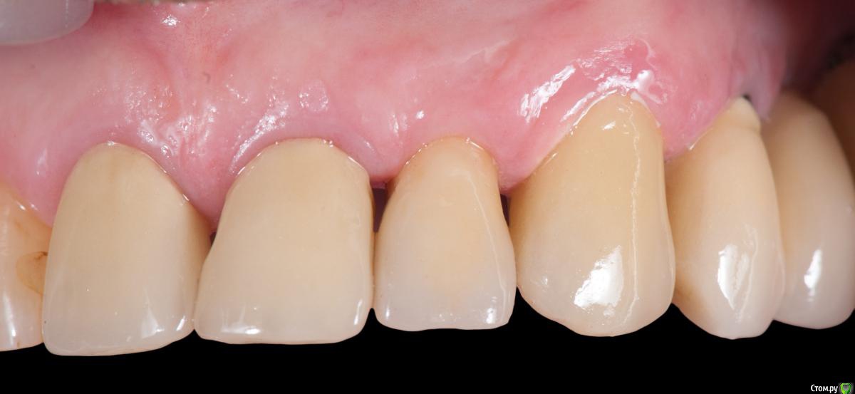
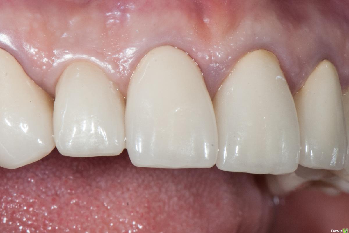
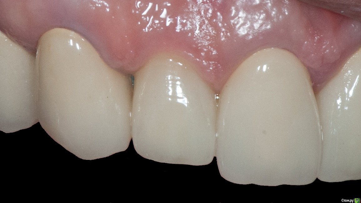
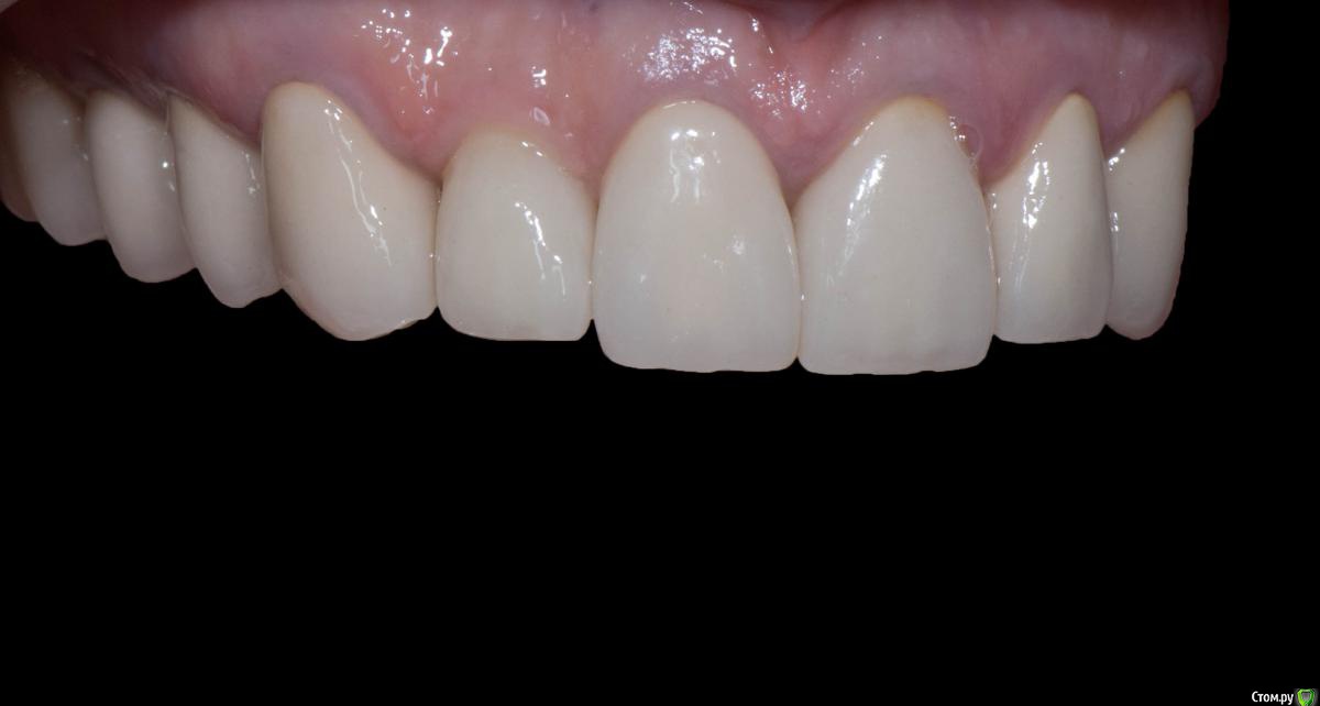
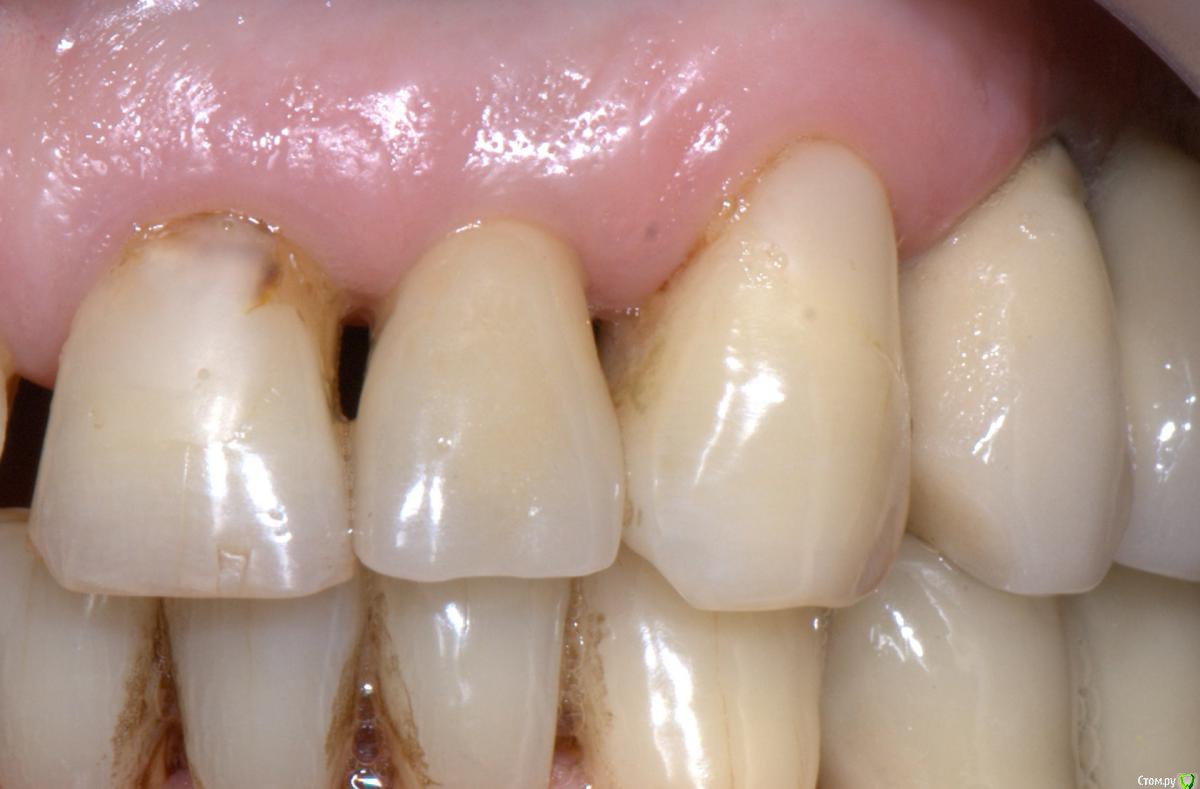
Каплан Опубликовано 28 февраля, 2015 Автор Поделиться Опубликовано 28 февраля, 2015 Вопрос к Каплану1 - есть ли фото до2 - есть ли фото пост оп, но подальше, а то работа не очень красивая выходит с точки зрения эстетики, с ортопедич части вопросов нет, браво доктору.3 -пескоструили ли? А Родриго похож на человека из американских фильмов, который говорит : "Твой товар г....! Он и одного бакса не стоит, твою мать!"Нет, фото до увы нету. Посто подальше есть, но у меня же мыльница, так что разницы особой нет. Пескоструйка чего именно? Если культи, то эйрфлоу да. чистил. и коронки после примерки перед протравкой тоже Ссылка на комментарий
timvanaxel Опубликовано 1 марта, 2015 Поделиться Опубликовано 1 марта, 2015 Нет, фото до увы нету. Посто подальше есть, но у меня же мыльница, так что разницы особой нет. Пескоструйка чего именно? Если культи, то эйрфлоу да. чистил. и коронки после примерки перед протравкой тожеСпасибо, еще повторюсь ортопедическая часть отличная 1 Ссылка на комментарий
Lolopop Опубликовано 2 марта, 2015 Поделиться Опубликовано 2 марта, 2015 Нет, фото до увы нету. Посто подальше есть, но у меня же мыльница, так что разницы особой нет. Пескоструйка чего именно? Если культи, то эйрфлоу да. чистил. и коронки после примерки перед протравкой тожеа как аэрфлоу сказыватся на адгезивности??? мне казалось аэрфлоу не рекомендуется перед протравкой использовать Ссылка на комментарий
Каплан Опубликовано 2 марта, 2015 Автор Поделиться Опубликовано 2 марта, 2015 за неимением рондофлекса пользуем соду 1 Ссылка на комментарий
timvanaxel Опубликовано 4 марта, 2015 Поделиться Опубликовано 4 марта, 2015 Возьмете на вооружение совет Туати "пескоструй в малых дозах и без воды?" Ссылка на комментарий
Рекомендуемые сообщения
Для публикации сообщений создайте учётную запись или авторизуйтесь
Вы должны быть пользователем, чтобы оставить комментарий
Создать аккаунт
Зарегистрируйте новый аккаунт в нашем сообществе. Это очень просто!
Регистрация нового пользователяВойти
Уже есть аккаунт? Войти в систему.
Войти