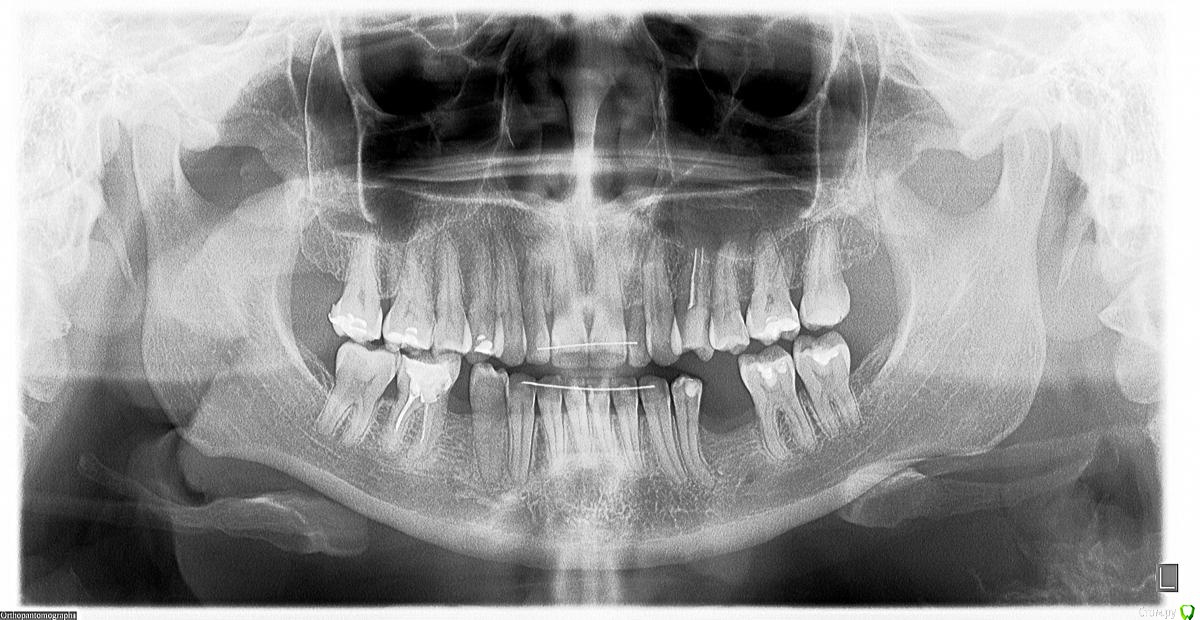
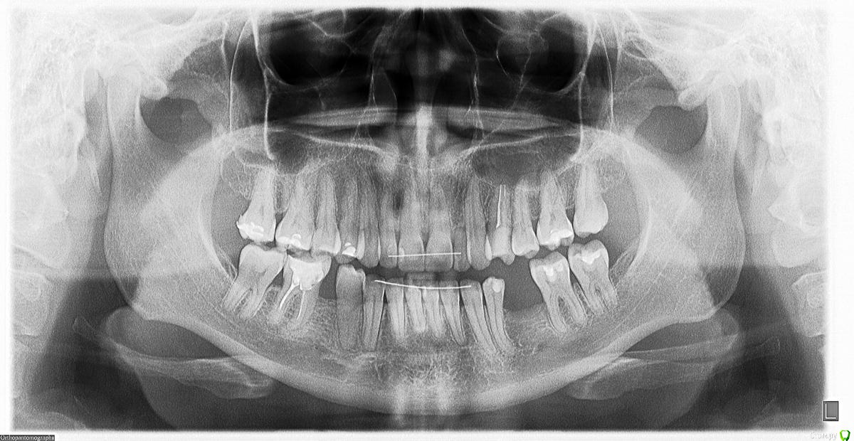
Девушка_пациентка Опубликовано 19 февраля, 2015 Поделиться Опубликовано 19 февраля, 2015 Добрый день, уважаемые профессионалы!У меня довольно сложный случай, как мне говорят. Хотелось бы услышать ваши комментарии и советы по поводу стратегии лечения/протезирования.Мне 36 лет. На нижней челюсти есть отсутствующие зубы. Дело в том, что их и не было никогда. Я не помню, чтобы мне когда-либо что-либо удаляли. Позабыть этого факта я бы не могла. Судя по смнимку стоматологи в нашем городе, у кого я была на консультации, утверждают, что состояние моей костной ткани - на 50-летний возраст. При этом у меня нет воспалительного процесса и кровоточивости десен. (Ретейнеры стоят из-за ортодонтического лечения, которое я проходила в 2010-2011 годах, исправляли клык на верхней челюсти). Тем не менее, десна у коренных зубов оседает, оголяя все больше их корни. Вопрос о мостах не стоит, т.к. опорные зубы не выдержат скорее всего такой нагрузки. Что касается имплантации, то в сентябре 2014 года мне была выполнена подсадка костной ткани внизу слева. Полгода я пила припараты кальция: Остеогеноно и Остеокомплекс. На контрольном снимке через 6 мес. (на мой дилетантский взгляд) ситуация стала выглядет еще хуже... Врач порекомендовал мне пить кальций еще как минимум год. А пока поменять пломбы в нижних зубах и один из них (с сильно оголившимся корнем) депульпировать.У меня ложилось впечатление, что он просто "умыл руки" и отправил меня по добру по здорову. Видимо, случай действительно сложный и он просто не хочет браться за него. А сказать об этом прямо почему-то не решился. Хотя, я могу ошибаться. Прошу ваших рекомендаций и прогноза.Показана ли имплантация в таких случаях, как мой? Каковы прогнозы? P.S. Диабетом, ревматизмом и пр. не страдаю. После родов в 2012 году было некоторое время нарушение кальциево-фосфорного обмена. Сейчас по анализам - норма. В анамнезе гопотериоз, но с 2008 года - стойкая ремиссия, не требующая приема препаратов. Гормоны с 2008 года контролирую каждые 3 месяца, - все в норме. В ближайшие полгода планирую вторую беременность. Хотелось бы только привести в порядок зубы перед этим. Стоит ли заниматься имплантацией сейчас или, в таком случае, целесообразнее отложить ее на более позднее время, а сейчас просто вылечить зубы (нижние коренные требуют замены пломб) и продолжать пить кальций? Прикрепляю снимки:1) Состояние на 04.09.2014 (перед подсадкой костной ткани слева с целью последующей имплантации)2) Состояние на февраль 2015 года (спустя 6 мес. после подсадки). Ссылка на комментарий
diesel87 Опубликовано 19 февраля, 2015 Поделиться Опубликовано 19 февраля, 2015 Здравствуйте, не ждите от препаратов кальция чуда или улучшения состояния кости, состояние через пол года возможно по высоте кости стало чуть хуже, но не критично. Грамотный специалист уже бы давно вам провел операцию имплантации в область нижнего левого отсутствующего зуба, совместно/без наращивании кости. Ссылка на комментарий
Девушка_пациентка Опубликовано 20 февраля, 2015 Автор Поделиться Опубликовано 20 февраля, 2015 (изменено) Добрый день!Спасибо за ответ. Подскажите, пожалуйста, в моем случае Вы подразумевали базальную или стандартную имплантацию? Вы считаете, что в моем случае нет ничего из ряда вон выходящего и он вполне подходит для проведения имплантации? Порекомендуйте пожалуйста, какие импланты более показаны в моем конкретном случае? Нужна ли дополнительная подсадка кости? Как вообще должна выглядеть стратегия лечени?В Томске все специалисты пока разводят руками... Изменено 20 февраля, 2015 пользователем Девушка_пациентка Ссылка на комментарий
diesel87 Опубликовано 20 февраля, 2015 Поделиться Опубликовано 20 февраля, 2015 Стандартная имплантация, найдите специалиста, а не выбирайте систему, если с шириной кости нет проблемы, то это обычный случай, не надо на нем так зацикливаться. Ссылка на комментарий
Bier Опубликовано 20 февраля, 2015 Поделиться Опубликовано 20 февраля, 2015 Только не базальная имплантация!!! 3 Ссылка на комментарий
Девушка_пациентка Опубликовано 22 февраля, 2015 Автор Поделиться Опубликовано 22 февраля, 2015 Добрый день!Спасибо за ответ. Подскажите, пожалуйста, в моем случае Вы подразумевали базальную или стандартную имплантацию? Вы считаете, что в моем случае нет ничего из ряда вон выходящего и он вполне подходит для проведения имплантации? Порекомендуйте пожалуйста, какие импланты более показаны в моем конкретном случае? Нужна ли дополнительная подсадка кости? Как вообще должна выглядеть стратегия лечени?В Томске все специалисты пока разводят руками...Гребень очень узкий, поскольку зуба там никогда и не было... Ссылка на комментарий
Девушка_пациентка Опубликовано 22 февраля, 2015 Автор Поделиться Опубликовано 22 февраля, 2015 Только не базальная имплантация!!!Пожалуйста, поясните, почему? Ссылка на комментарий
Гарриевич Опубликовано 22 февраля, 2015 Поделиться Опубликовано 22 февраля, 2015 Пожалуйста, поясните, почему?Если лаконично, то "это жесть!"Единичные случаи положительных исходов это исключения, очень и очень редкое Ссылка на комментарий
diesel87 Опубликовано 22 февраля, 2015 Поделиться Опубликовано 22 февраля, 2015 Гребень очень узкий, поскольку зуба там никогда и не было...Кт у вас нет случайно? Ссылка на комментарий
Bier Опубликовано 23 февраля, 2015 Поделиться Опубликовано 23 февраля, 2015 Пожалуйста, поясните, почему?Специально для пациентов в этом разделе есть тема про базальные имплантаты, не поленитесь, почитайтеА нарастить кость - не проблема. Ссылка на комментарий
Девушка_пациентка Опубликовано 23 февраля, 2015 Автор Поделиться Опубликовано 23 февраля, 2015 Кт у вас нет случайно?Кт есть, но пока не на руках. Заберу в клинике и обязательно выложу здесь. Очень нужна грамотная помощь профессионалов. В своем городе не знаю, кому довериться...:-(( Ссылка на комментарий
red_butler Опубликовано 24 февраля, 2015 Поделиться Опубликовано 24 февраля, 2015 Пожалуйста, поясните, почему?http://forum.stom.ru/topic/8794-boi-implantatciia-bazalnaia-implantatciia-toi-roott/ Ссылка на комментарий
Рекомендуемые сообщения
Для публикации сообщений создайте учётную запись или авторизуйтесь
Вы должны быть пользователем, чтобы оставить комментарий
Создать аккаунт
Зарегистрируйте новый аккаунт в нашем сообществе. Это очень просто!
Регистрация нового пользователяВойти
Уже есть аккаунт? Войти в систему.
Войти