Перейти к содержанию
Стоматология для всех

Ноет повторно запломбированный зуб


Andrew92

Рекомендуемые сообщения

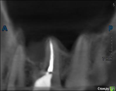
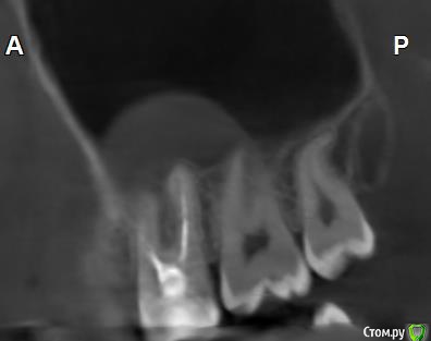
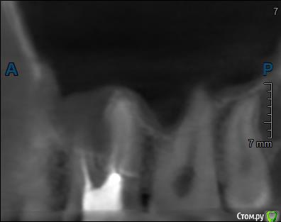
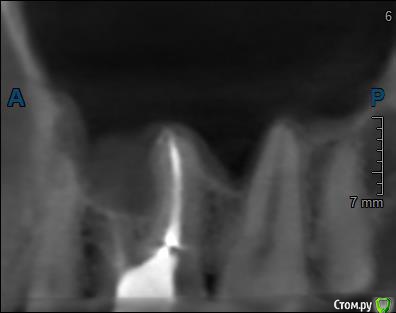
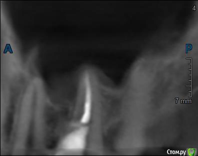
Здравствуйте! Верхний правый шестой зуб пломбировали 3 месяца назад. Примерно месяц назад он начал ныть, после насморка, сначала периодами, а теперь почти постоянно. При постукивание (ощущается не совсем так, как другие зубы) и пальпации десны он не болит. 2,5 месяца назад удаляли кисту из гайморовой пазухи. Может ли быть это какое-то воспаление и есть ли вероятность устранить его какими-нибудь антибиотиками, если да, то как, или может удалить зуб? Если есть воспаление, то какие могут быть последствия если не удалить зуб?  


(Снимки с КТ, первые 8(Image) - сделаны сейчас,по 4 в разных проекциях, вторые 8(Before) - сделаны 5 месяцев назад до удаление кисты и повторного пломбирование зуба( до повторного пломбирование он реагировал на горячее, был запломбирован 3 года))

post-42070-0-76274300-1424300064_thumb.jpg

post-42070-0-51194400-1424300065_thumb.jpg

post-42070-0-34134200-1424300066_thumb.jpg

post-42070-0-61776000-1424300066_thumb.jpg

post-42070-0-00204600-1424300067_thumb.jpg

post-42070-0-29835900-1424300067_thumb.jpg

post-42070-0-63766700-1424300067_thumb.jpg

post-42070-0-95194700-1424300067_thumb.jpg

post-42070-0-52362600-1424300943_thumb.jpg

post-42070-0-34227800-1424300944_thumb.jpg

post-42070-0-71009000-1424300944_thumb.jpg

post-42070-0-01306000-1424300945_thumb.jpg

post-42070-0-34372500-1424300945_thumb.jpg

post-42070-0-64431700-1424300945_thumb.jpg

post-42070-0-92316100-1424300945_thumb.jpg

post-42070-0-57689200-1424300946_thumb.jpg

Ссылка на комментарий

переличили зуб адекватно, во всяком случае по снимкам

антибиотики воспаление не уберут, а приглушат на какое то время

обратитесь к вашему лечащему врачу

Ссылка на комментарий

Для публикации сообщений создайте учётную запись или авторизуйтесь

Вы должны быть пользователем, чтобы оставить комментарий

Создать аккаунт

Зарегистрируйте новый аккаунт в нашем сообществе. Это очень просто!

Регистрация нового пользователя

Войти

Уже есть аккаунт? Войти в систему.

Войти
×
×
  • Создать...
Вверх